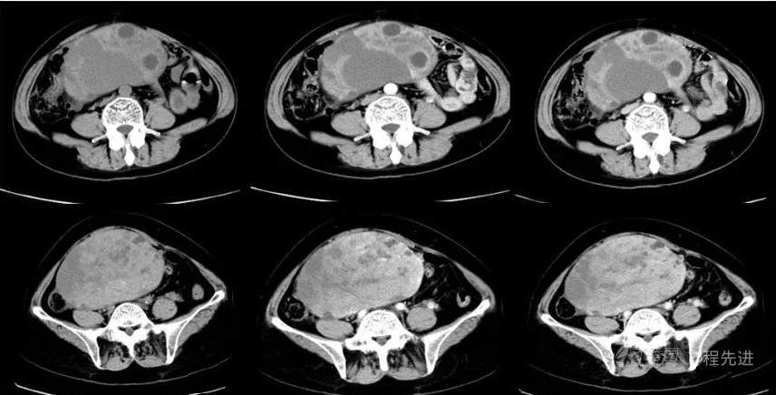
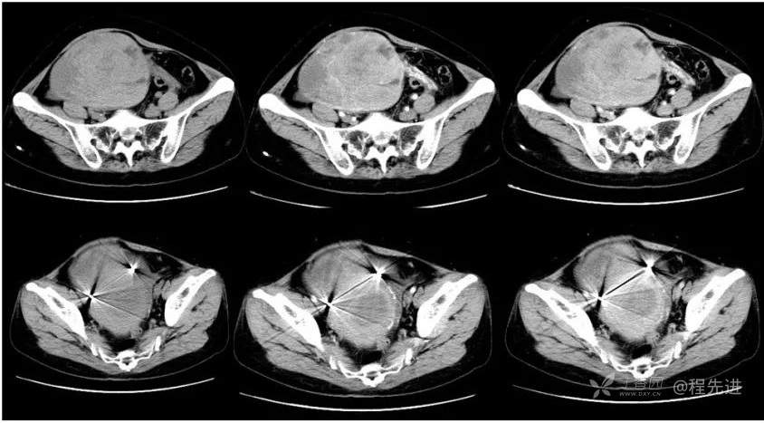
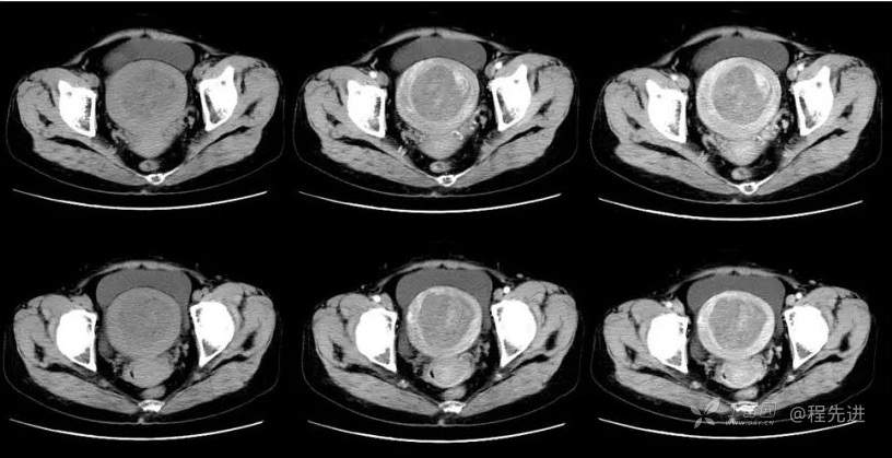
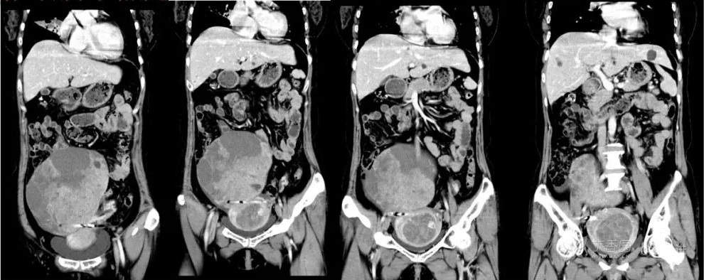
红五月特别精彩病例|B超发现中腹部混合回声肿块【病理已公布】
患者性别:女
患者年龄:55岁
简要病史:间断咳嗽咳痰1月余,加重伴发热1天
体格检查:腹部平软,下腹部可触及肿块,全腹无压痛及反跳痛
辅助检查:
B超:中腹部混合回声肿块,性质待定
肿瘤标志物:CA125 36.87u/ml; CA199 98.95u/ml; CA153AFP、HE4正常
TSH、凝血常规、乳酸脱氢酶、肾功能、D-二聚体、尿常规、大小便常规正常
血常规:白细胞4.86x109/L;血红蛋白浓度134g/L;电解质钾3.4mmol/L;肝功能:谷草转氨酶 38U/L;复查电解质大致正常



















































