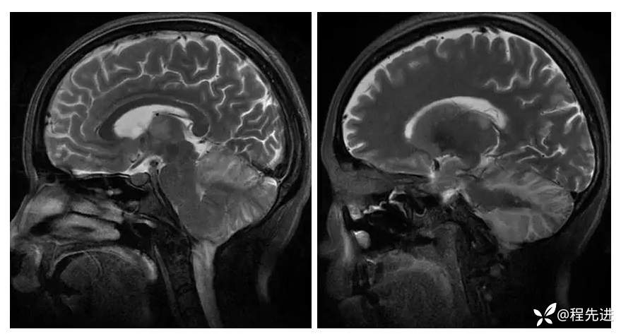
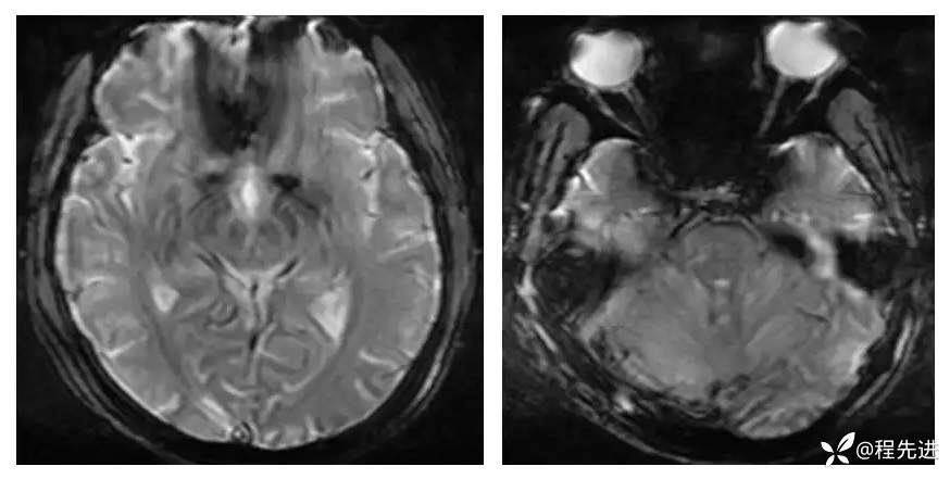
女,35岁,孕期38周,蛋白尿10天,血压升高6天,剖腹产后一天出现头晕,头痛,嗜睡
李梦杰huxi 等 3 位达人已点赞病例信息
【患者信息】:女,35岁
【现病史及既往史】:孕期38周,蛋白尿10天,血压升高6天,剖腹产后一天出现头晕,头痛,嗜睡。既往糖尿病史
【检查】:
查体:不配合,血压波动,130-157/85-109mmHg
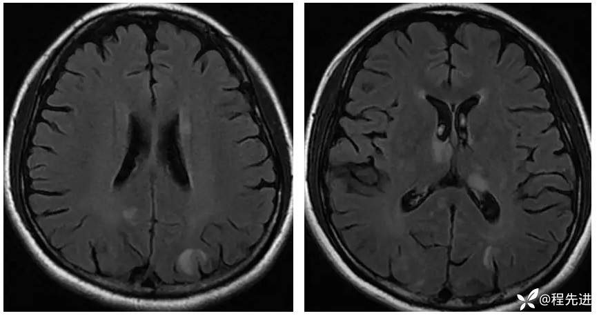
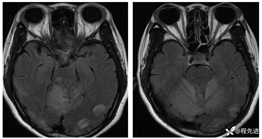
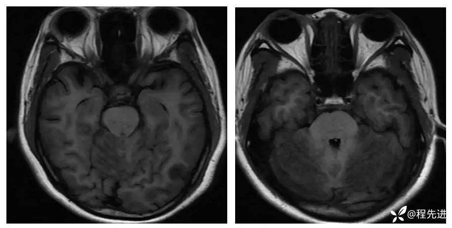
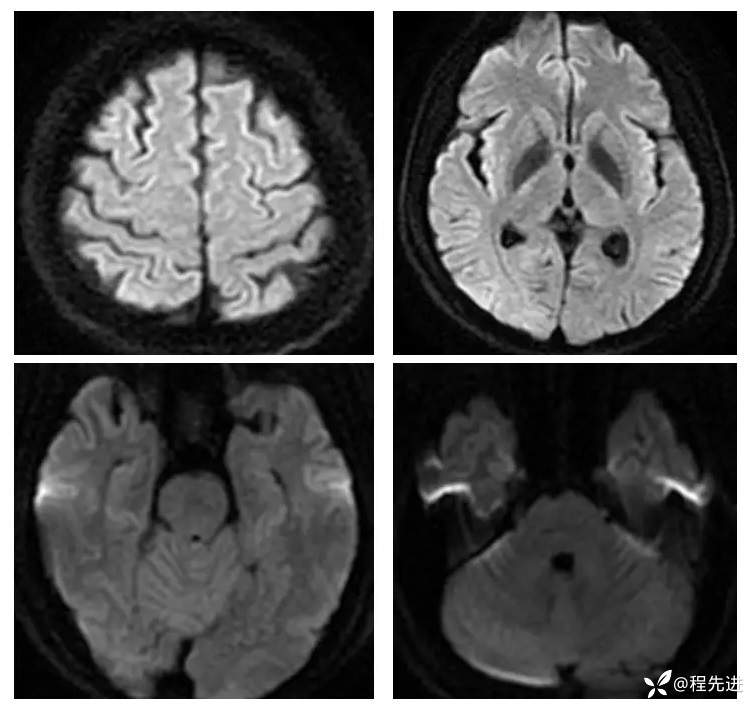
影像检查:







李梦杰huxi 等 3 位达人已点赞病例信息
【患者信息】:女,35岁
【现病史及既往史】:孕期38周,蛋白尿10天,血压升高6天,剖腹产后一天出现头晕,头痛,嗜睡。既往糖尿病史
【检查】:
查体:不配合,血压波动,130-157/85-109mmHg
影像检查:







