红五月特别精彩病例|检查发现腹腔肿块10天,肿块持续明显强化【病理已公布】
呱呱叫了 等 2 位达人已点赞患者性别:女
患者年龄:22岁
简要病史:检查发现腹腔肿块10天
体格检查:无明显异常
辅助检查:肾功能、血脂常规、空腹血糖均正常。肿瘤标志物未做。
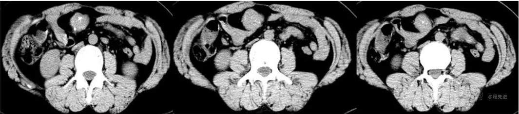
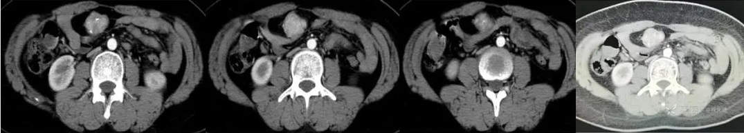
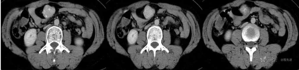
CT
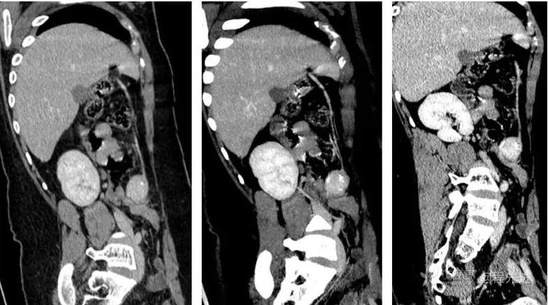
图像依次为平扫(CT值46HU),动脉期(CT值138HU),静脉期(CT值137HU),延时期(CT值96HU)斜矢状位重建





呱呱叫了 等 2 位达人已点赞患者性别:女
患者年龄:22岁
简要病史:检查发现腹腔肿块10天
体格检查:无明显异常
辅助检查:肾功能、血脂常规、空腹血糖均正常。肿瘤标志物未做。
CT
图像依次为平扫(CT值46HU),动脉期(CT值138HU),静脉期(CT值137HU),延时期(CT值96HU)斜矢状位重建





