dxy logo
首页丁香园病例库全部版块
搜索
登录

病例花季少年,头痛伴间断性呕吐1月余。四脑室占位,容易诊断错---结果公布~

影像核医学版版主 · 发布于 2024-04-15 · IP 湖北湖北
777 浏览
icon胡志勇HZY 达人已点赞
这个帖子发布于 1 年零 223 天前,其中的信息可能已发生改变或有所发展。

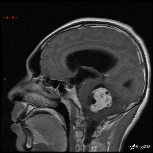
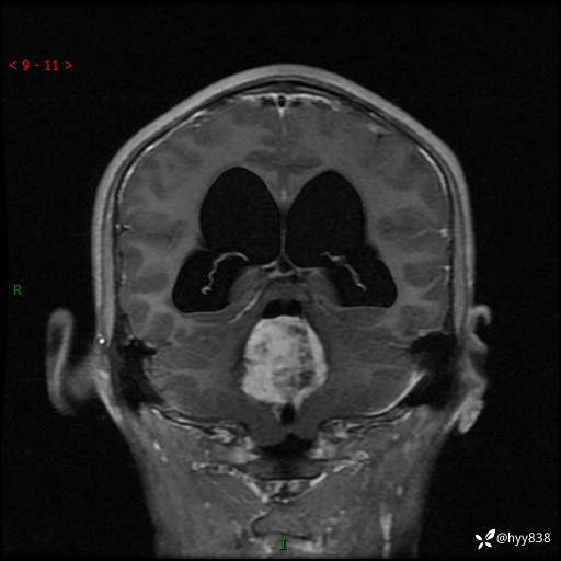
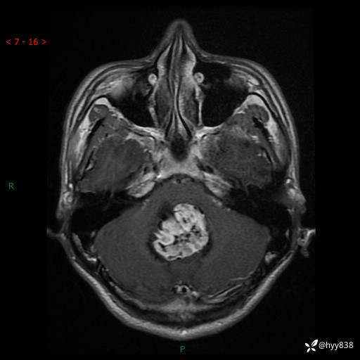
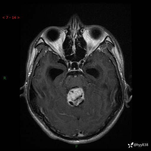
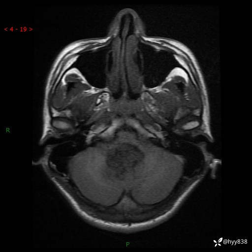
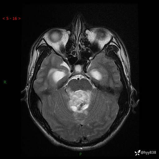
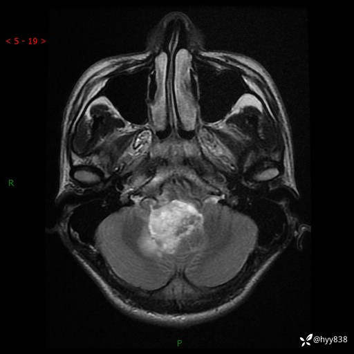
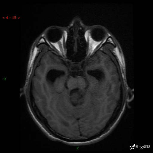
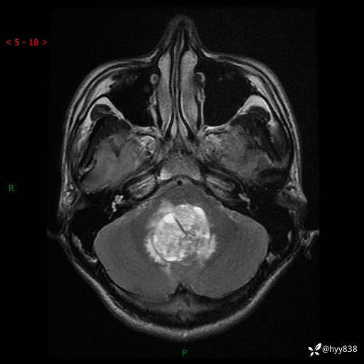
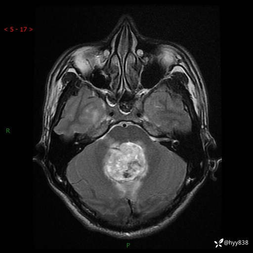
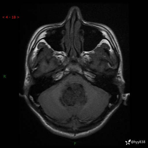
病例信息

性别:男

年龄:17岁

简要病史:头痛伴间断性呕吐1月余,外院CT提示颅脑占位

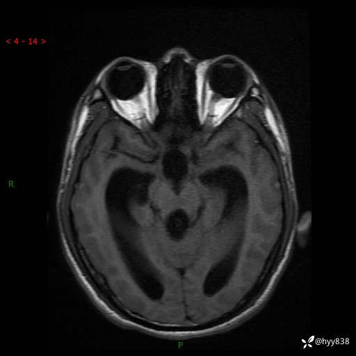
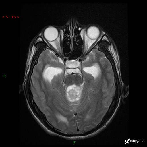
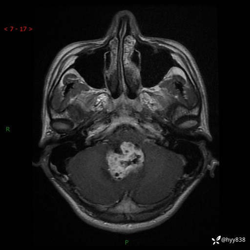
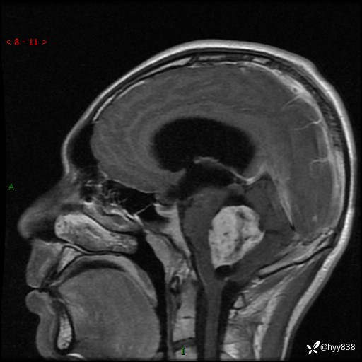
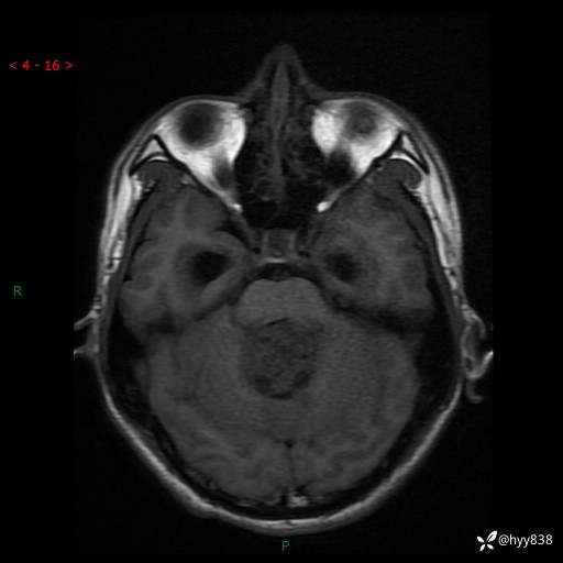
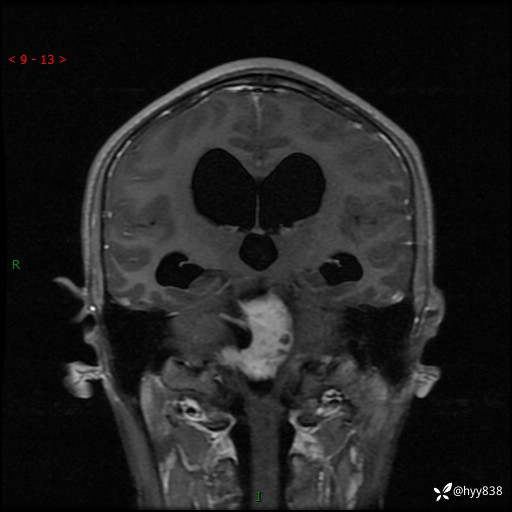
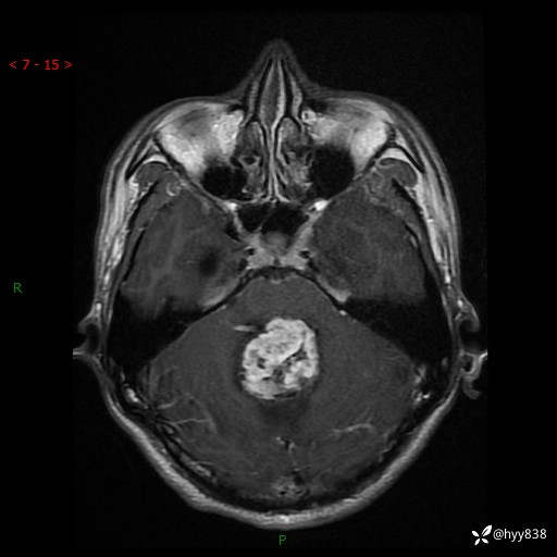
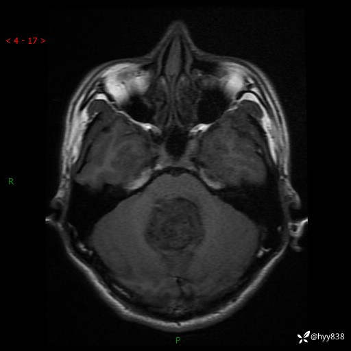
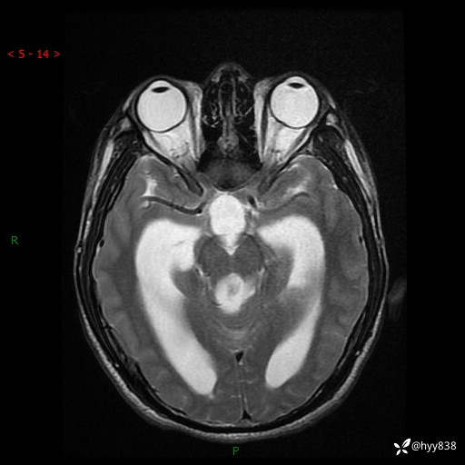
颅脑MRI平扫+增强

img
img
img
img
img
img
img
img
img
img
img
img
img
img
img
img
img
img
img
img
img
img
img
img
img
该帖还没有疾病标签去添加
27 3 14
同行评议(0)
已评议
不开通精选
开通精选
精选已授权,待上线
评议结果暂未公布
参与评议
去邀请
NaN
病例完整NaN
临床实用NaN
诊疗科学NaN
学术价值NaN

全部讨论(0)

默认最新
avatar
27
分享帖子
share-weibo分享到微博
share-weibo分享到微信
认证
返回顶部