15岁少年,头痛10天,加重伴恶心、呕吐2天,究竟为何?回帖即可查阅病理。
患者性别:女
患者年龄:15岁
主 诉:头痛10天,加重伴恶心、呕吐2天。
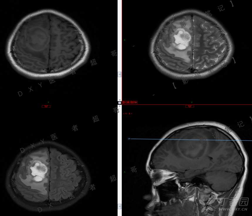
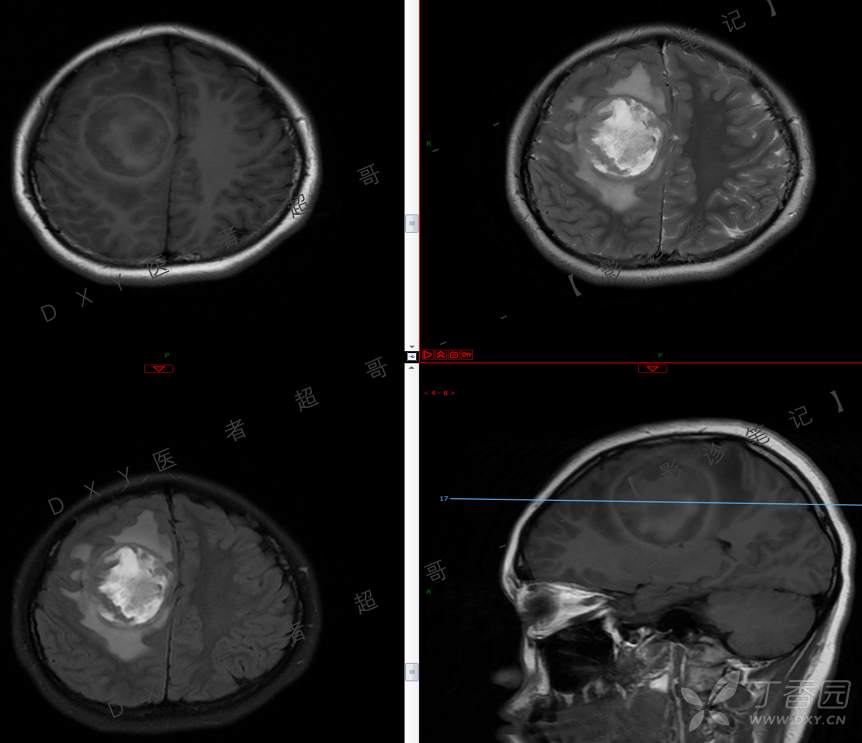
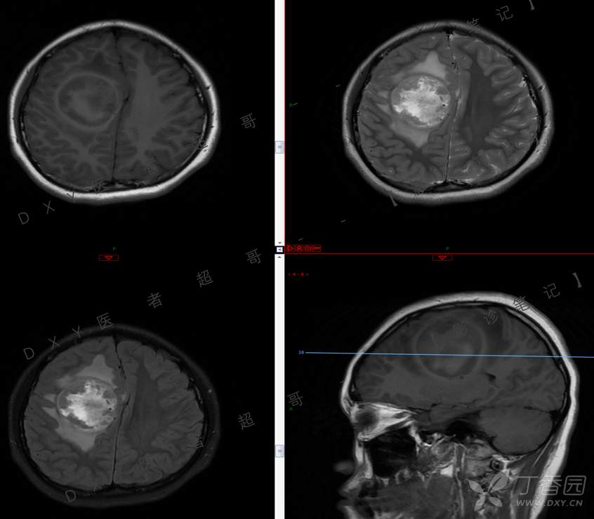
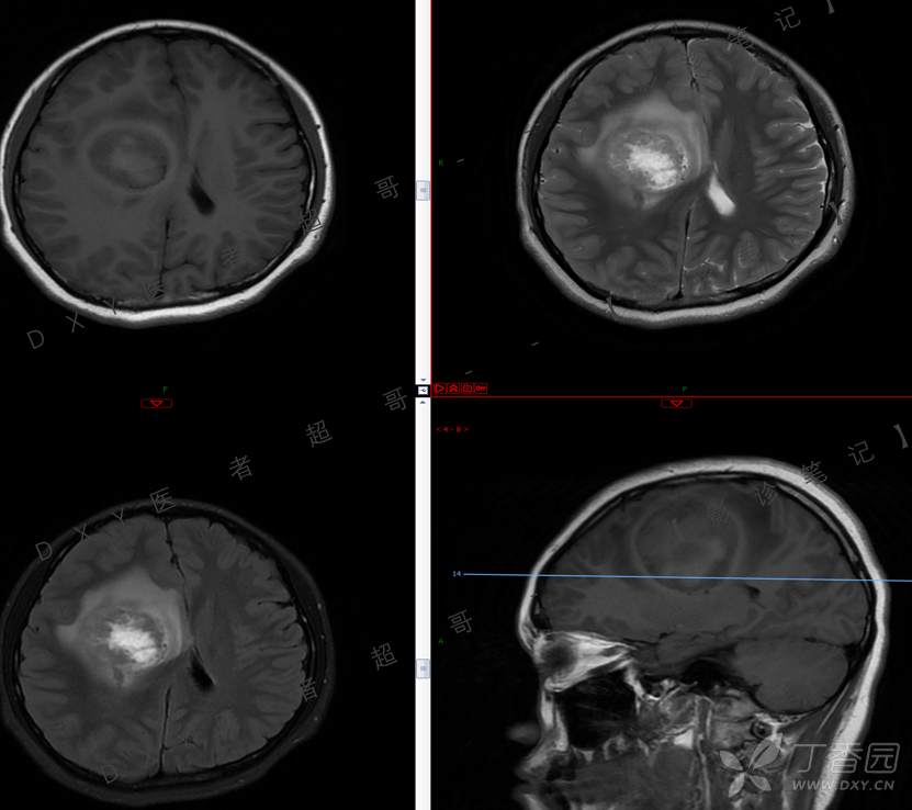
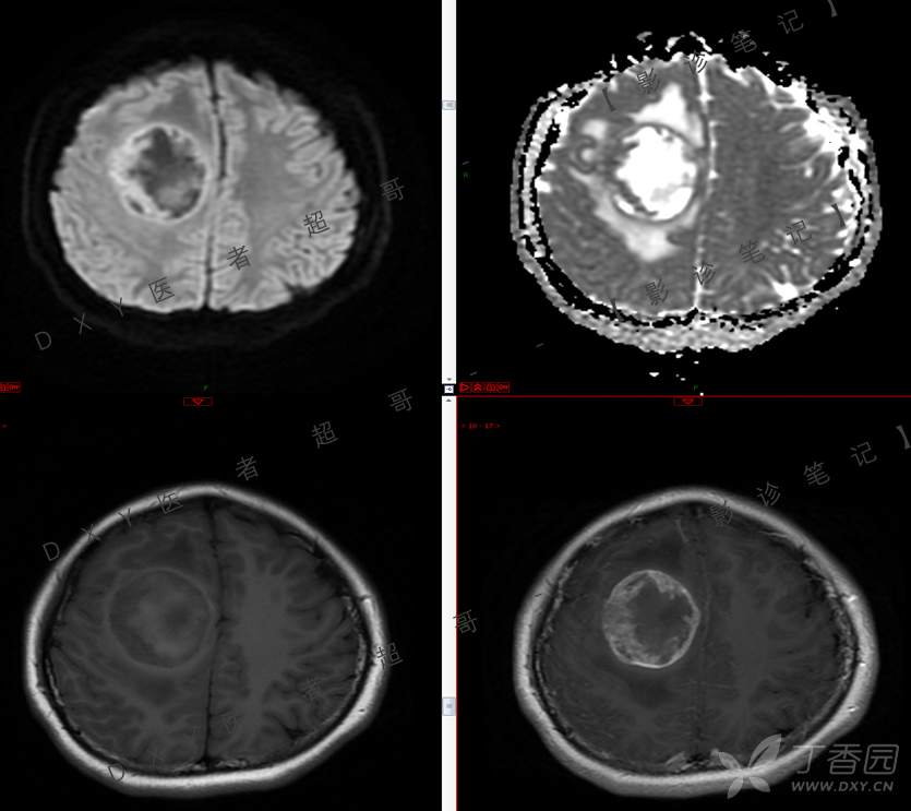
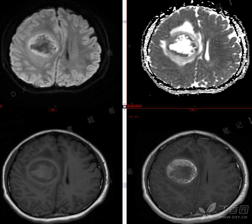
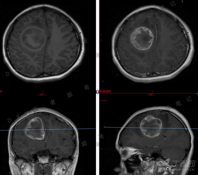
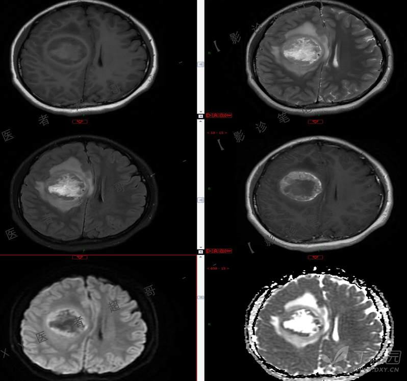
现病史:患者10天前无明显诱因出现头痛,间断发作,无恶心、呕吐,无肢体抽搐等,于当地医院就诊,体温37.4度,予以对症治疗,具体不详,后症状缓解,2天前患者上述症状较前加重,并感双眼胀痛及视物模糊,伴恶心、呕吐,呕吐数次,为胃内容物,再次于当地医院就诊,行颅脑CT考虑“右侧额顶叶病变”,现为求进一步治疗来我院急诊就诊,以“脑脓肿?”收入我科。患者病来精神差,饮食、睡眠欠佳,体重无明显变化。
既往史:既往体健,否认高血压、糖尿病、心脑血管病等疾病史,否认肝炎、结核或其他传染病史及密切接触史,预防接种史不详,否认药物及食物过敏史,否认外伤史,否认手术史,否认输血史,其它无特殊。

























































