dxy logo
首页丁香园病例库全部版块
搜索
登录

病例【腹盆】特别精彩病例|体检发现胰腺占位

影像核医学版版主 · 发布于 2024-07-14 · 来自 iOS · IP 江西江西
2955 浏览
icon呱呱叫了 等 2 位达人已点赞
这个帖子发布于 1 年零 133 天前,其中的信息可能已发生改变或有所发展。

病例信息

患者性别:男

患者年龄:61岁

简要病史:体检发现胰腺占位

实验室检查:(-)

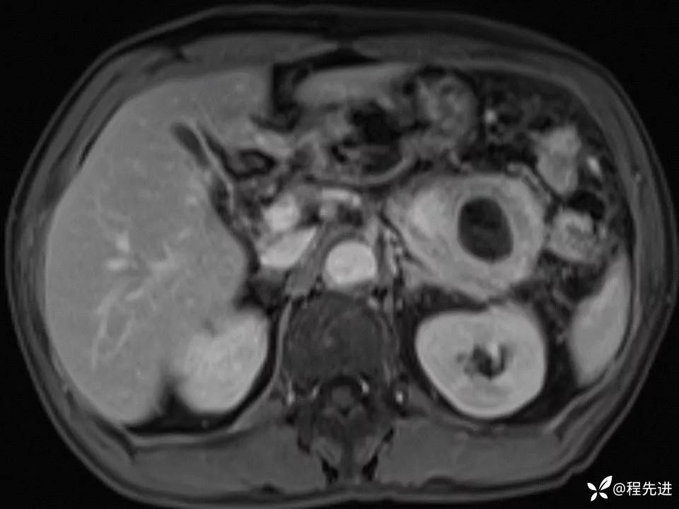
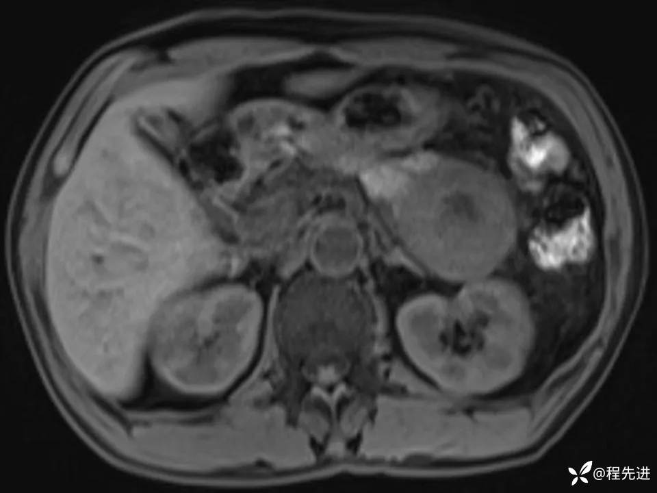
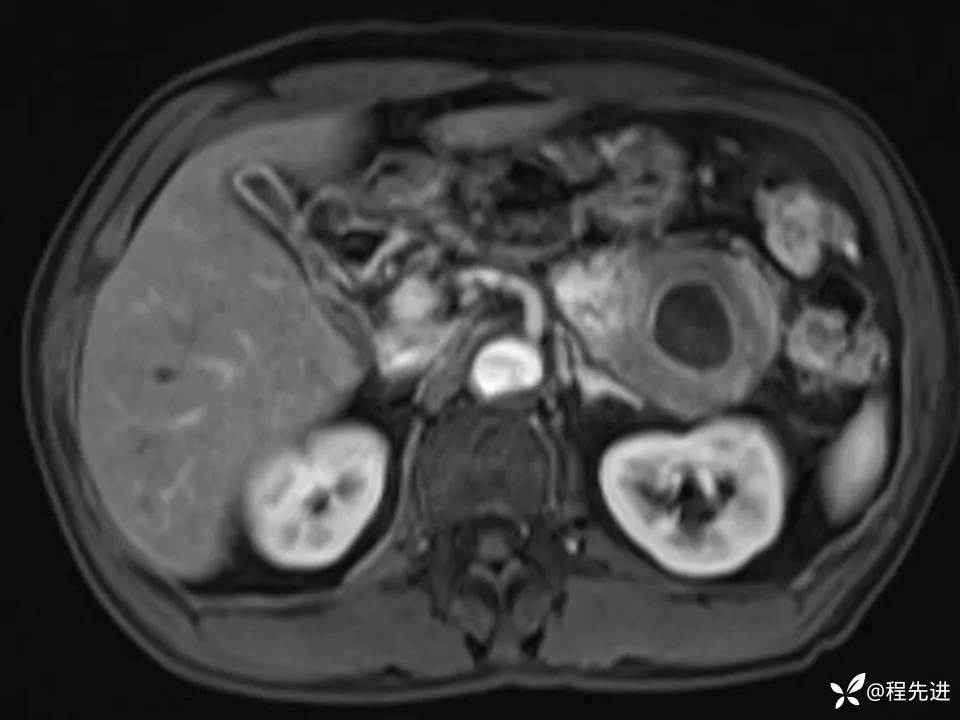
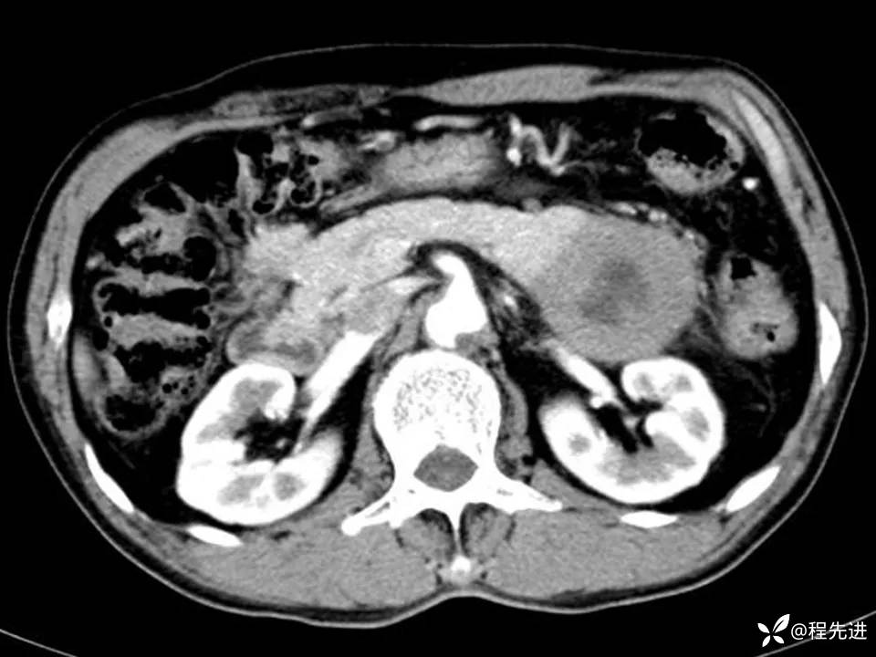
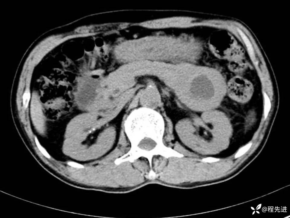
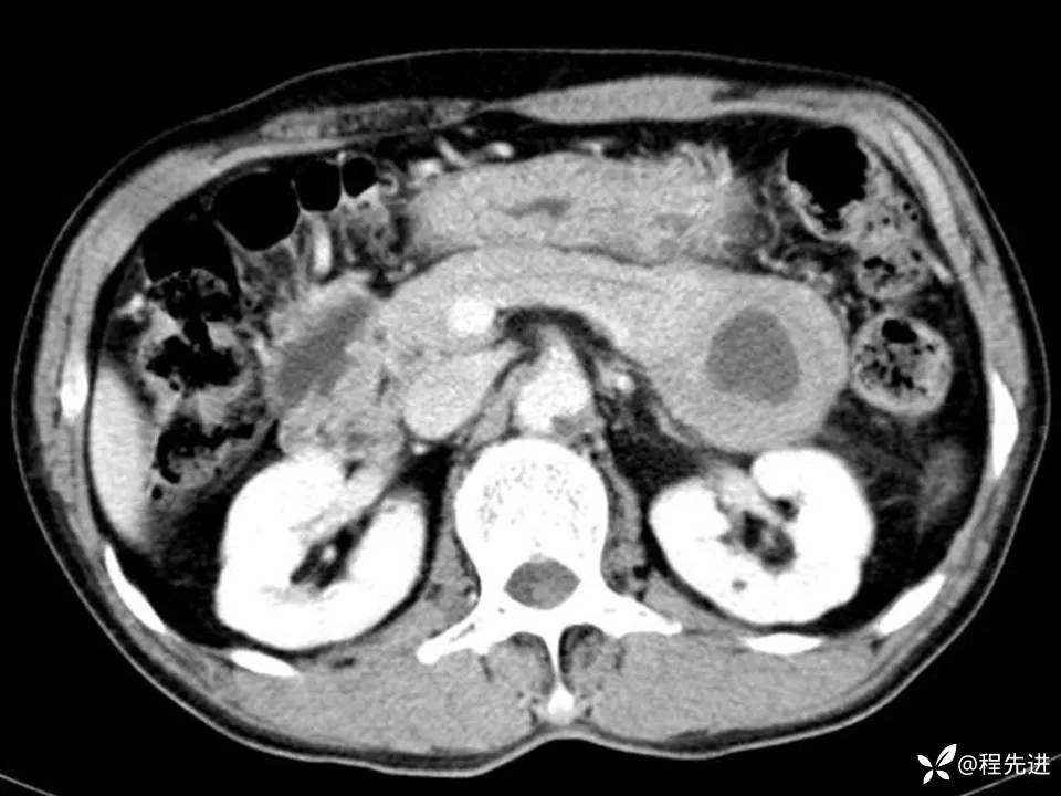
CT平扫+增强:

img


img


img


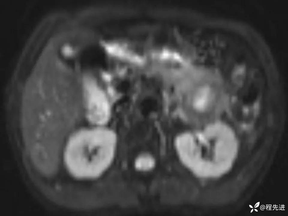
MRI平扫+增强:

img


img


img


img


img


img


img


期待您的点赞支持!

期待您的精彩解读!

胰腺癌 (88)
纠错
23 2 19
同行评议(0)
已评议
不开通精选
开通精选
精选已授权,待上线
评议结果暂未公布
参与评议
去邀请
NaN
病例完整NaN
临床实用NaN
诊疗科学NaN
学术价值NaN

全部讨论(0)

默认最新
avatar
23
分享帖子
share-weibo分享到微博
share-weibo分享到微信
认证
返回顶部