dxy logo
首页丁香园病例库全部版块
搜索
登录

病例男,38岁,反复腰痛伴双腹股沟区痹痛半年,加重1月,胸椎病变,已公布结果。

影像核医学版版主 · 发布于 2024-03-28 · IP 广东广东
1186 浏览
推荐、达人点赞 2 项荣誉
这个帖子发布于 1 年零 240 天前,其中的信息可能已发生改变或有所发展。

病例信息

男,38岁,反复腰痛伴双腹股沟区痹痛半年,加重1月。

分析处理

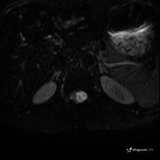
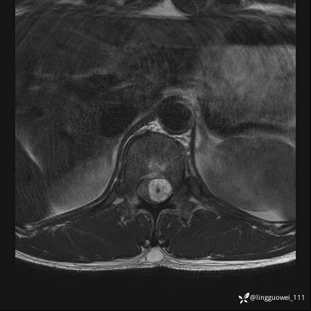
腰椎MR,注意脊髓异常信号,与伪影鉴别,一不小心就会漏诊

问题与讨论

img
img

T1WI:

img
img

T2WI T2WI+FS

img
img
img

DWI ADC

img
img

+C

img
img
img
该帖还没有疾病标签去添加
16 2 27
同行评议(0)
已评议
不开通精选
开通精选
精选已授权,待上线
评议结果暂未公布
参与评议
去邀请
NaN
病例完整NaN
临床实用NaN
诊疗科学NaN
学术价值NaN

全部讨论(0)

默认最新
avatar
16
分享帖子
share-weibo分享到微博
share-weibo分享到微信
认证
返回顶部