红五月特别精彩病例|发现右侧耳下肿物12年,罕见典型病例,见过就可以秒【病理公布】
李梦杰huxi 达人已点赞患者性别:女
患者年龄:64岁
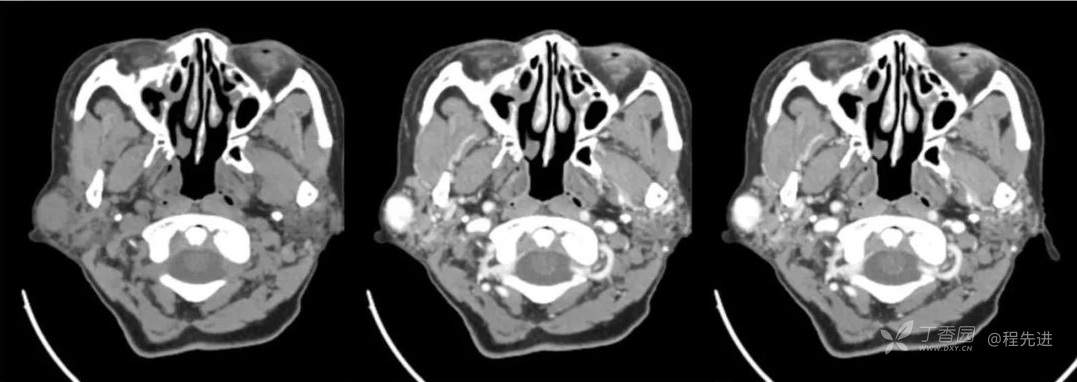
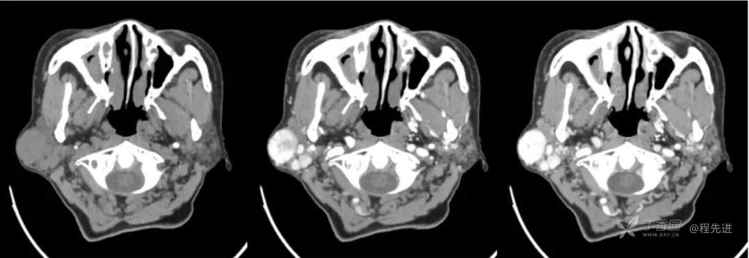
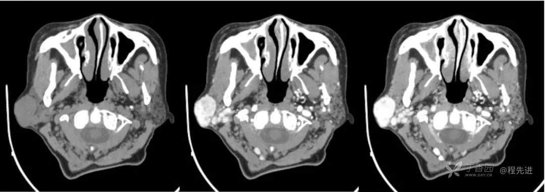
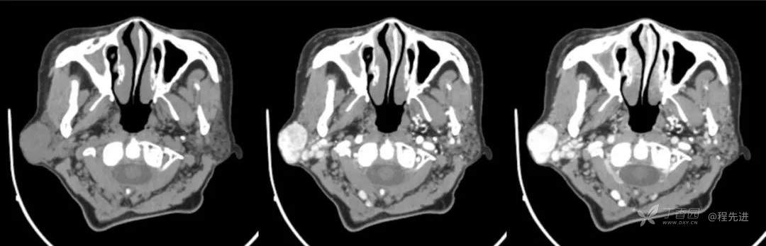
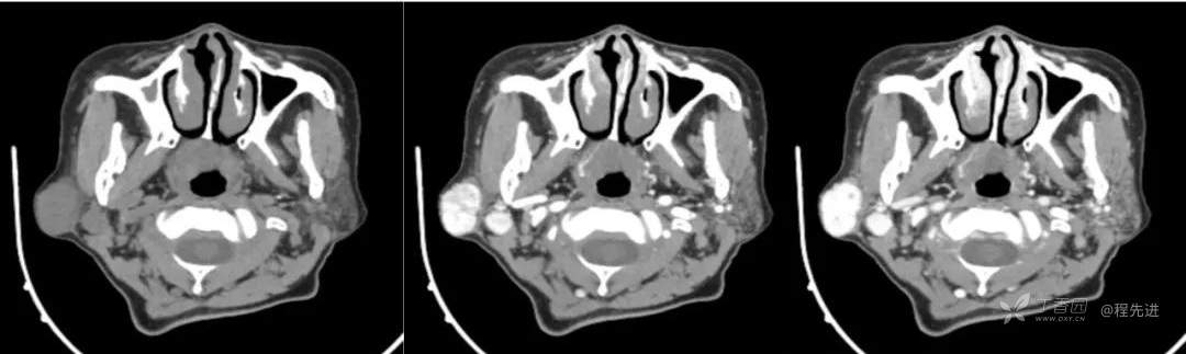
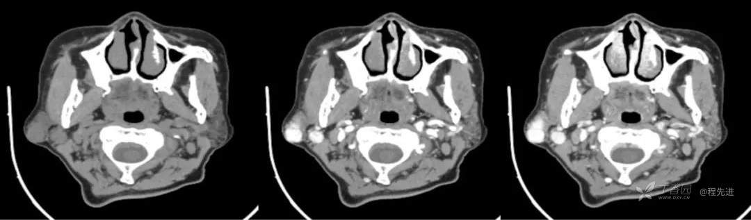
简要病史:发现右侧耳下肿物12年,不痛,缓慢生长
既往史:19年前因右侧腮腺肿物在当地医院行手术(具体不详),17年前因右侧腮腺肿物复发再次在当地医院手术(具体不详)
体格检查:右侧耳下可扪及大小约3*3cm肿物,质地中,边界清,活动可,无明显压痛。颈部未扪及明显肿大淋巴结
辅助检查:血常规、尿常规、大便常规、肝功能、肾功能、电解质、血糖及凝血功能均正常







您的诊断是?















































