【腹盆】特别精彩病例|体检发现胰腺占位1周
李梦杰huxi 等 3 位达人已点赞病例信息
患者性别:女
患者年龄:47岁
主诉:体检发现胰腺占位1周
现病史:患者诉有子宫肌瘤病史,一周前于当地医院拟行子宫肌瘤手术,术前评估检查肝胆胰脾B超发现胰腺占位。患者子宫肌瘤近一年有增大,有尿频尿急等症状,无腹痛腹泻等。
既往史:既往体健。
实验室检查:
肿瘤标志物6项:神经元特异性烯醇化酶 17.99ng/ml(正常:<16.3ng/ml),余-
血常规、C-反应蛋白、心肌标志物测定组合、输血前八项无异常
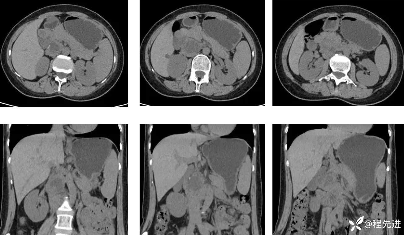
CT平扫:

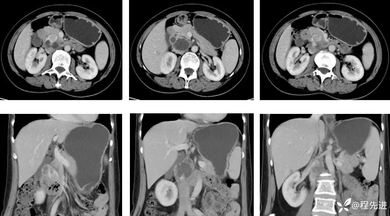
CT动脉期:

CT静脉期:

期待您的点赞支持!
期待您的精彩解读!















































