dxy logo
首页丁香园病例库全部版块
搜索
登录

病例7月特别精彩病例|绝经4个月,乏力伴视力下降1月【病理已公布】

影像核医学版版主 · 最后编辑于 2023-07-09 · IP 江西江西
1467 浏览
icon呱呱叫了 等 5 位达人已点赞
这个帖子发布于 2 年零 97 天前,其中的信息可能已发生改变或有所发展。

患者性别:女

患者年龄:37岁

简要病史:绝经4个月,乏力伴视力下降1月

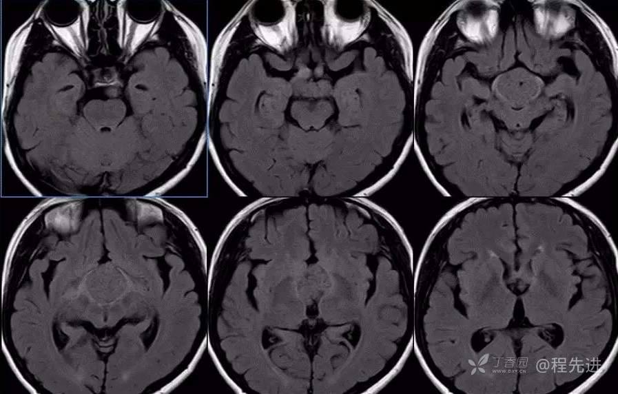
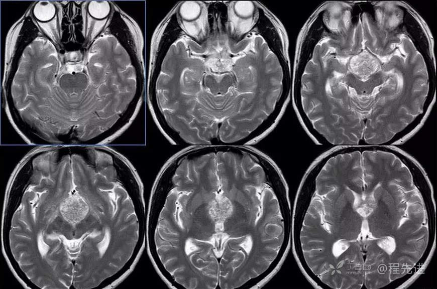
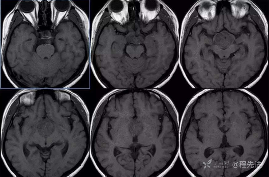
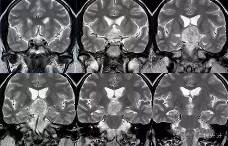
MR

图像依次为T1横断位、T2横断位、T2FLAIR横断位、T2冠状、T1矢状、T1增强横断、矢状、冠状位

img
img
img
img
img
img
img
img
视力减退 (80)
闭经 (153)
纠错
42 1 17
同行评议(0)
已评议
不开通精选
开通精选
精选已授权,待上线
评议结果暂未公布
参与评议
去邀请
NaN
病例完整NaN
临床实用NaN
诊疗科学NaN
学术价值NaN

全部讨论(0)

默认最新
avatar
42
分享帖子
share-weibo分享到微博
share-weibo分享到微信
认证
返回顶部