8月特别精彩病例|咳嗽、乏力、消瘦半年,呕吐2天,胃占位,典型吧?|病理已公布
呱呱叫了 等 2 位达人已点赞患者性别:男
患者年龄:89岁
主诉:咳嗽、乏力、消瘦半年,呕吐2天
辅助检查:
血常规:白细胞6.93x10~9n,红细胞3.59x10~12/L,红细胞压积0.332,血红蛋白浓度107g/L,血小板354x10~9L,中性细胞比率85.4%,淋巴细胞比率5.8%
血气分析:PH值7.47,二氧化碳分压42.30mantHg;实际碳酸氢盐30.00mmol/L;阴离子间隙18.10mmol/L; 血液剩余碱5.6mmol/L血红蛋白氧饱和度97.7%
血沉: 9Imm/h,D-二聚体测定1.3ug/ml
肝功能常规检查:白蛋白36.8g/L,球蛋白40.1g/L,白球比值0.92,直接胆红素10.6umol/L,谷草转氨酶58u/1
·电解质常规测定:钠134mmol/L,氯94.1mmol/L,余项正常
空腹血糖测定6.02mmol/L
肾功能: 尿素氮12.72mmol/L,尿酸565umol/L,余项正常
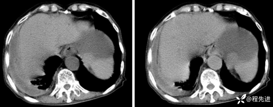
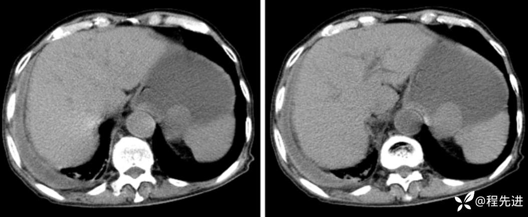
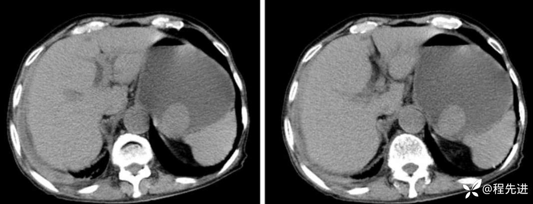
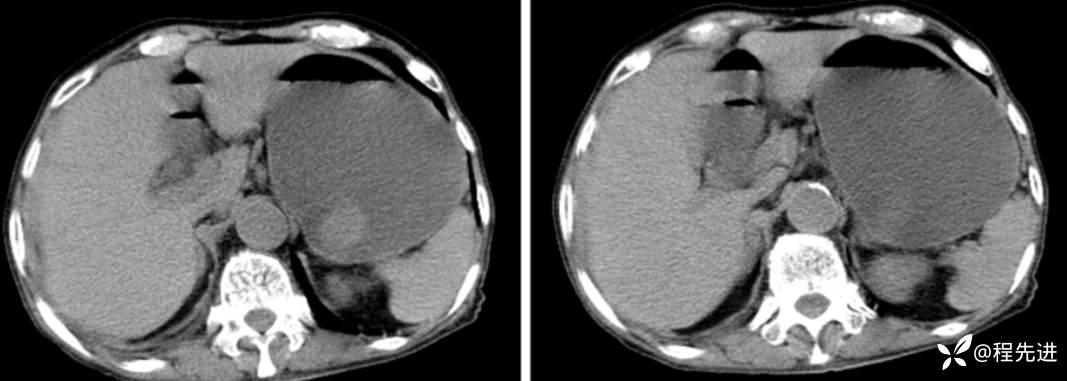
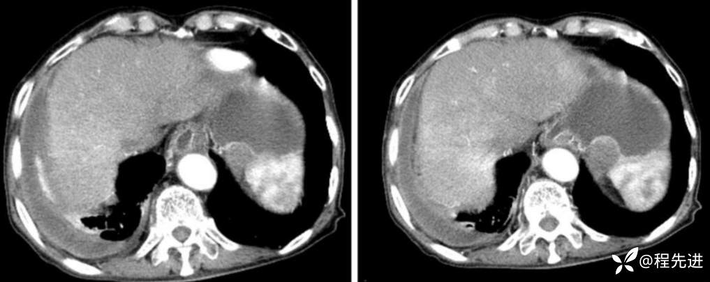
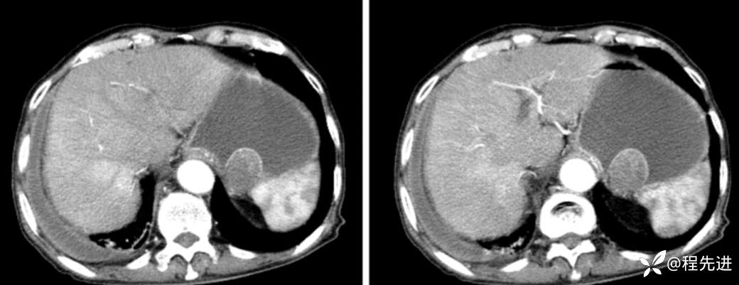
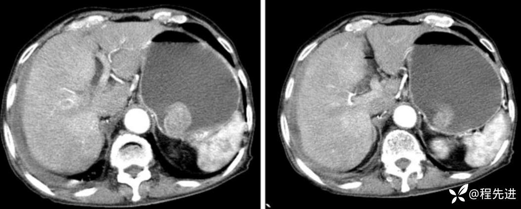
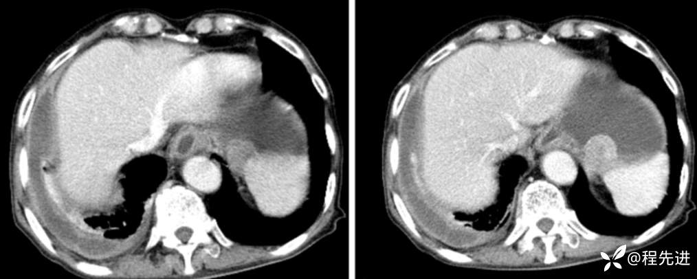
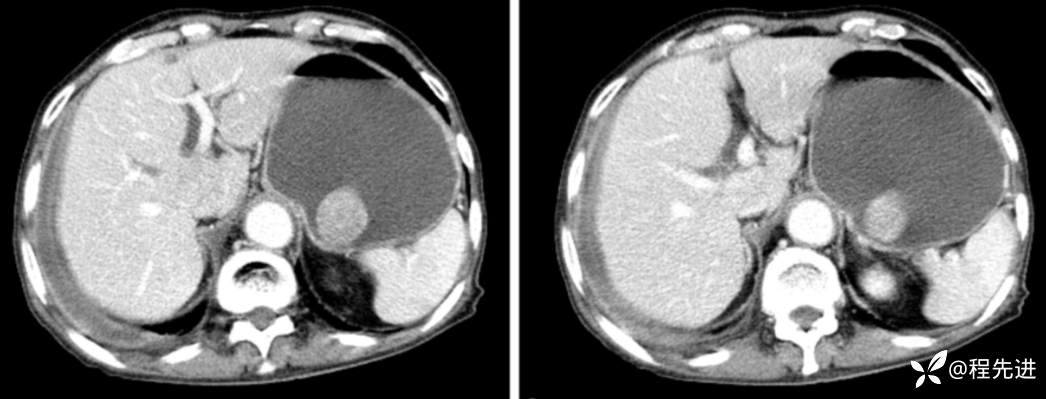
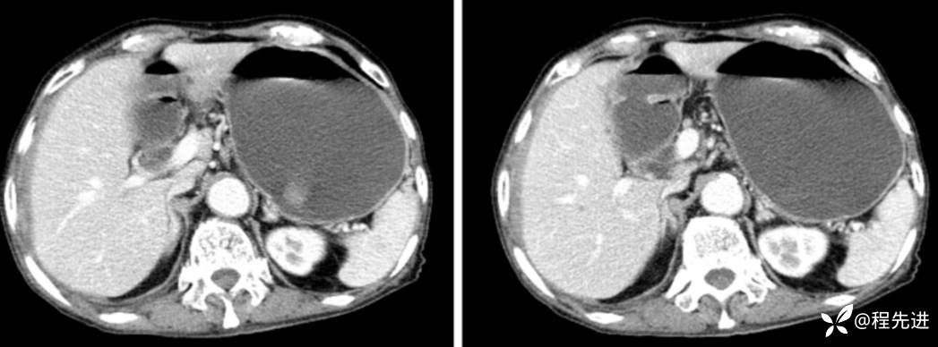
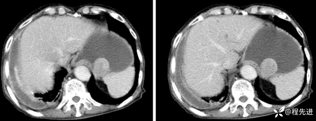
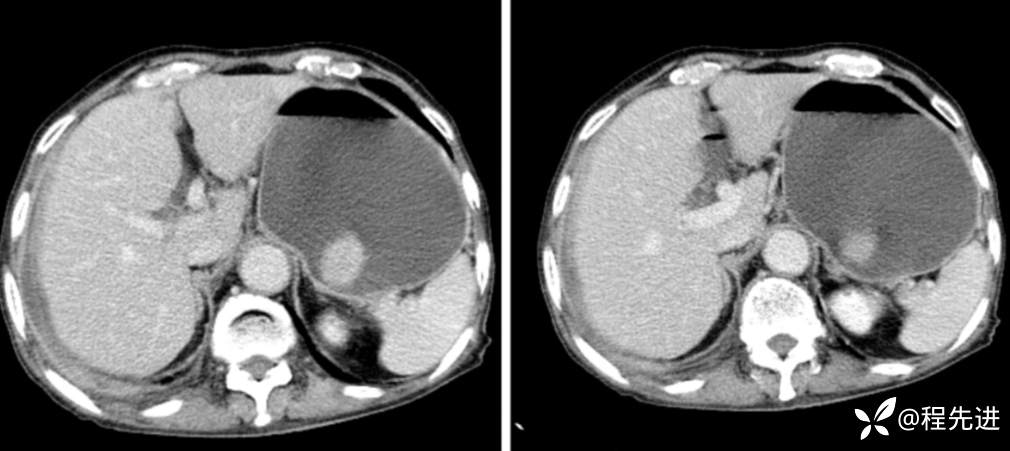
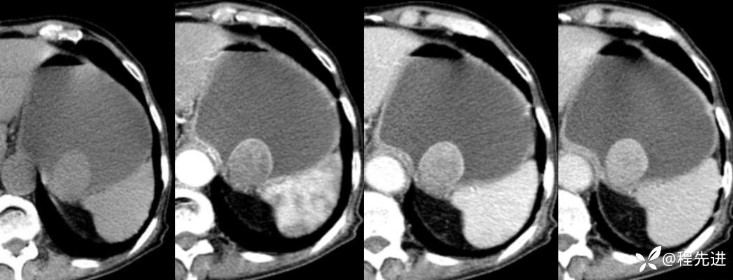
CT
平扫




动脉期




门脉期




延迟期




局部放大
















































