红五月特别精彩病例|发现肺部病变1年余,有手术病理【病理已公布】
呱呱叫了 等 3 位达人已点赞患者性别:女
患者年龄:20岁
主诉:发现肺部病变1年余
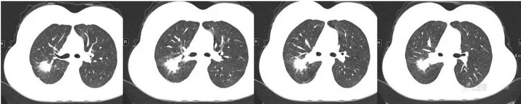
简要病史:患者体检发现右上肺不规则结节影,周围可见小结节影,右肺门及纵隔内多发肿大淋巴结影,当时患者临床无明显症状,支气管镜检考虑结核可能性大。完善T-SPOT阳性,予以诊断性抗结核治疗,肺部病灶吸收好转,9个月后在当地医生指导下停药。
又3个月后,患者停药后复查,右上肺结节较前明显增大。现为进一步诊治,遂于今日来我院就诊。
辅助检查:
血常规、凝血常规、红细胞沉降率 6mm/h、肝功能、随机血糖 549mmol/L、电解质常规、心肌酶谱、肾功能均无异常;肺炎支原体总抗体 1:80(+)。
癌胚抗原:0.72ng/ml、甲胎蛋白: 1.33ng/ml、输血前四项、抗环瓜氨酸肤抗体:17.04RU/ml、类风湿因子:<9.7u/ml、补体C3:0.803g/L、补体C4:0.182g/L、C-反应蛋白:3.14mg/L、免疫球蛋白E:39.11U/mL均无异常
诊疗过程中间,真菌培养阴性,隐球菌抗原阴性
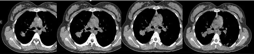
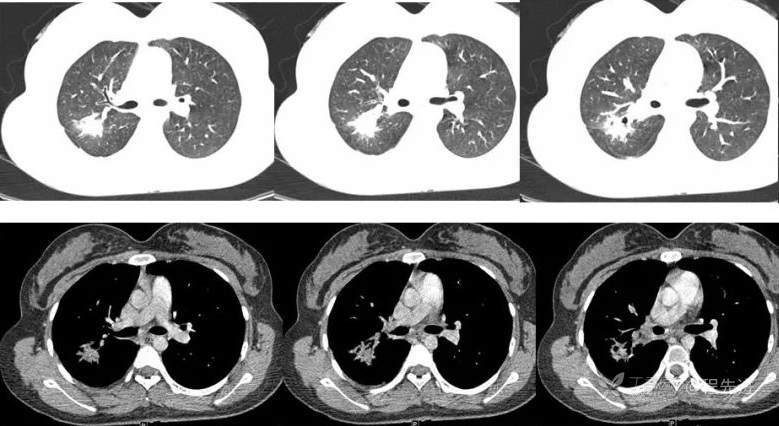
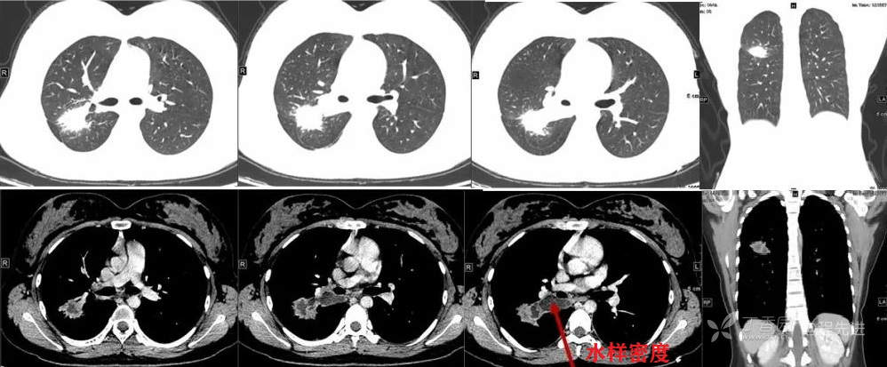
CT 平扫CT值约40HU 增强CT值约80HU




抗结核治疗后,复查

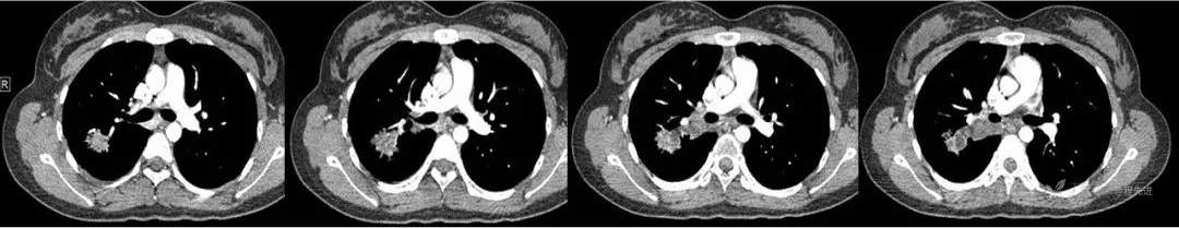
1年后术前复查
















































