14岁少年,视力下降,头部不自主晃动
患者性别:男
患者年龄:14岁
主诉:头部不自主晃动11个月,伴左眼视物模糊、左耳听力下降,加重10余天
临床诊断:两侧丘脑对称性异常信号,外院MR怀疑 代谢性脑病(豆状核变性)建议临床治疗
为其进行PET/MR检查



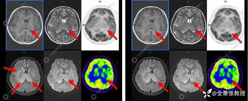
显示:双侧尾状核头-体部、双侧豆状核、双侧丘脑-漏斗-垂体柄、双侧颞叶海马-海马旁回可见对称性异常信号,T1WI呈稍低信号,T2WI及T2W-FLAIR呈稍高信号,DWI大部分呈等信号,右侧丘脑见小片状弥散轻度受限区,SWI未见出血信号;双侧丘脑肿胀,体积增大;MR波谱成像示双侧背侧丘脑NAA峰明显减低,Cho峰升高;双侧尾状核、豆状核各峰尚可,上述部位MR灌注减低,相应脑区FDG摄取对称性弥漫性减低,SUVave为2.92,其中右侧丘脑后缘见小条片状FDG摄取稍高,SUVmax为6.23。
诊断结果为:双侧尾状核头-体部、双侧豆状核、双侧丘脑-漏斗-垂体柄、双侧颞叶海马-海马旁回对称性异常信号,且MRI灌注及糖代谢弥漫性明显减低,提示局部脑功能受损明显;双侧丘脑肿胀;颅脑MRI波谱示病变区NAA峰明显减低,Cho峰升高,提示相应部位神经元受损;考虑中枢系统恶性肿瘤,弥漫性中线胶质瘤可能。后病理证实为H3K27M突变型弥漫性中线胶质瘤。
关于弥漫性中线胶质瘤
漫性中线胶质瘤(diffuse midline glioma, DMG)是一种儿童和青少年高级别胶质瘤,起源于大脑中线结构,包括脑桥(弥漫内生性脑桥胶质瘤-DIPG),源于少突胶质细胞谱系的干细胞的恶性转化 。
2016年世卫组织中枢神经系统肿瘤分类标准,将弥漫性中线胶质瘤归类为IV级。弥漫性中线胶质瘤——高级别胶质瘤(即最严重的4级)!
H3K27M突变型弥漫性中线胶质瘤?
弥漫性中线胶质瘤伴H3K27M突变是伴有组蛋白H3K27M突变的胶质瘤。H3K27M突变发生在H3F3A或HIST1H3B两个基因中,这种突变导致组蛋白H3家族蛋白的组蛋白尾甲基化减少(主要是H3.1和H3.3),从而阻止胶质细胞分化和促进胶质瘤发生。组蛋白H3K27M突变存在于大多数儿童和成人弥漫性胶质瘤中,无明显性别差异,好发位置包括脑干、丘脑和脊髓,少见部位包括下丘脑、第三脑室、松果体区、小脑等。
2016年WHO中枢神经系统肿瘤分类中,将“H3K27M突变型弥漫性中线胶质瘤划分为一类全新、独立的弥漫性星形细胞瘤亚型,其定义为弥漫性浸润中线的高级别胶质瘤,以星形胶质细胞分化和组蛋白H3基因H3F3A或HISYT1H3B/CK27M突变为主要特征,其恶性程度、弥漫、扩散能力等归为Ⅳ级,预后较差[1,2,3]。
H3K27M突变型弥漫性中线胶质瘤的主要临床症状?
弥漫性中线胶质瘤不管是否伴有H3K27M突变,其临床表现不具特异性,一般为亚急性起病,进行性加重。不同部位的肿瘤常有不同的临床症状:幕下病变多表现为肢体运动、感觉障碍、脑神经病变、共济失调等;幕上病变常表现为颅内压增高、偏瘫、视物模糊等[3]。
H3K27M突变型弥漫性中线胶质瘤的影像学检查?
弥漫性中线胶质瘤不具有特异性临床症状,影像学检查是检出和诊断的重要方法。传统影像学检查手段以MRI为主,其MRI主要表现为长T1、长T2信号,可呈点状、环形强化或不强化,可合并非交通性脑积水。由于弥漫性中线胶质瘤的MRI表现无明显特异性、敏感性,本病需与中线区域其他肿瘤如淋巴瘤,毛细胞星形细胞瘤,转移瘤,脑干脑炎,等[4,5]相鉴别,不易准确诊断。由于对本病认识不足,误诊率较高。
PET/MRI技术在脑影像学检查中的技术优势?
PET/MRI技术将 PET和MRI两种成像手段融合在一起,在MRI不同序列提供的精细解剖结构信息基础上,同步融合PET提供病变的代谢信息,在肿瘤原发灶临床诊断、分期及转移情况评估等方面表现出较大的优越性,尤其在涉及软组织的肿瘤病灶诊断中,在脑肿瘤技术优势更为显著。PET/MRI技术所提供的丰富影像学信息,为涉及H3K27M突变型弥漫性中线胶质瘤的准确诊断与鉴别诊断提供了更大可能。
















































