老年男性,肺团片状占位+体重下降,肿瘤 VS 真菌 VS 细菌,看看你的意见--结果公布~
患者性别:男
患者年龄:66岁
主诉:咳嗽咳痰7天
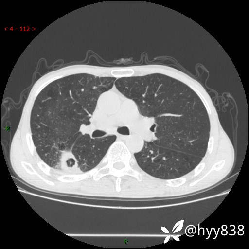
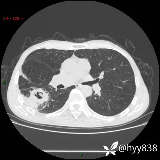
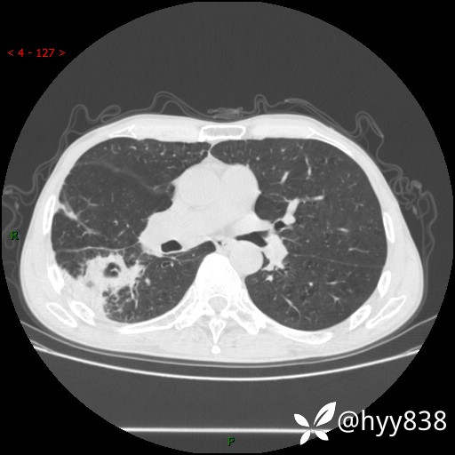
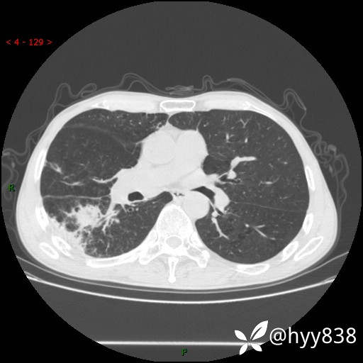
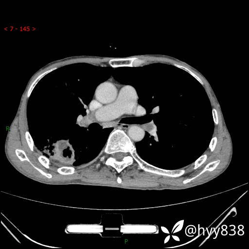
简要病史:患者7天前无明显诱因出现咳嗽咳痰,咳绿色、褐色痰,吸烟后加重,伴心慌、胸闷,无畏寒发热,无头晕头痛,无鼻塞流涕,无痰中带血及咯血,无胸痛、呼吸困难,无全身酸痛,为求进一步诊治于我院就诊,门诊完善胸部CT提示“右下肺团片状影,考虑肿瘤?感染?”,门诊以“咳嗽待查”收住入院。 起病以来,患者精神、饮食、睡眠尚可,大、小便正常,体力下降,体重下降8斤。空腹血糖:6.42mmol/L。
实验室检查:

体格检查:(-)
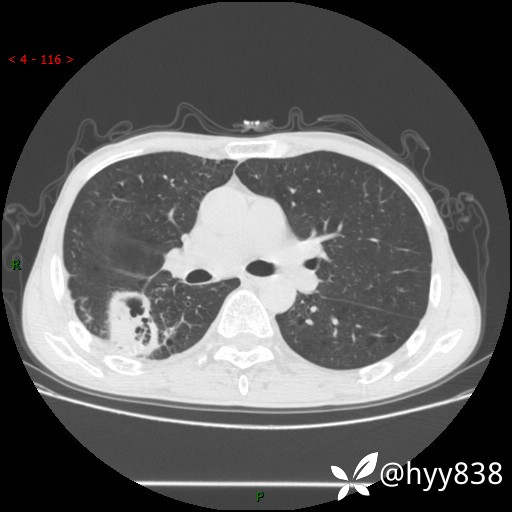
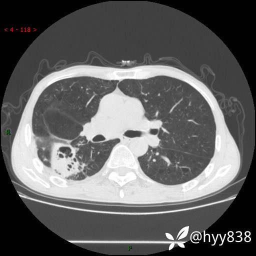
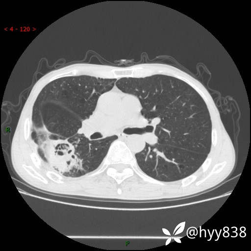
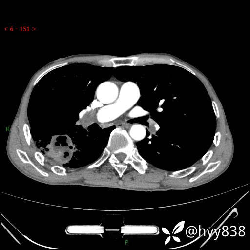
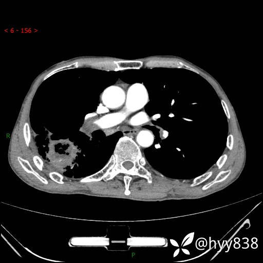
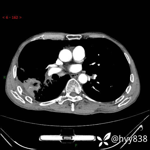
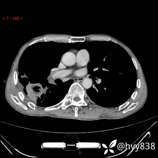
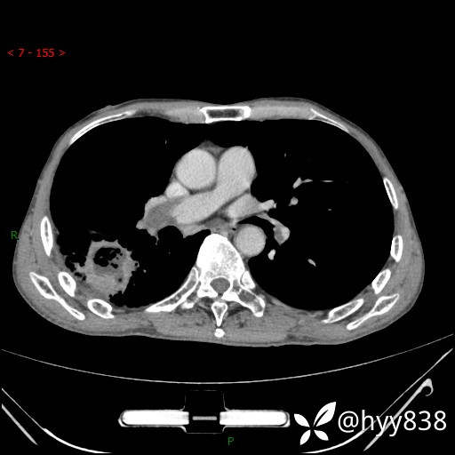
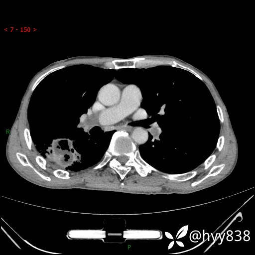
辅助检查:CT
临床诊断:肿瘤?感染?
治疗经过:---
讨论:病变性质?
胸部CT平扫












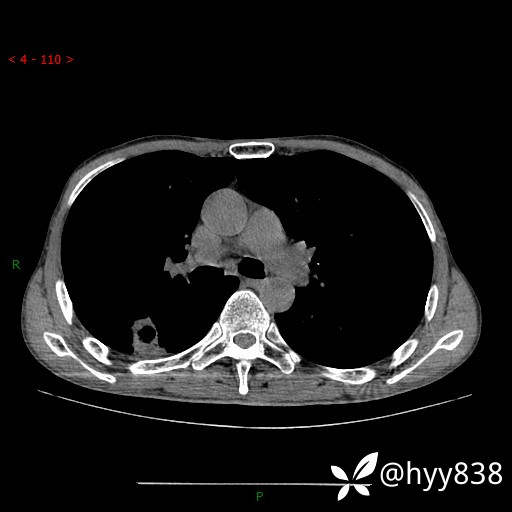
增强动脉期





静脉期



















































