【神经】特别精彩病例|视力下降3月,鞍区占位期待您的精彩解读!
病例信息
患者性别:女
患者年龄:28岁
主诉:视力下降3月
现病史:患者3月前工作时突发视物不清,无明显头痛,外院眼科检查未见明显异常。
查体:无殊
实验室检查:皮质醇↓,泌乳素↑
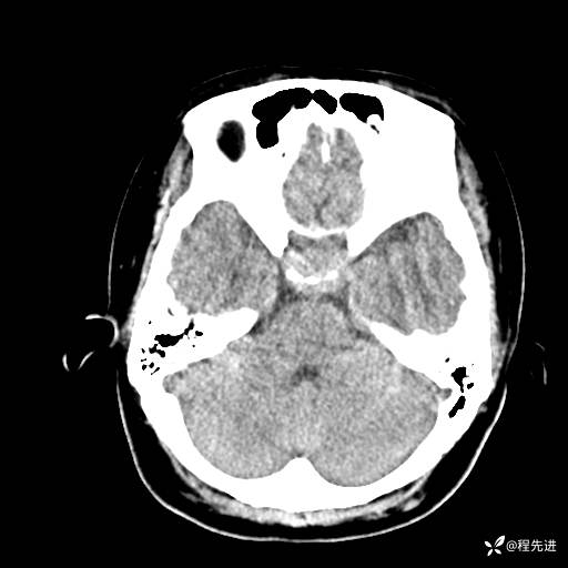
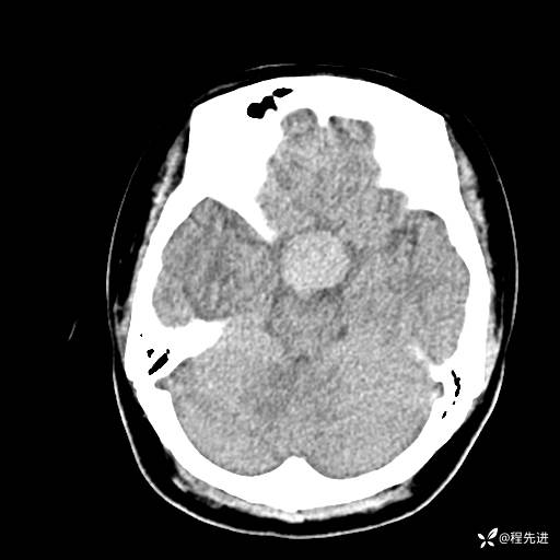
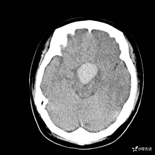
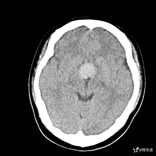
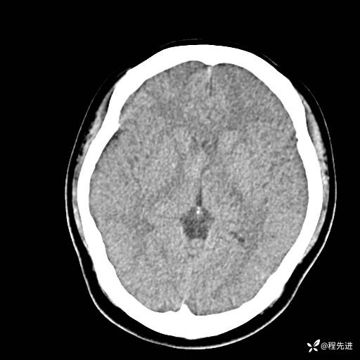
CT平扫:






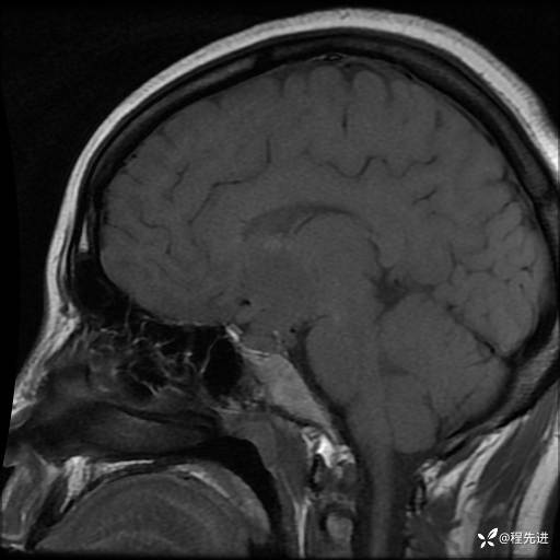
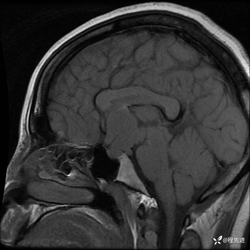
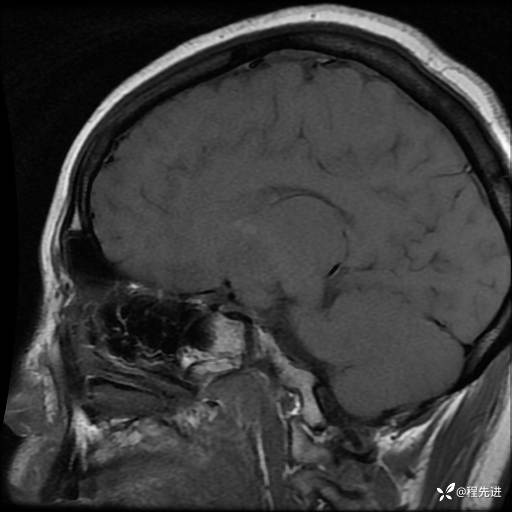
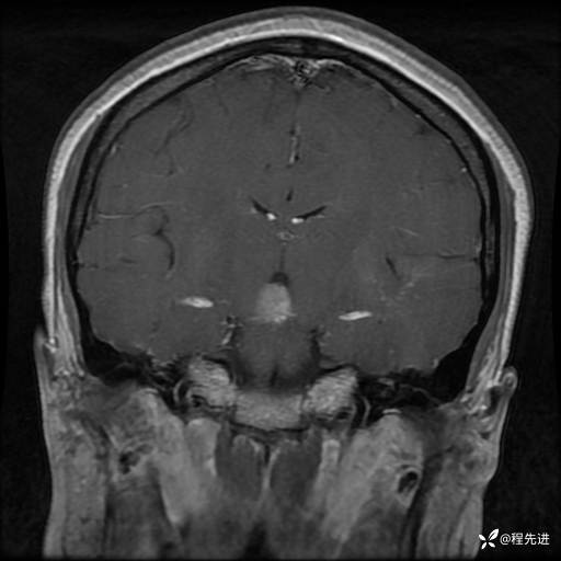
MRI平扫+增强:
T1:











T2:






T1+C:












期待您的点赞支持!
期待您的精彩解读!
病例信息
患者性别:女
患者年龄:28岁
主诉:视力下降3月
现病史:患者3月前工作时突发视物不清,无明显头痛,外院眼科检查未见明显异常。
查体:无殊
实验室检查:皮质醇↓,泌乳素↑
CT平扫:






MRI平扫+增强:
T1:











T2:






T1+C:












期待您的点赞支持!
期待您的精彩解读!
