劳动节特别精彩病例|体检发现,体重下降,肿标高【病理已公布】
患者性别:女
患者年龄:53岁
简要病史:患者2月前体检胸片发现肺部阴影。平素无咳嗽咳痰、胸闷气促等不适。现患者为求进一步诊治来院,门诊拟“肺部阴影”收治入院。患者9月来体重下降4kg。
体格检查:(-)
实验室检查:CA199114.4
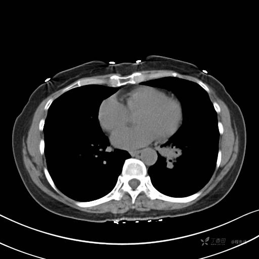
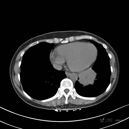
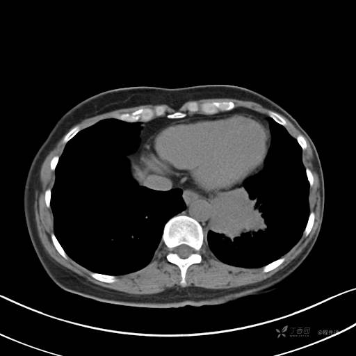
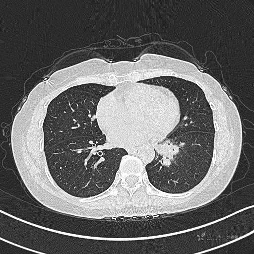
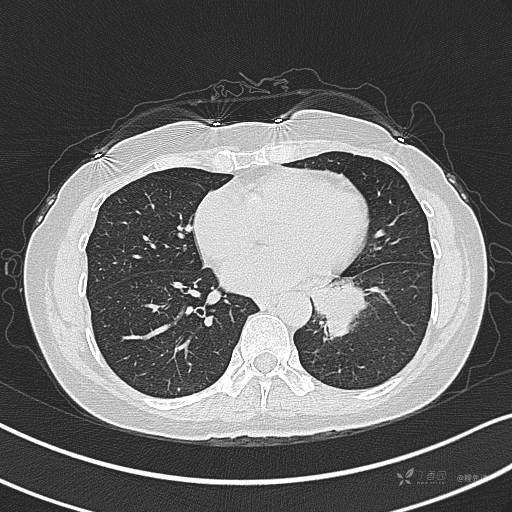
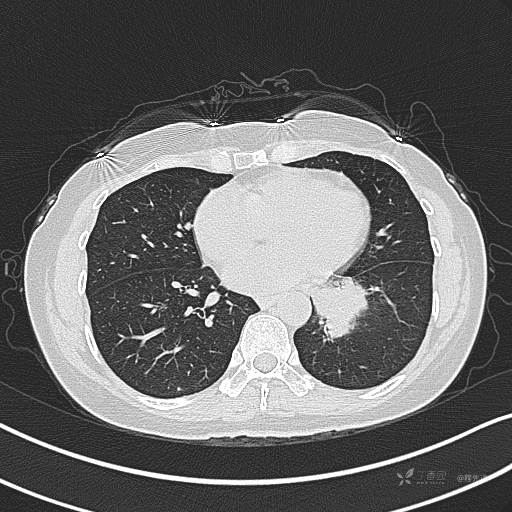
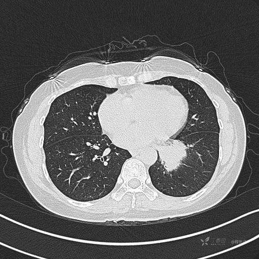
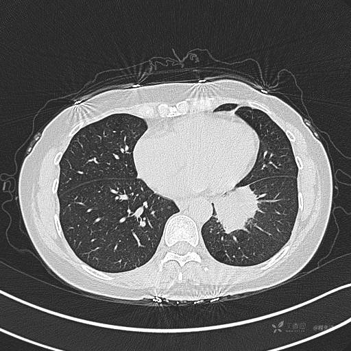
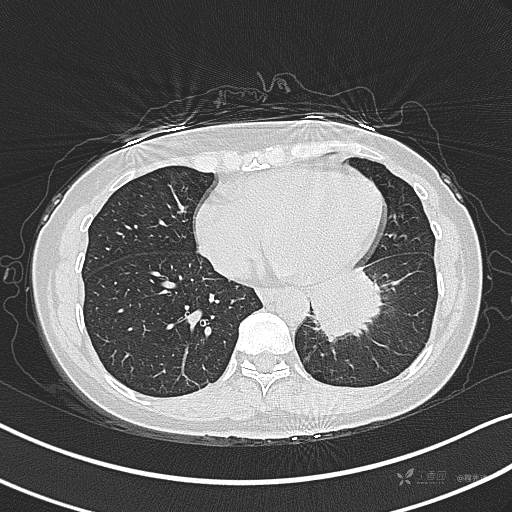
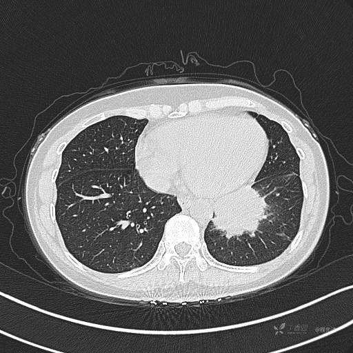
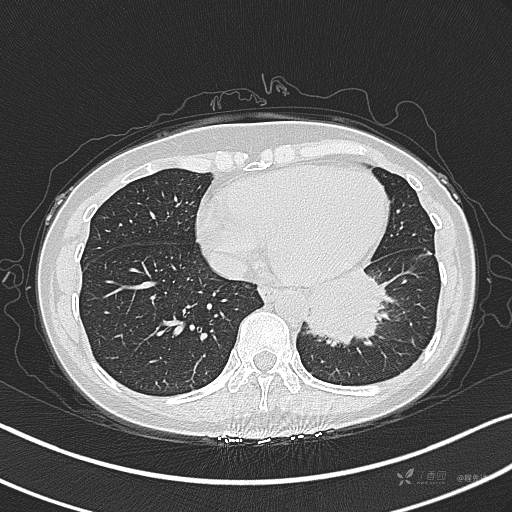
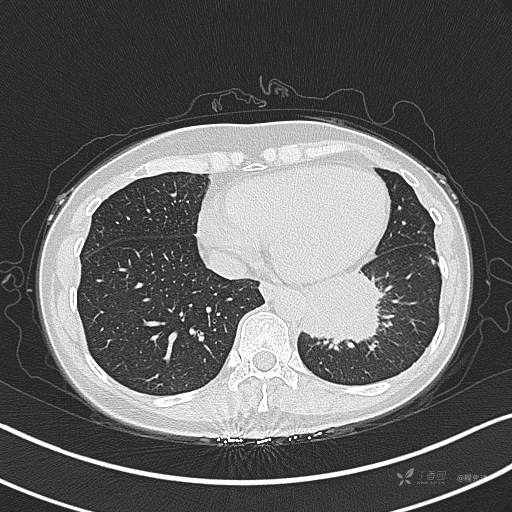
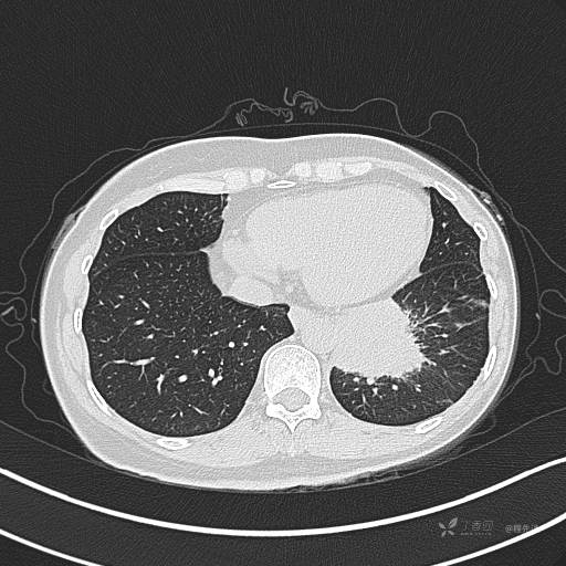
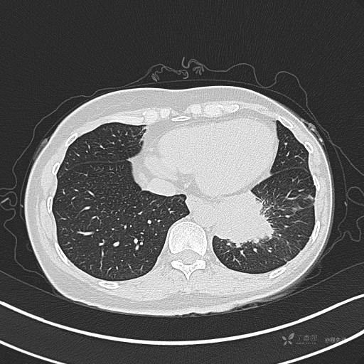
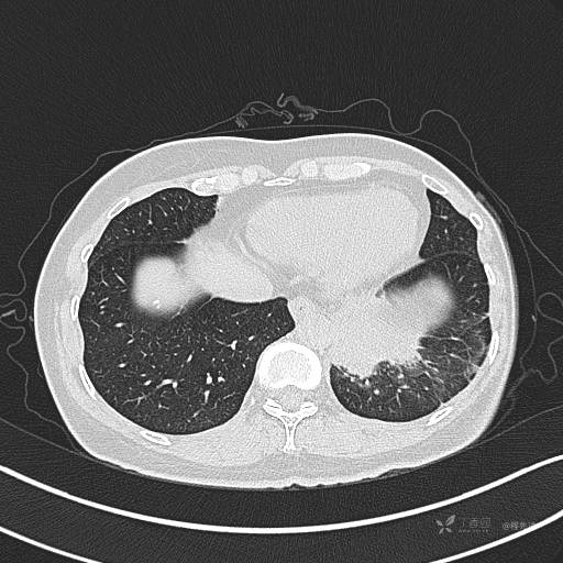
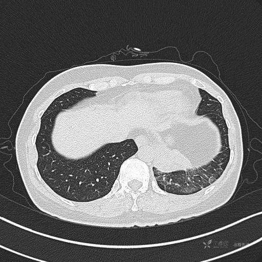
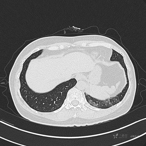
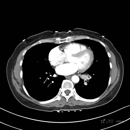
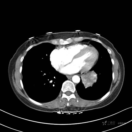
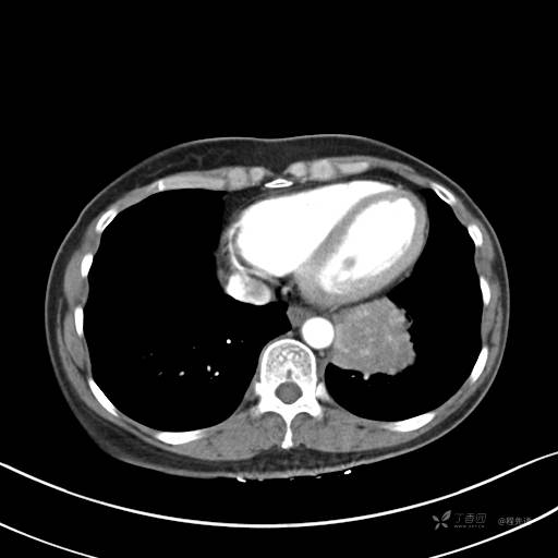
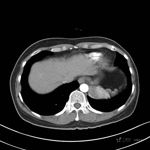
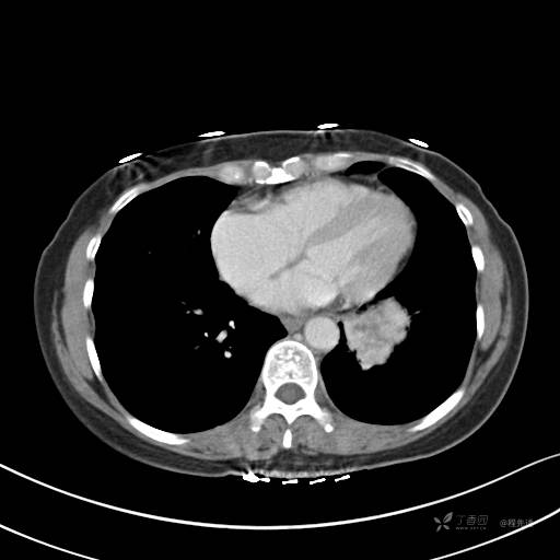
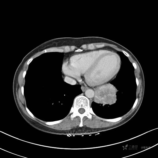
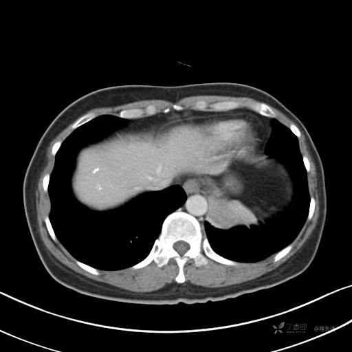
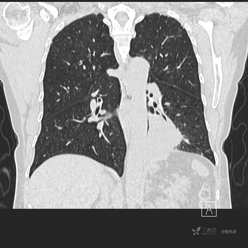
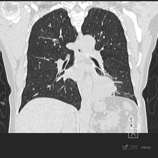
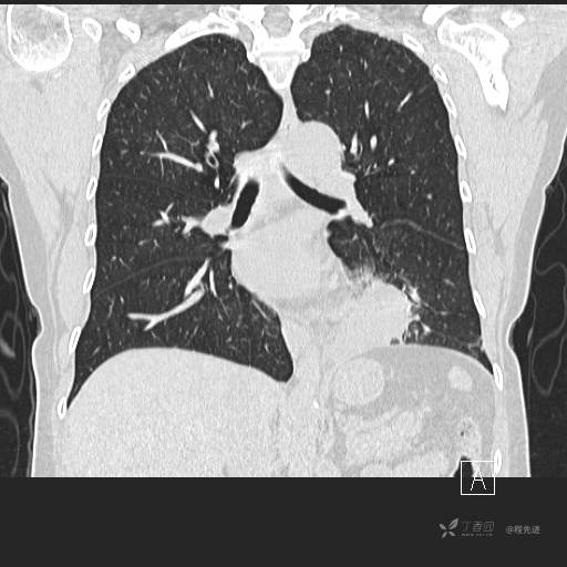
CT平扫
纵隔窗












病灶平扫CT值约31HU
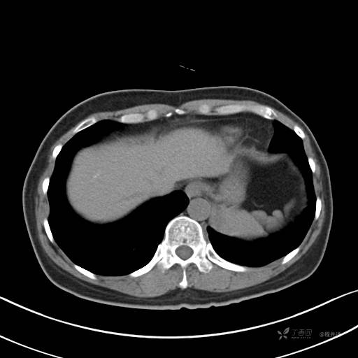
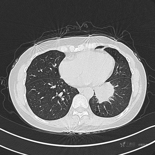
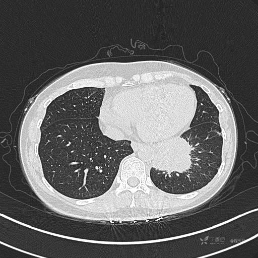
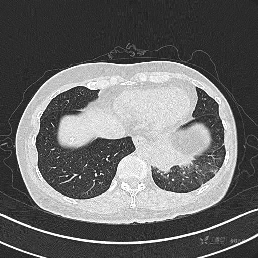
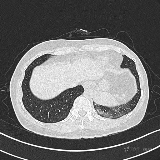
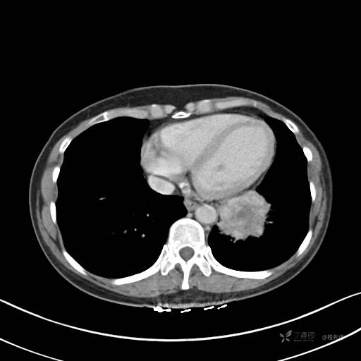
肺窗







































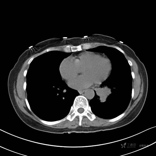
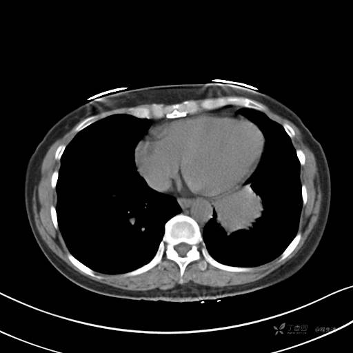
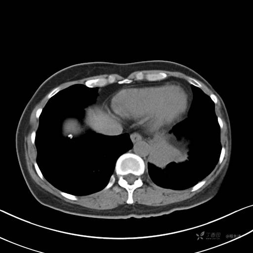
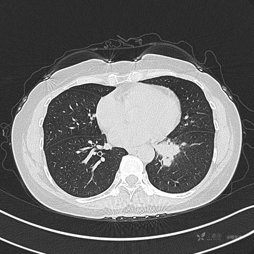
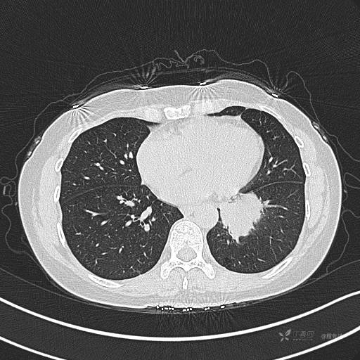
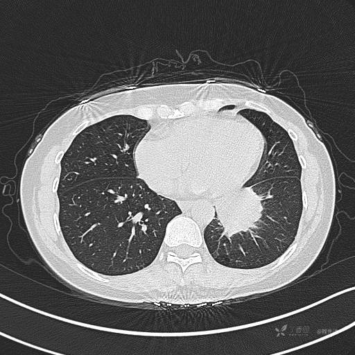
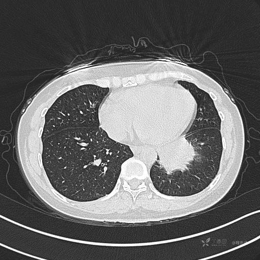
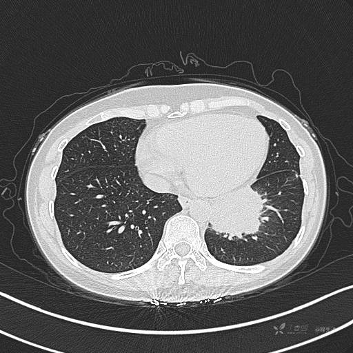
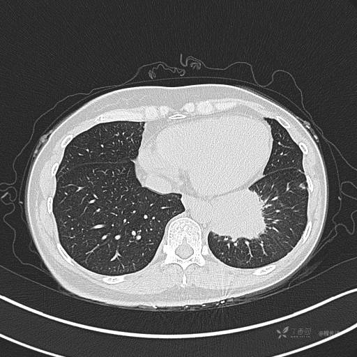
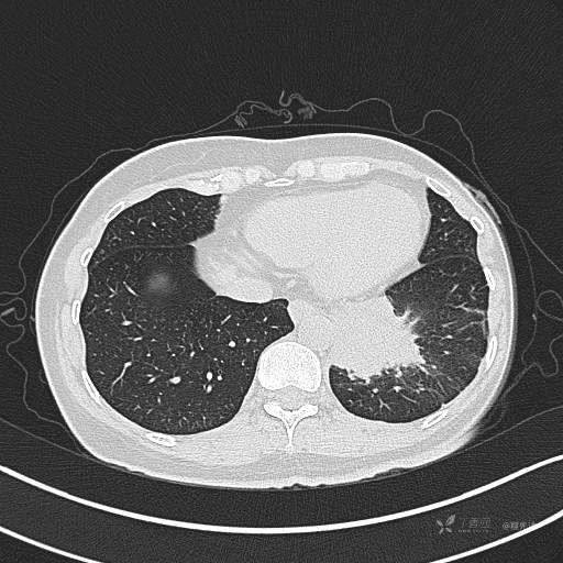
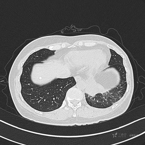
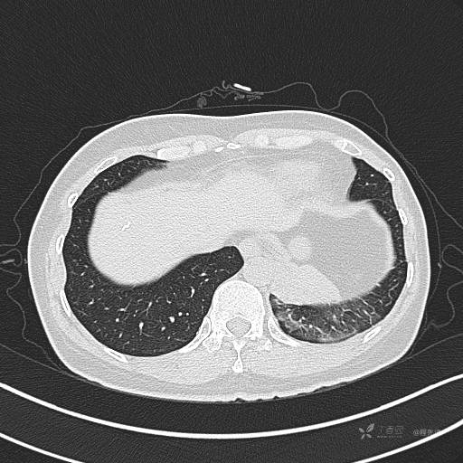
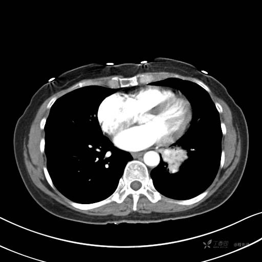
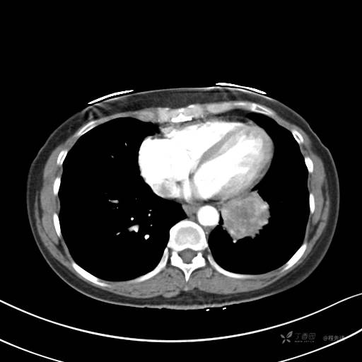
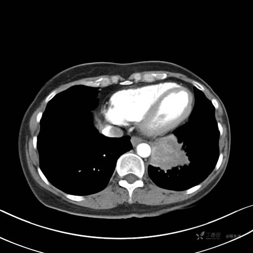
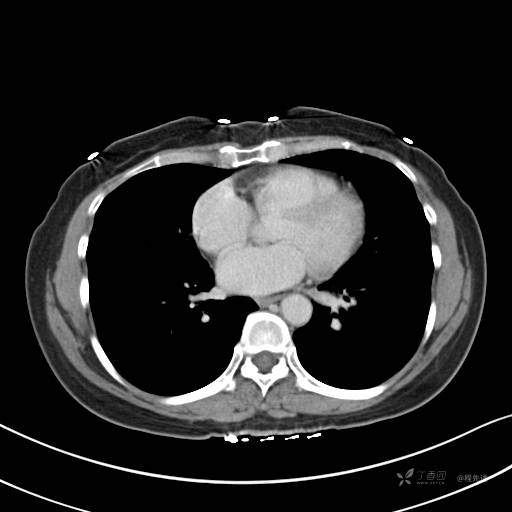
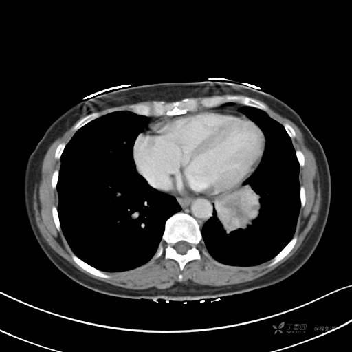
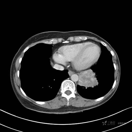
增强动脉期












动脉期CT值约74HU
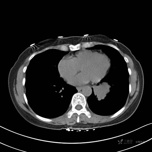
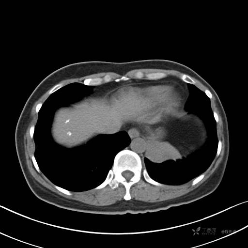
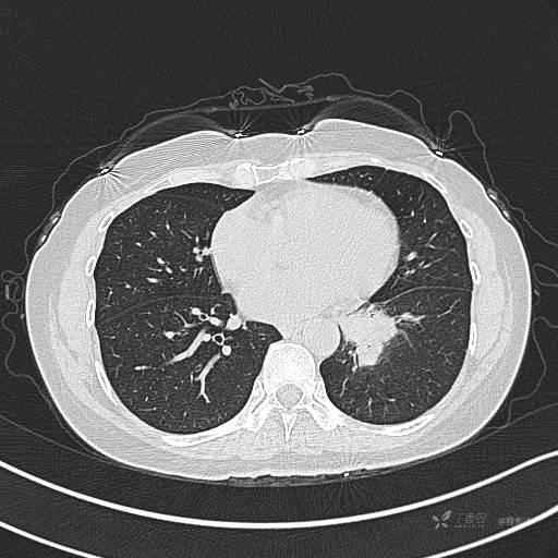
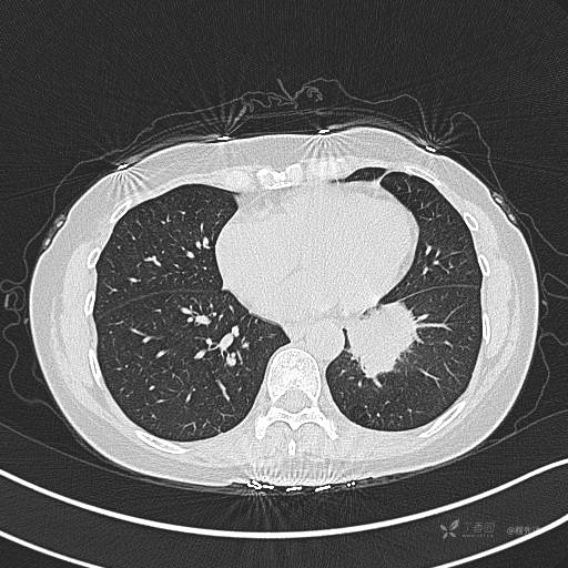
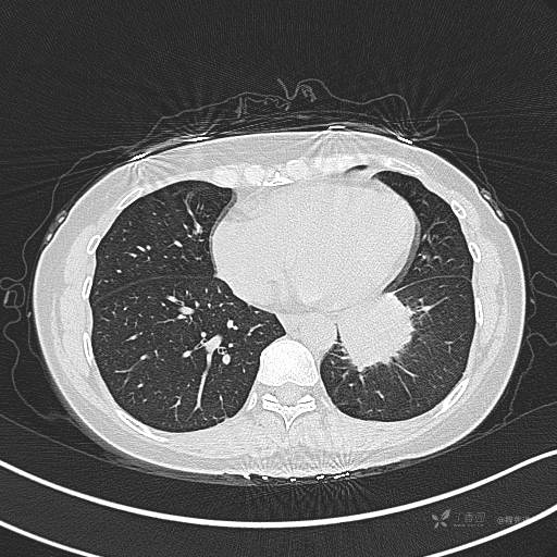
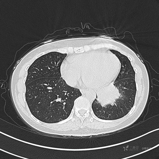
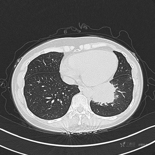
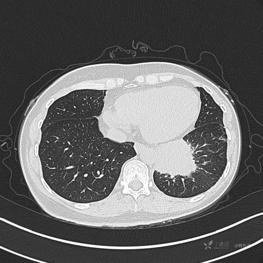
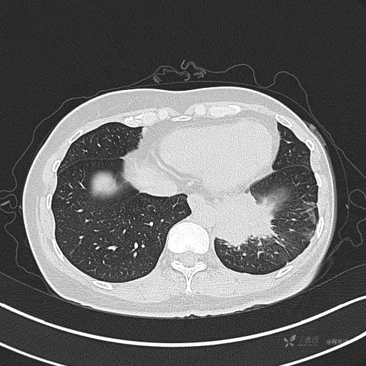
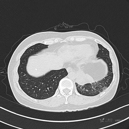
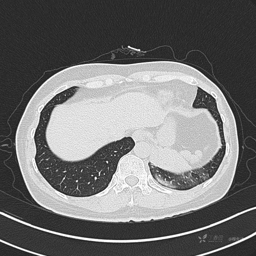
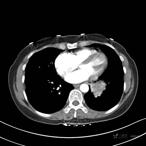
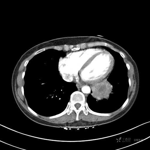
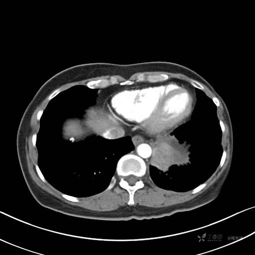
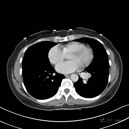
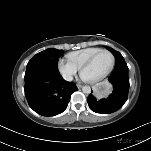
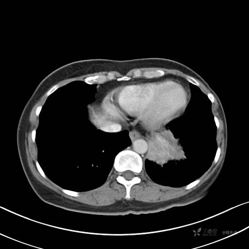
增强静脉期













静脉期CT值约84HU
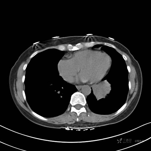
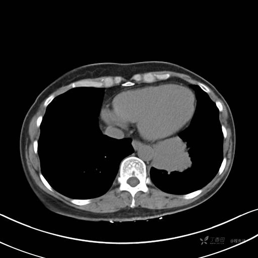
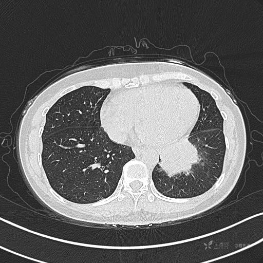
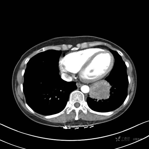
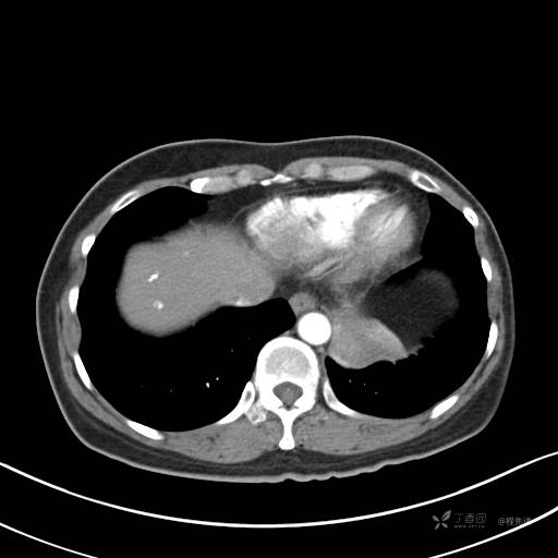
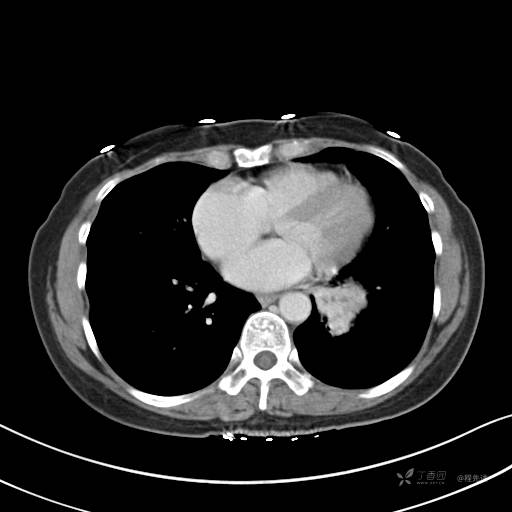
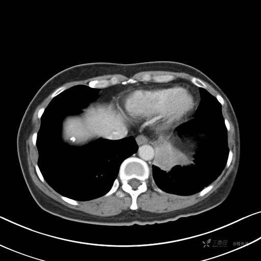
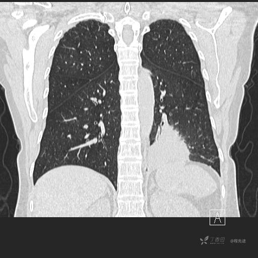
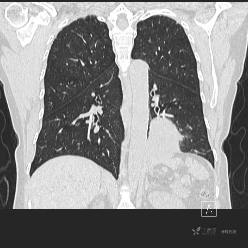
冠状位重建






CT值:平扫:31HU,动脉期:74HU,静脉期:84HU
您的诊断是?
分析思路?
鉴别诊断?















































