10月特别精彩病例|乏力、纳差2月余,症状持续性,休息后缓解,体重下降8公斤
呱呱叫了 等 4 位达人已点赞患者性别:男
患者年龄:53岁
简要病史:2月前无明显诱因出现乏力、纳差,症状持续性,休息后缓解,无腰腹部疼痛,无尿急、尿痛,无肉眼血尿及排尿困难;体重近2个月来下降8公斤
辅助检查:
血常规:红细胞3.3*1012/L;血红蛋白70g/L;血小板732*109/L;白蛋白26g/L
尿常规:尿潜血 3+
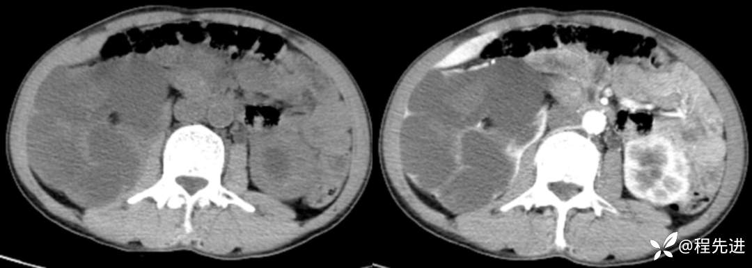
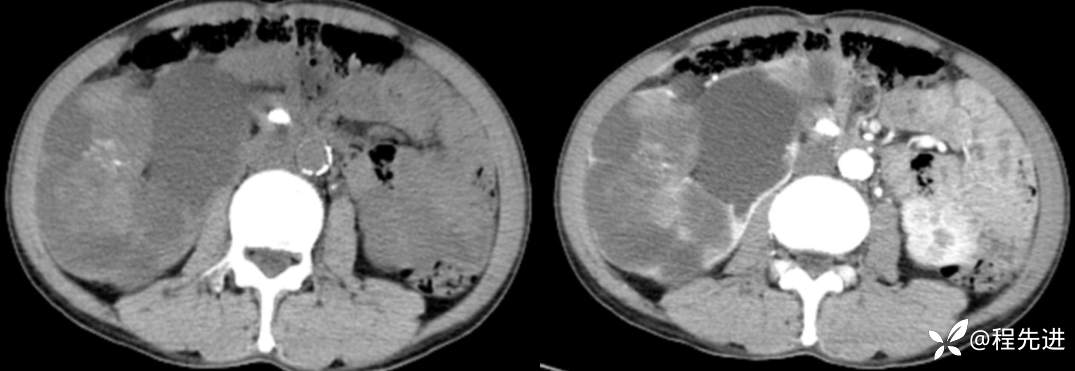
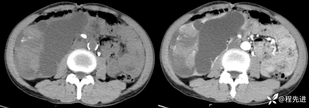
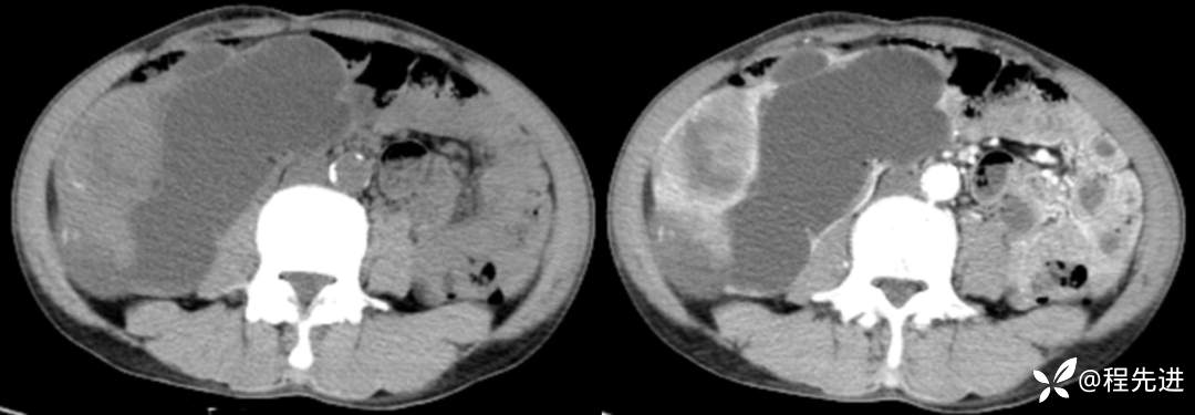
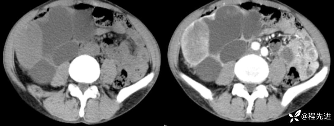
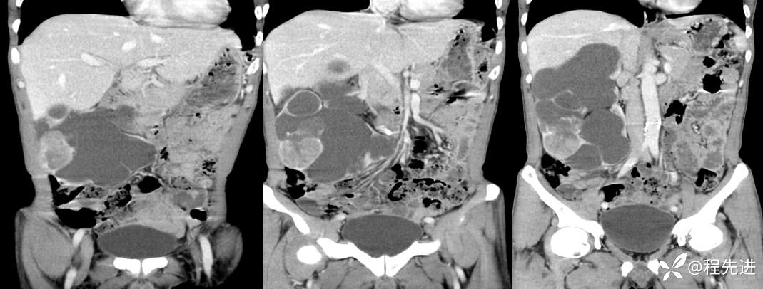
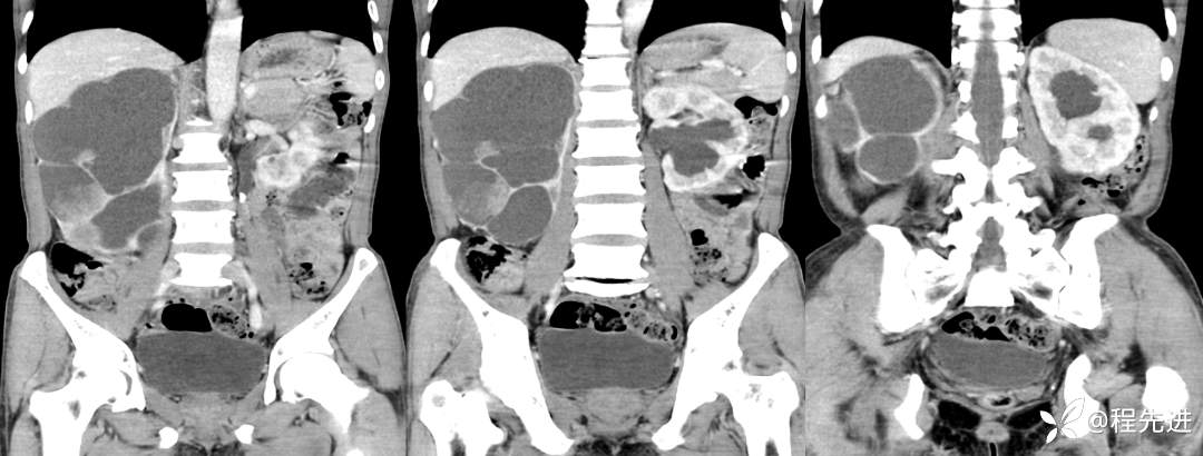
外院CT示:右肾多发低密度灶,考虑多囊性?右肾团块影,考虑占位性病变?,右侧输尿管上段近肾门处结石并扩张、右肾积水;左侧输尿管上段结石并扩张,左肾积水
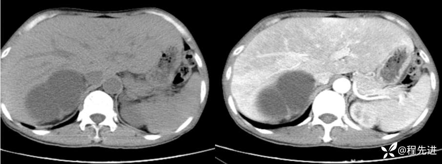
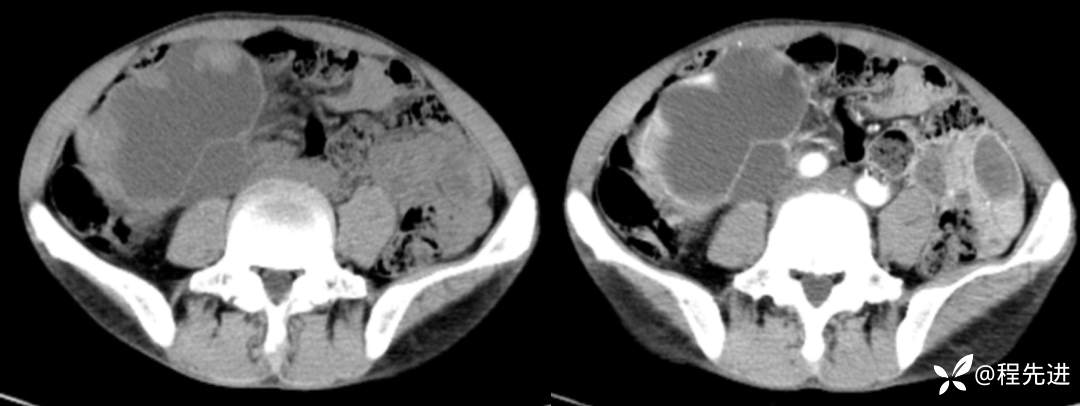
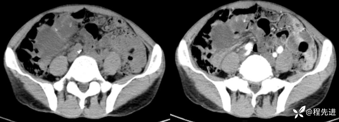
CT平扫+增强
左平扫,右增强












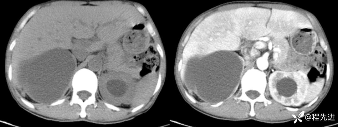
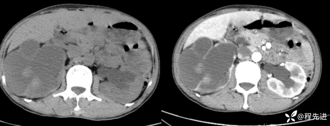
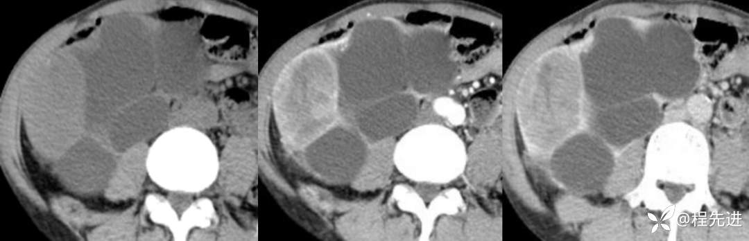
来张特定(左平扫,中动脉期,右静脉期)

冠状位重建


您的诊断是?期待你的挑战















































