年轻女孩,间断头昏7月,乏力、嗜睡1周。难得的好病例,如何分析---(有结果)
病例信息
性别:女
年龄:24岁
主诉:间断头昏7月,乏力、嗜睡1周
现病史:患者5年前无明显诱因出现间断头昏,无恶心呕吐,头晕、头痛、黑矇,无抽搐、意识障碍、大小便失禁、吞咽障碍及发热等伴随症状,于当地市第一人民医院就诊,具体诊疗经过及治疗不详,1周前患者开始出现头昏,无视物旋转,伴乏力、嗜睡,现为求进一步诊治而来我院,门诊以“反复头昏待查?”收入院。 起病以来,患者精神、饮食、睡眠欠佳,体力体重较前无明显变化。
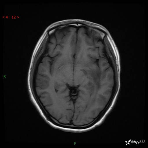
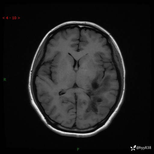
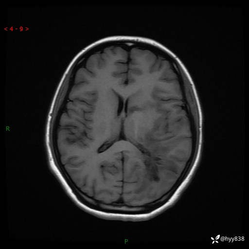
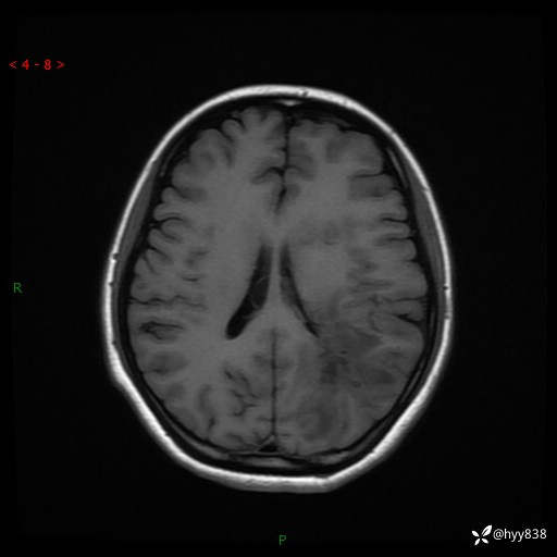
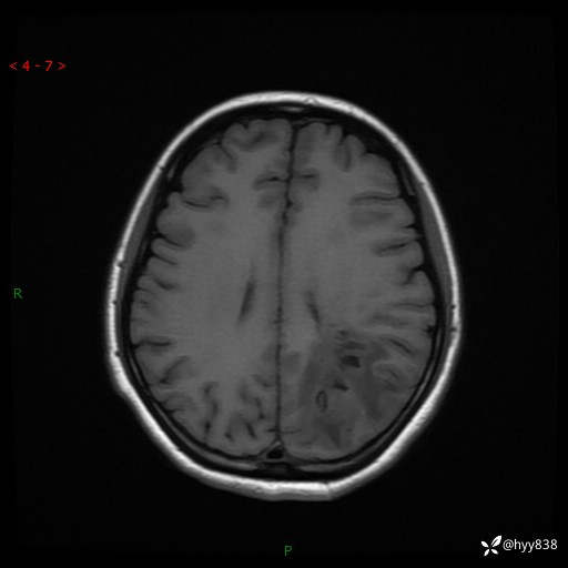
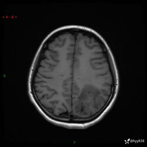
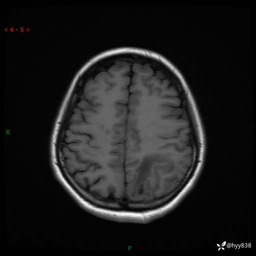
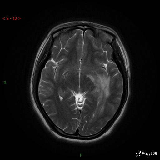
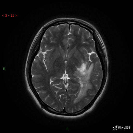
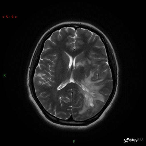
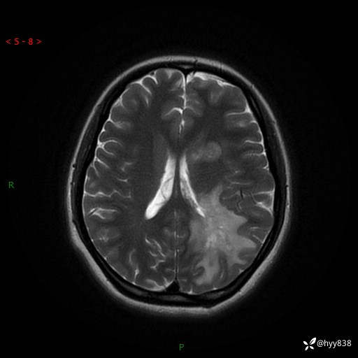
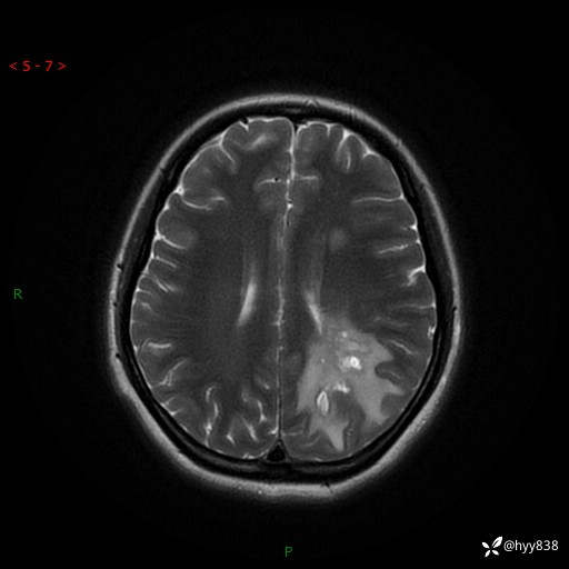
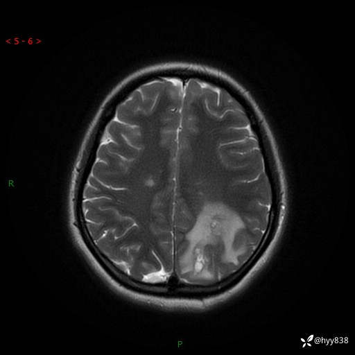
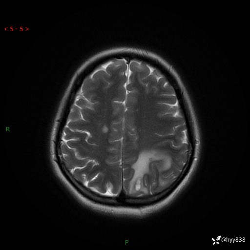
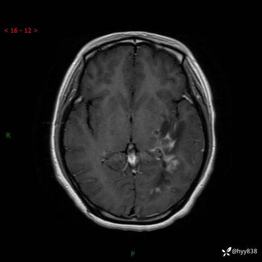
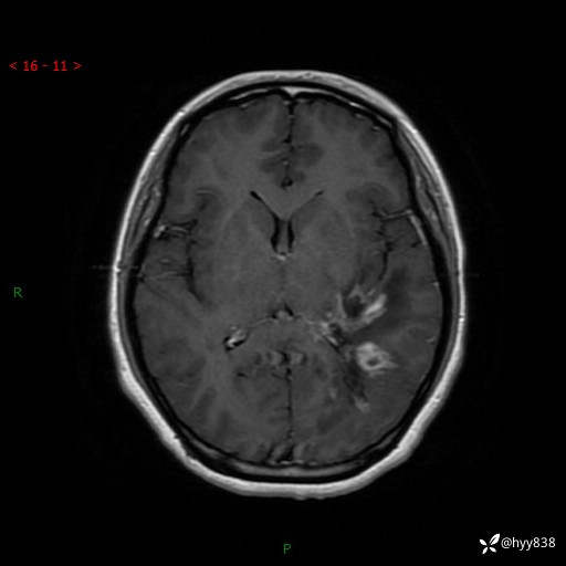
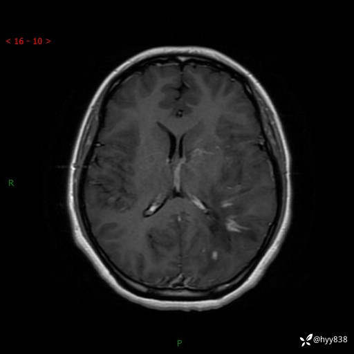
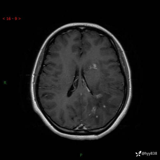
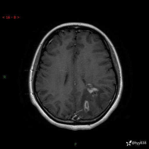
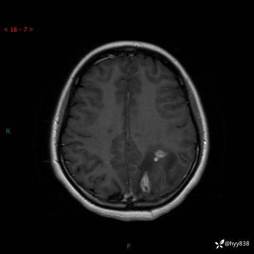
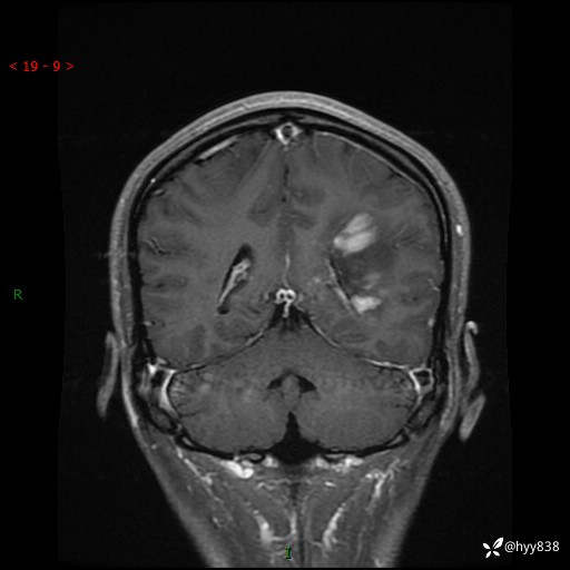
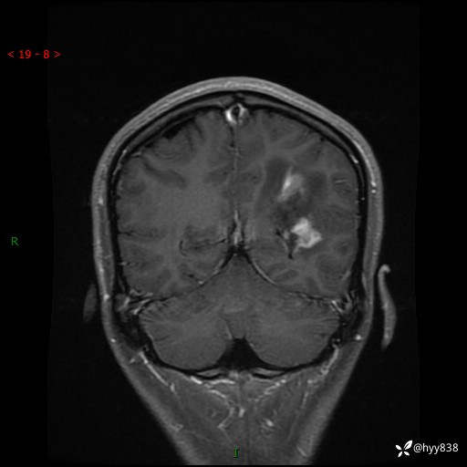
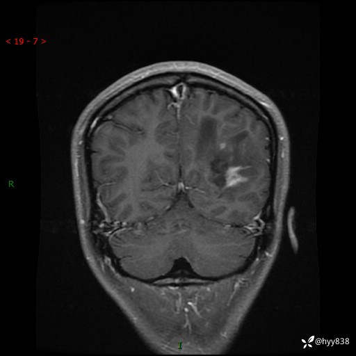
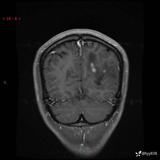
颅脑MRI平扫+增强












































































