3月特别精彩病例|右眼睑进行性下垂、视力下降1月【病理公布-全军覆没】
过去的时光难忘怀 达人已点赞患者性别:男
患者年龄:65岁
主诉:右眼睑进行性下垂、视力下降1月
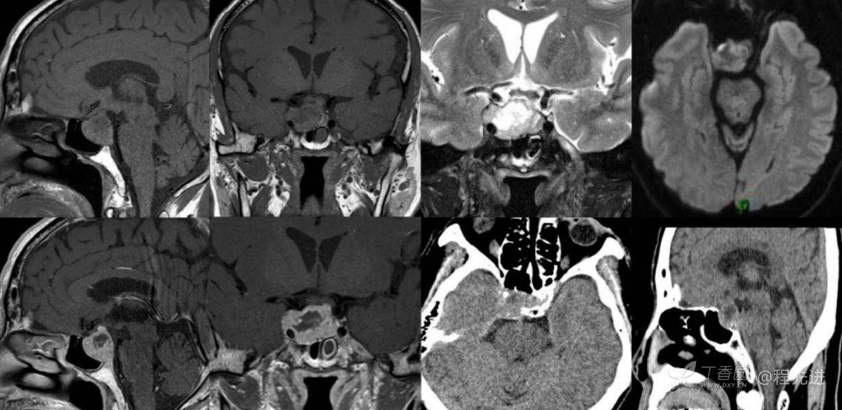
现病史:患者约1月前无明显诱因出现进行性右眼睑下垂,伴视力下降,无头晕、头痛、恶心、呕吐、发热等不适。无肢体无力、麻木、抽搐等。患者遂就诊于眼科医院,予以眼科对症治疗后,症状无明显改善,且逐渐加重,不能睁眼。后就诊于我院神经内科,行颅脑MR提示:鞍区占位累及右侧海绵窦。现为求进一步诊疗来我院,拟诊为“鞍区占位”收住神经内科。起病以来,患者精神、食欲及睡眠尚可,大、小便正常,体重、体力无明显变化。
既往史:患者分别于7年前、2年前在外院行“翼状胬肉”手术,具体不详。平素身体良好。否认心血管疾病、代谢性疾病、血液病,否认药物过敏史,否认输血史。
专科查体:神志清楚,回答切题,查体合作,计算力正常,定时、定位准确,记忆力正常。右眼脸下垂,右眼内聚上视不能,视力粗测下降,左眼活动正常,视野粗测未见异常。双侧瞳孔不等大,右侧直径约3.5 mm,左侧直径约2.5 mm,右侧直接间接对光反射消失,左侧对光反射灵敏。无面舌瘫。颈无强直,3横指。双肺呼吸音清,未闻及呀音。心律齐,各瓣膜听诊区未闻及病理性杂音。腹平软,无包块,无压痛,移动性浊音阴性,肠鸣音正常。肢体肌力正常,肌张力正常,病理征(-)。
辅助检查:



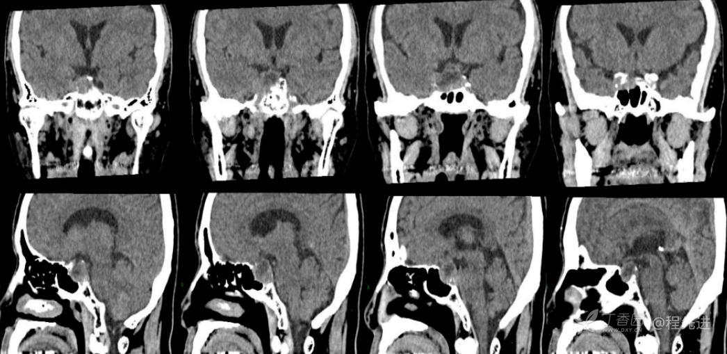
CT:


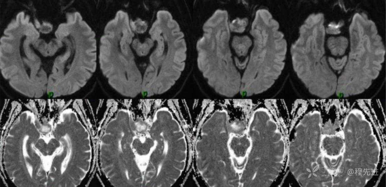
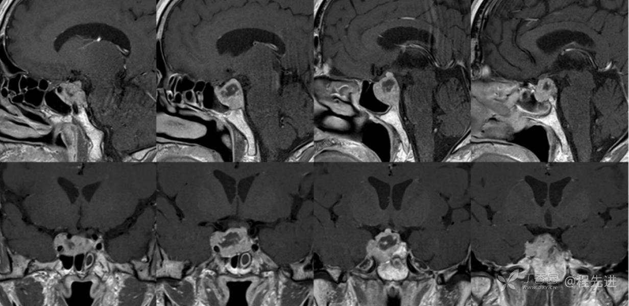
MR:
T1

T2

DWI及ADC图

T1+C


组合
















































