dxy logo
首页丁香园病例库全部版块
搜索
登录

病例【神经】特别精彩病例|头痛半年,行走不稳3个月

影像核医学版版主 · 发布于 2024-11-14 · 来自 iOS · IP 江西江西
6492 浏览
icon呱呱叫了 等 3 位达人已点赞
这个帖子发布于 1 年零 10 天前,其中的信息可能已发生改变或有所发展。

病例信息

【患者信息】:男,66岁

【现病史及既往史】:头痛半年,行走不稳3个月

【检查】

查体:(-)

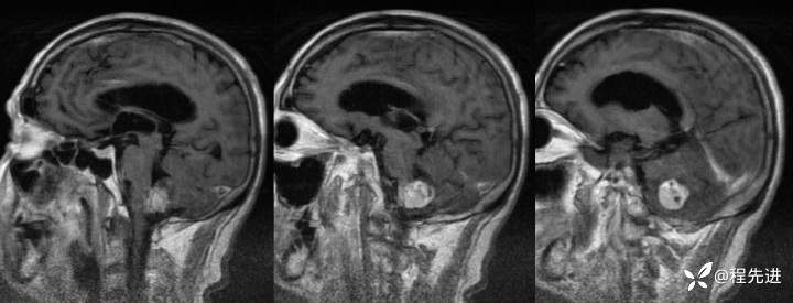
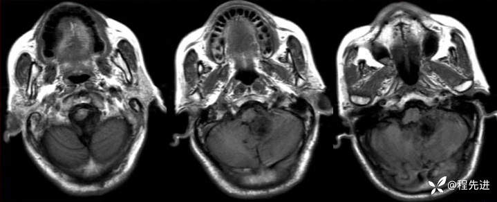
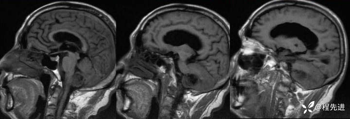
影像检查:

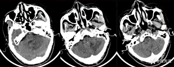
CT:

img


T1:

img


img


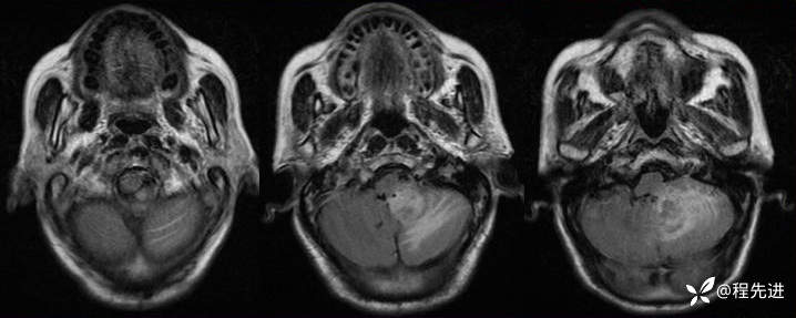
T2:

img


FLAIR:

img


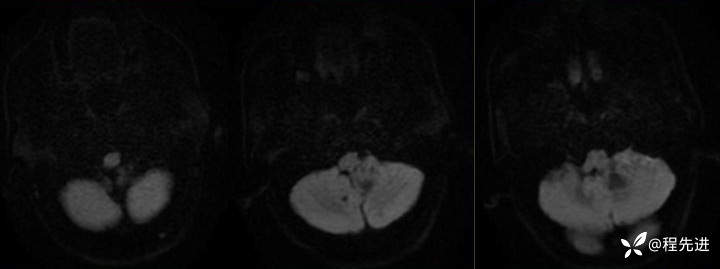
DWI:

img


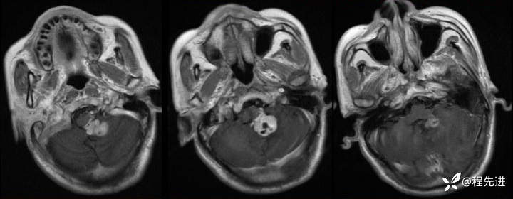
增强:

img


img
该帖还没有疾病标签去添加
22 5 31
同行评议(0)
已评议
不开通精选
开通精选
精选已授权,待上线
评议结果暂未公布
参与评议
去邀请
NaN
病例完整NaN
临床实用NaN
诊疗科学NaN
学术价值NaN

全部讨论(0)

默认最新
avatar
22
分享帖子
share-weibo分享到微博
share-weibo分享到微信
认证
返回顶部