红五月特别精彩病例|腰酸3月余,加重伴行走不能3天【病理已公布,全军覆没】
李梦杰huxi 等 3 位达人已点赞患者性别:男
患者年龄:49岁
主诉:腰酸3月余,加重伴行走不能3天
简要病史:间断腰酸3月,1月前出现性功能减退,伴右脚麻木,2周前出现下肢乏力,以左腿明显,难以抬高,3日前出现行走不能
实验室检查:脑脊液氯115.2mmol/L↓、葡萄糖4.71mmolL↑、蛋白含量383mgdL↑、潘氏试验 阳性
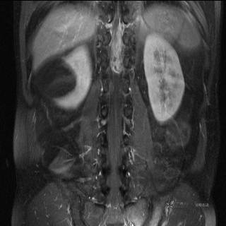
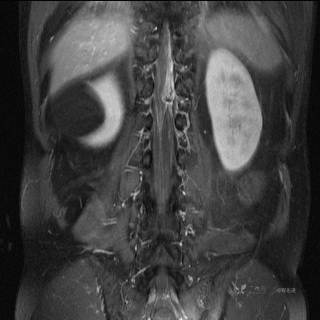
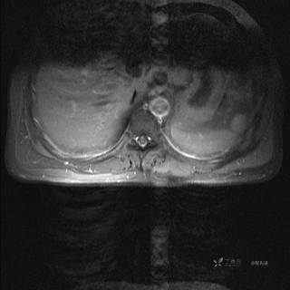
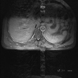
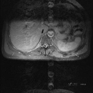
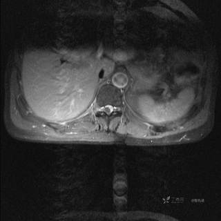
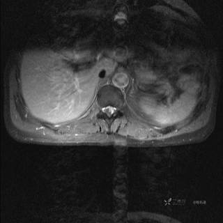
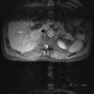
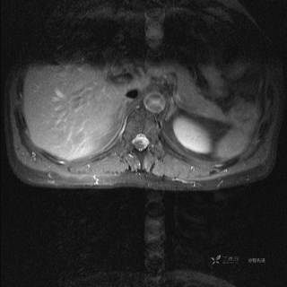
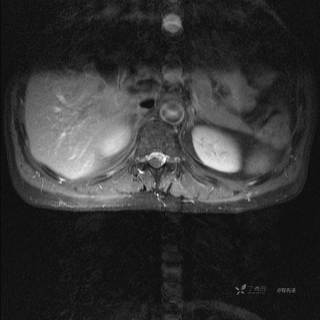
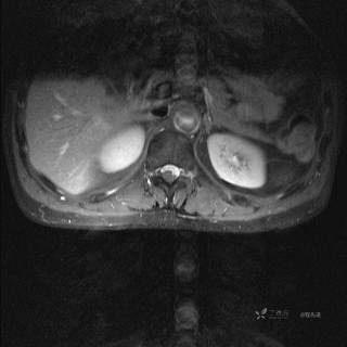
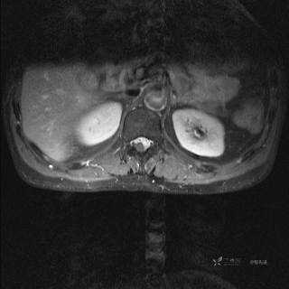
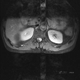
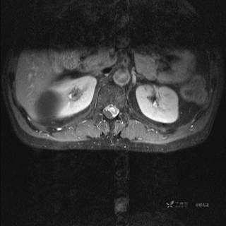
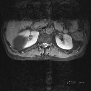
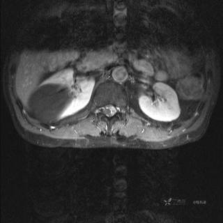
MR
T2

T2压脂

T1

T1增强

T1增强冠状位


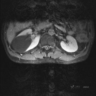
T1增强横断位















李梦杰huxi 等 3 位达人已点赞患者性别:男
患者年龄:49岁
主诉:腰酸3月余,加重伴行走不能3天
简要病史:间断腰酸3月,1月前出现性功能减退,伴右脚麻木,2周前出现下肢乏力,以左腿明显,难以抬高,3日前出现行走不能
实验室检查:脑脊液氯115.2mmol/L↓、葡萄糖4.71mmolL↑、蛋白含量383mgdL↑、潘氏试验 阳性
MR
T2

T2压脂

T1

T1增强

T1增强冠状位


T1增强横断位















