【腹盆】特别精彩病例|发现腹膜后肿块10年,乏力、纳差伴腹胀半月
李梦杰huxi 等 3 位达人已点赞病例信息
患者性别:男
患者年龄:72岁
简要病史:发现腹膜后肿块10年,乏力、纳差伴腹胀半月
既往史:患者既往有“高血压病3级 极高危组”病史,自服“苯磺酸左旋氨氯地平片”降压治疗,血压最高200/100mmHg,血压最低120/60mmHg,血压控制欠佳;患者既往有“2型糖尿病”病史,自服“二甲双胍片”降糖治疗,血糖控制可;患者既往有“心律失常”病史,于外院行射频消融术治疗,病情稳定。否认“肝炎”“结核”“疟疾”传染病史及接触史,否认“脑血管“精神疾病”史,否认外伤、输血史,否认食物、药物过疾病”敏史,预防接种史不详。
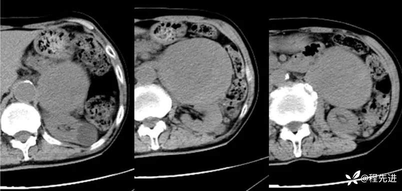
CT平扫:

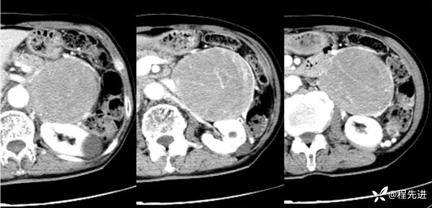
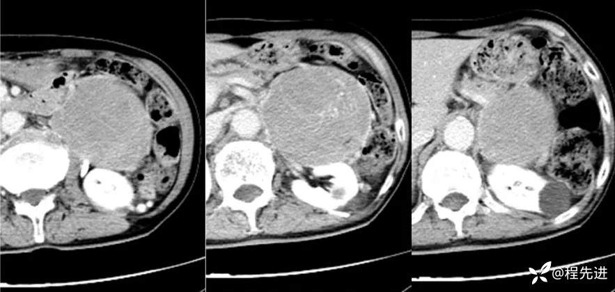
CT增强:
动脉早期:

动脉晚期:

延迟期:

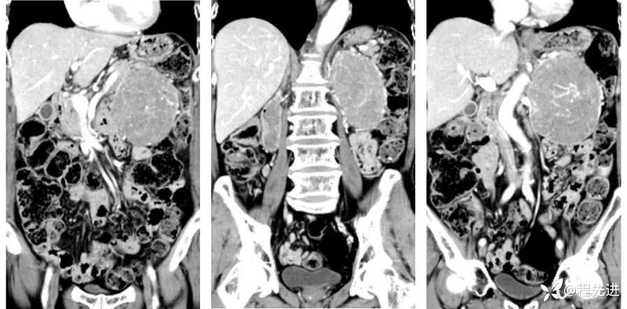
冠状位重建:

期待您的点赞支持!
期待您的精彩解读!















































