【神经】特别精彩病例|右眼斜视及视力下降7个月,右眼脸下垂3个月,右眼失明1个月
李梦杰huxi 等 2 位达人已点赞病例信息
【患者信息】:女,62岁
【现病史及既往史】:右眼斜视及视力下降7个月,右眼脸下垂3个月,右眼失明1个月
【检查】:
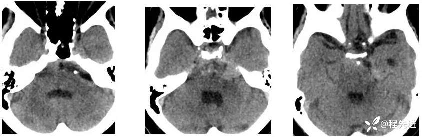
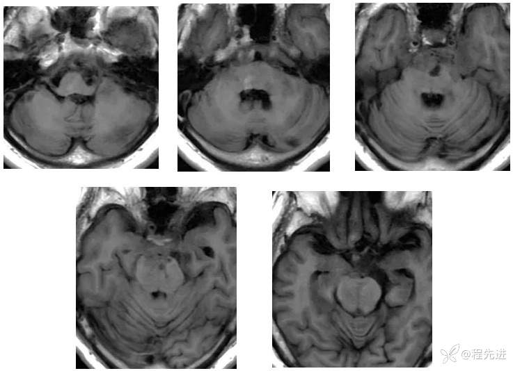
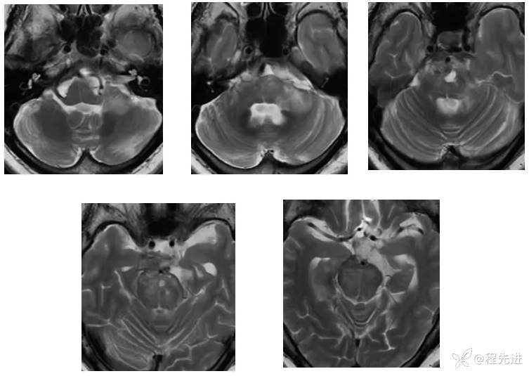
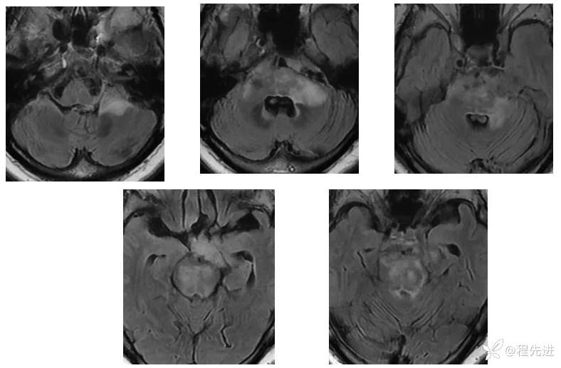
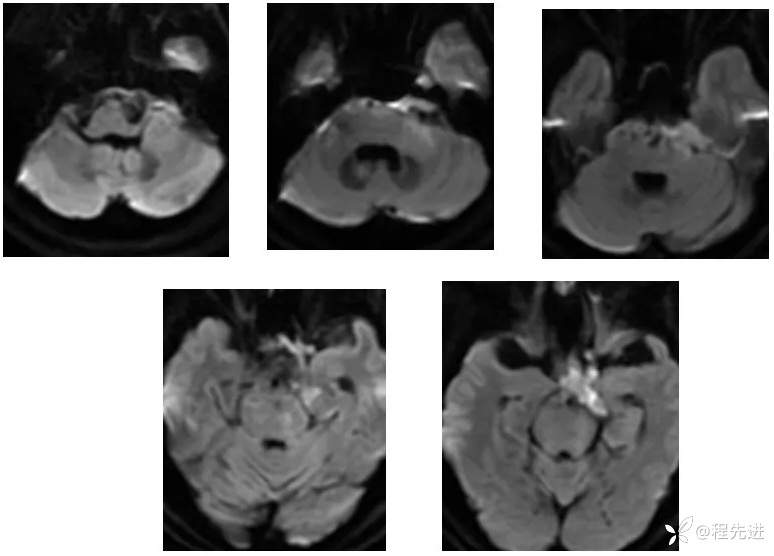
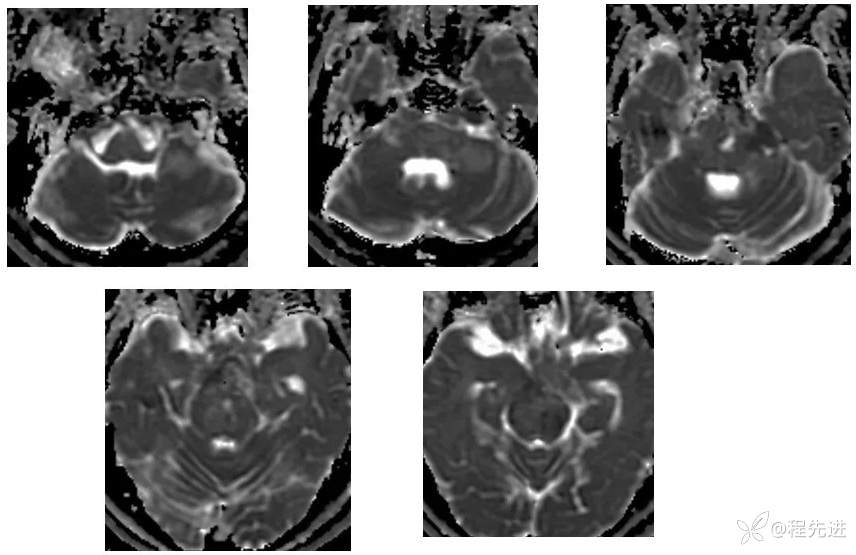
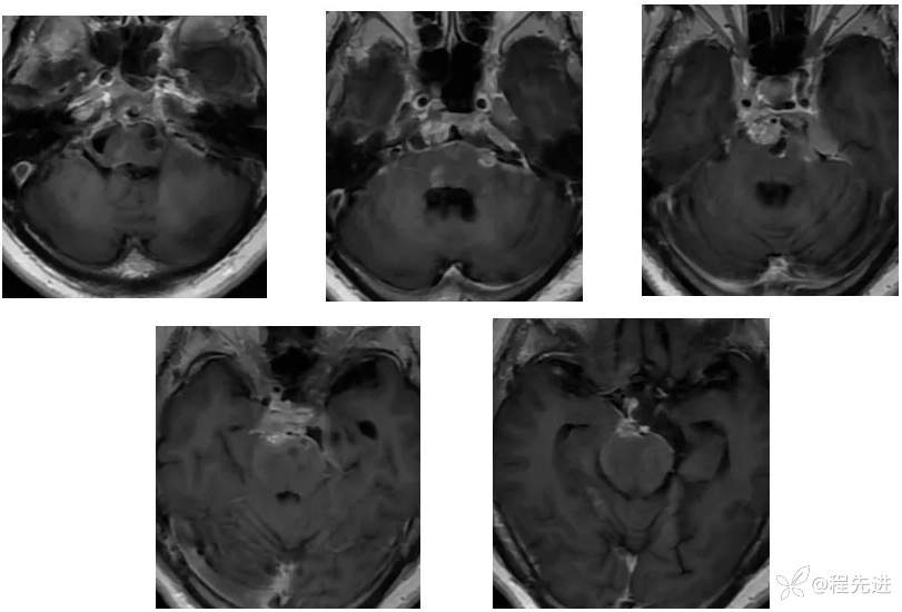
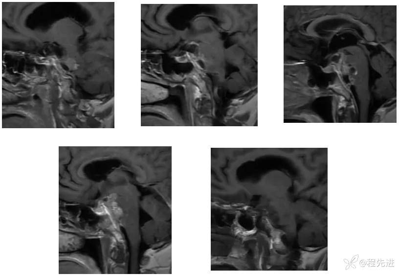
查体:生命体征平稳,右眼脸下垂,右眼失明,左眼内收位,外展受限,光反应迟钝,左侧角膜反射减弱,左侧听力下降,左面部痛温觉减弱无吞咽困难,无饮食饮水呛咳,伸舌舌尖左偏。










李梦杰huxi 等 2 位达人已点赞病例信息
【患者信息】:女,62岁
【现病史及既往史】:右眼斜视及视力下降7个月,右眼脸下垂3个月,右眼失明1个月
【检查】:
查体:生命体征平稳,右眼脸下垂,右眼失明,左眼内收位,外展受限,光反应迟钝,左侧角膜反射减弱,左侧听力下降,左面部痛温觉减弱无吞咽困难,无饮食饮水呛咳,伸舌舌尖左偏。










