6月特别精彩病例|反复腰痛2年,加重并左下肢麻痛、行走受限3月【病理已公布】
呱呱叫了 等 2 位达人已点赞患者性别:女
患者年龄:64岁
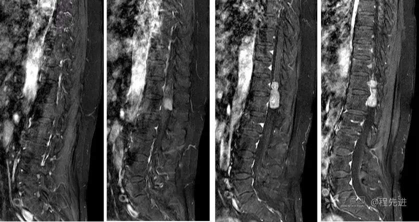
简要病史:反复腰痛2年,加重并左下肢麻痛、行走受限3月
辅助检查:
甘油三酯:2.03mmol/L 总胆固醇:6.19mmol/L
心肌酶谱:LDH、CK、CK-MB、MY升高
肿瘤标志物:未查
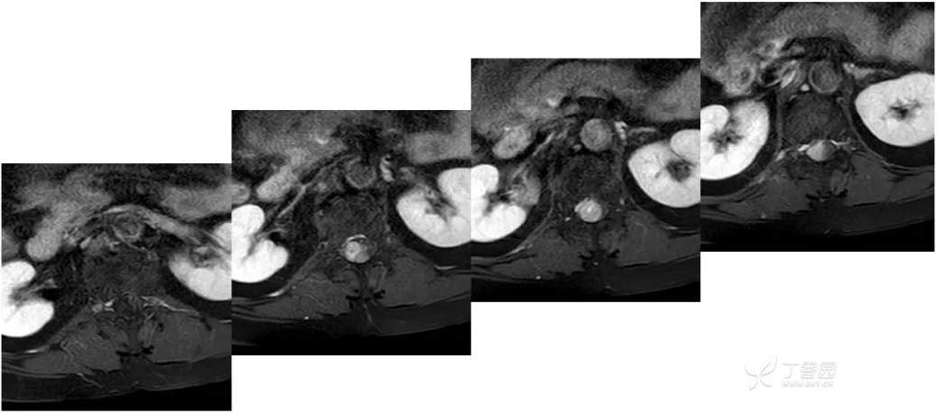
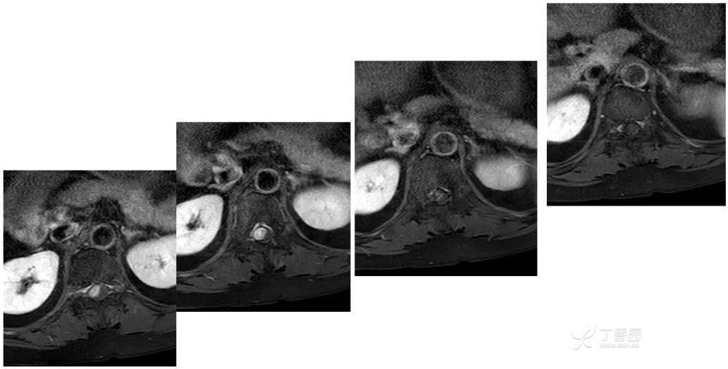
MR:






呱呱叫了 等 2 位达人已点赞患者性别:女
患者年龄:64岁
简要病史:反复腰痛2年,加重并左下肢麻痛、行走受限3月
辅助检查:
甘油三酯:2.03mmol/L 总胆固醇:6.19mmol/L
心肌酶谱:LDH、CK、CK-MB、MY升高
肿瘤标志物:未查
MR:






