红五月特别精彩病例|反复腰痛4月余,加重7天【病理已公布】
患者性别:男
患者年龄:41岁
主诉:反复腰痛4月余,加重7天
辅助检查:
外院腰椎MR:L4-S1水平椎体前方异常信号灶,性质待定,建议进一步检查
腹部CT:中下腹腔内囊性病变,建议进一步检查
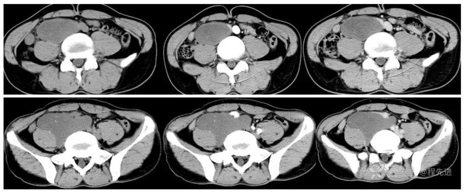
CT
从左到右依次是平扫、动脉期、静脉期

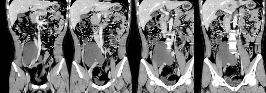
冠状位重建

MR
从左到右依次是T1、T2、DWI、ADC

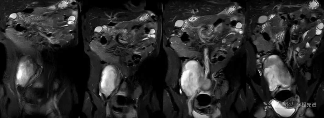
冠状位T2

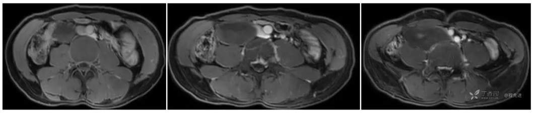
增强

增强

患者性别:男
患者年龄:41岁
主诉:反复腰痛4月余,加重7天
辅助检查:
外院腰椎MR:L4-S1水平椎体前方异常信号灶,性质待定,建议进一步检查
腹部CT:中下腹腔内囊性病变,建议进一步检查
CT
从左到右依次是平扫、动脉期、静脉期

冠状位重建

MR
从左到右依次是T1、T2、DWI、ADC

冠状位T2

增强

增强

