老年女性,视力下降3年。鞍区钙化性肿块,鉴别诊断有哪些---(有结果)
患者性别:女
患者年龄:59岁
主诉:视力下降3年
简要病史:患者3年前无明显诱因左眼出现视力下降,出现视物模糊,无头痛,无头晕,无恶心、呕吐,无意识障碍,无肢体麻木及抽搐,无心慌、胸闷,无腹痛、腹胀等不适,无旋地转感。个月前右眼视力下降,患者视物模糊逐渐下降,自诉看东西有雾感。在当地医院眼科就诊,症状无好转,行头部MR提示:鞍区肿物。现患者为求诊治来我科就诊,在当地市中医医院行头部CT:提示鞍区占位。患者现求进一步诊治来我院就诊,门诊以“鞍区肿物”收入我科。 患病以来,患者精神、饮食、睡眠尚欠佳,大小便如常,体力体重无明显变化。
体格检查:(-)
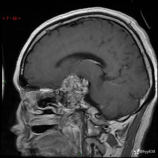
辅助检查:CT MRI
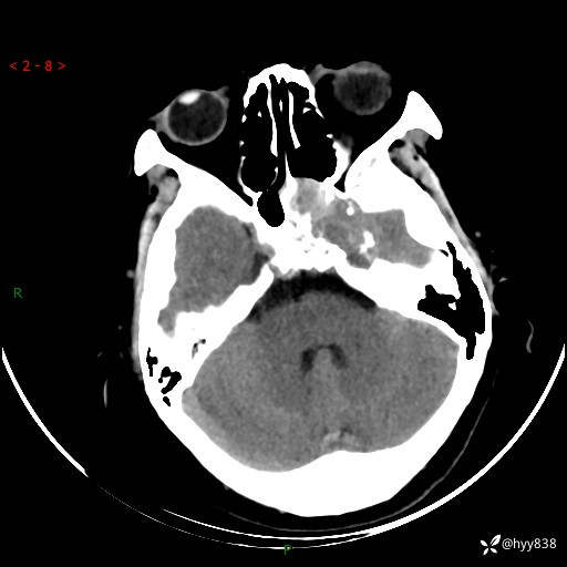
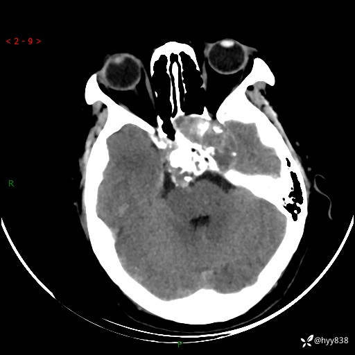
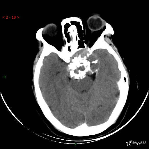
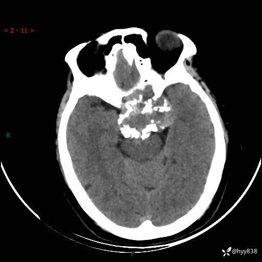
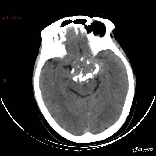
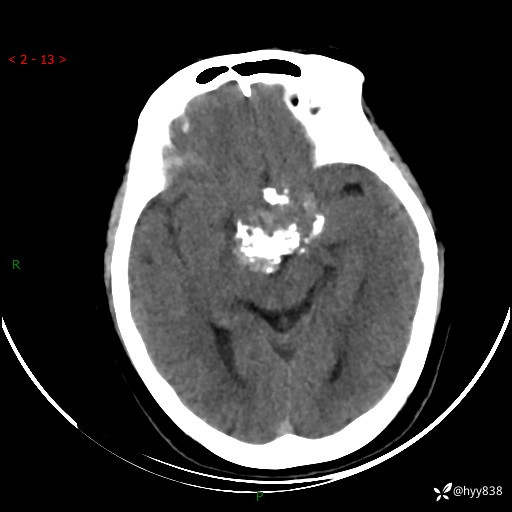
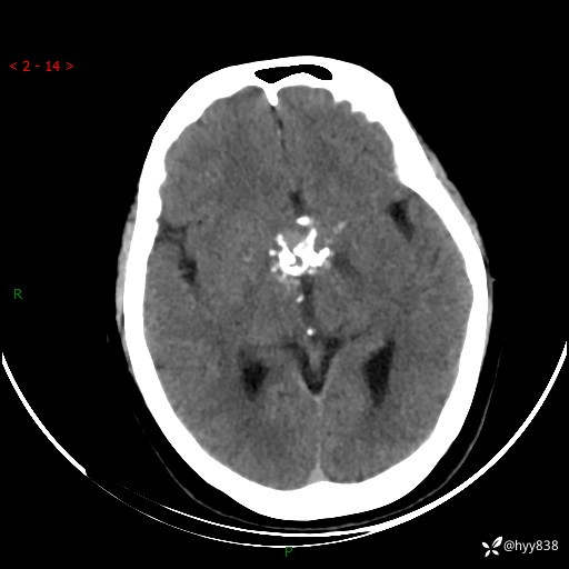
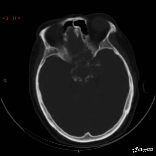
临床诊断:鞍区肿物
治疗经过:手术
讨论:病变性质?
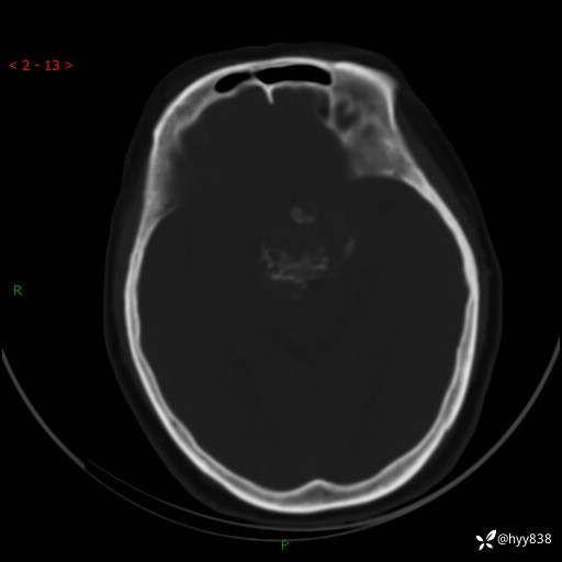
颅脑CT平扫













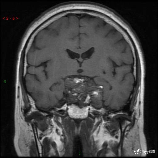
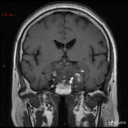
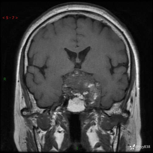
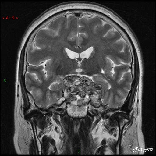
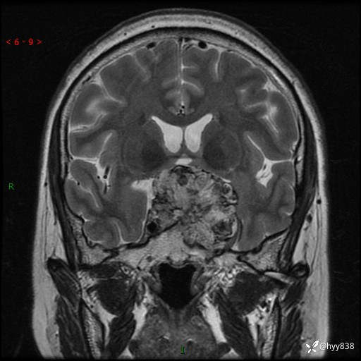
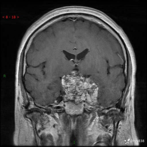
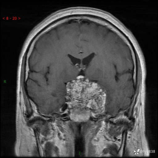
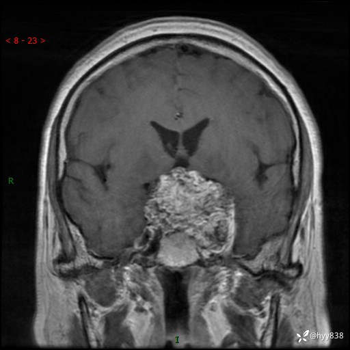
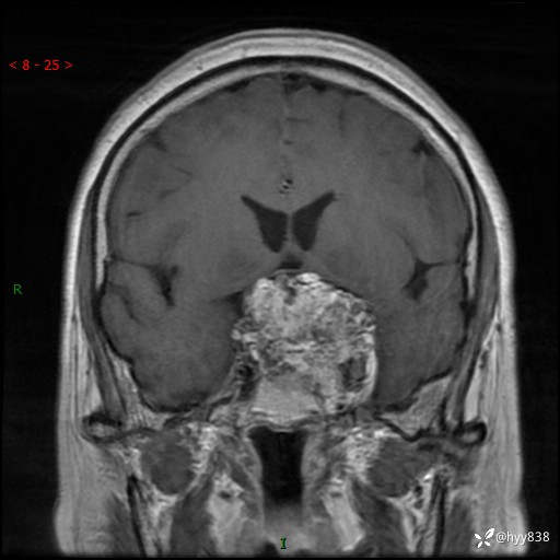
鞍区MRI平扫
T1WI cor




T2WI






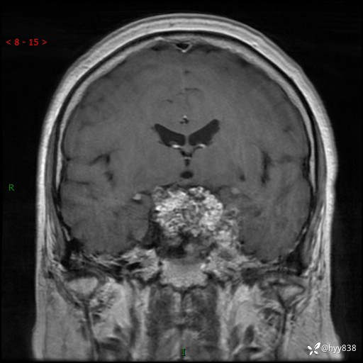
增强 COR +SAG























































