小小少年,锁骨肿胀疼痛。锁骨局部膨大并病理性骨折,骨囊肿 VS 骨纤---结果公布
患者性别:男
患者年龄:16岁
主诉:右锁骨肿胀、疼痛月余
体格检查:(-)
辅助检查:平片 MRI CT
临床诊断:锁骨骨肿瘤
治疗经过:穿刺
讨论:病变性质?
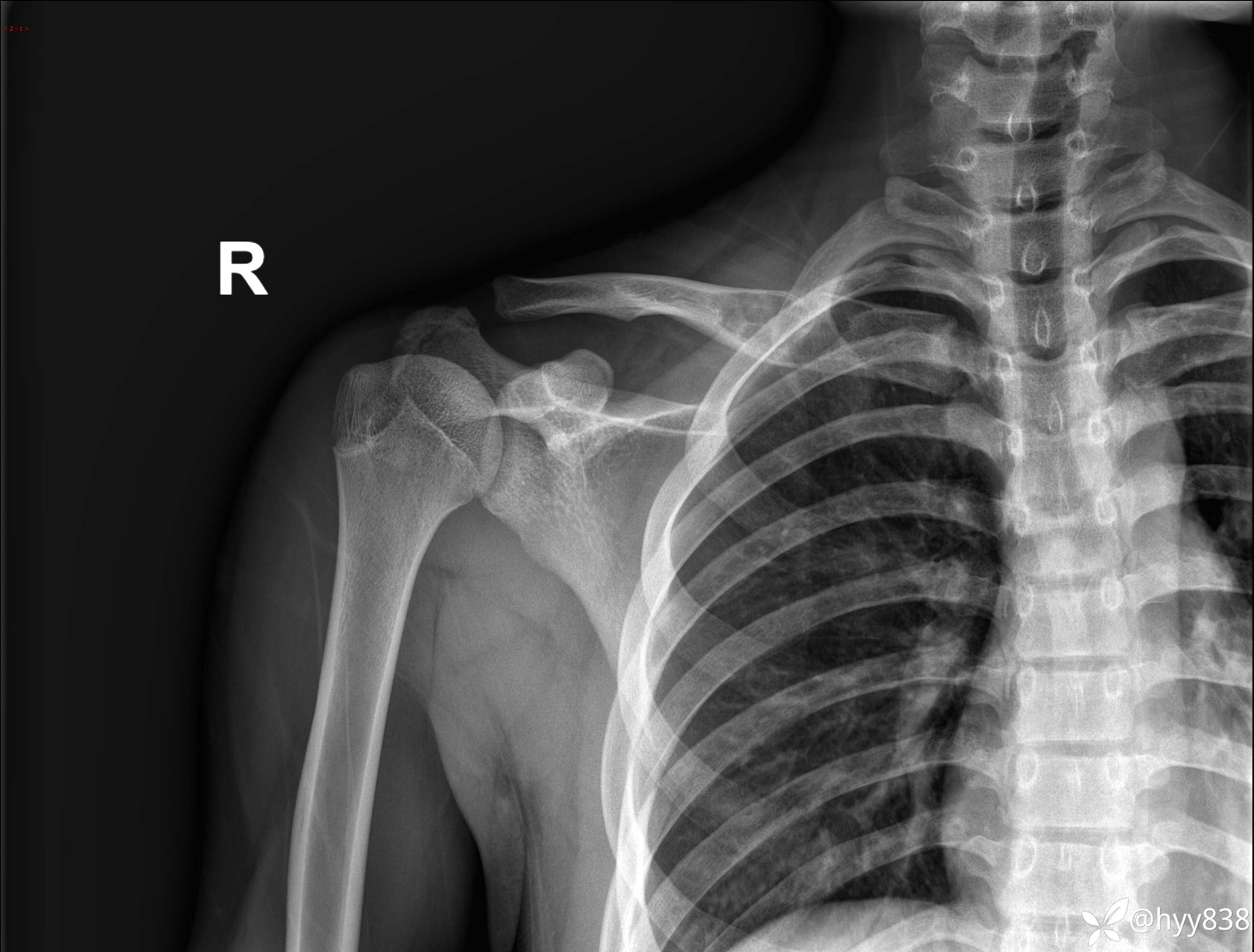
平片

MRI(cor T1WI+T2WIfs+axi T2WIfs)














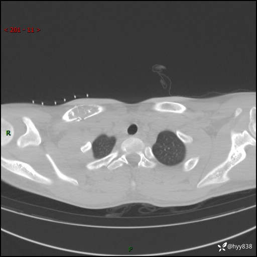
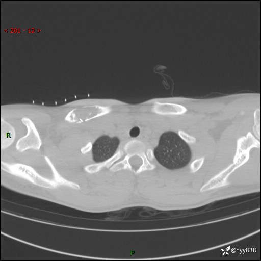
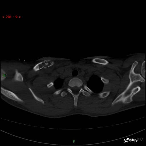
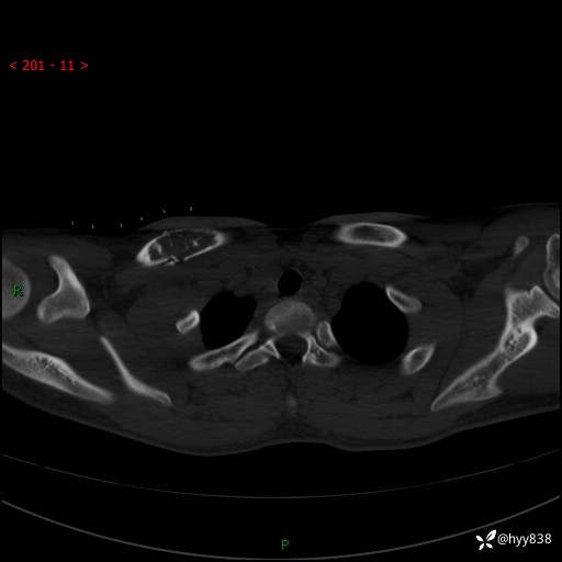
CT











患者性别:男
患者年龄:16岁
主诉:右锁骨肿胀、疼痛月余
体格检查:(-)
辅助检查:平片 MRI CT
临床诊断:锁骨骨肿瘤
治疗经过:穿刺
讨论:病变性质?
平片

MRI(cor T1WI+T2WIfs+axi T2WIfs)














CT











