红五月特别精彩病例|胸痛3天,发现纵隔肿块1天【病理已公布】
患者性别:男
患者年龄:25岁
主诉:胸痛3天,发现纵隔肿块1天
简要病史:右侧胸痛,为持续性,无放射痛,深呼吸时疼痛加重,1天前出现发热
体格检查:体温38.2°C。余体查无特殊。
辅助检查:
1、血常规:白细胞 10.05X109/L;中性粒细胞绝值 836X10^9/L;中性粒细胞百分数83.20%
2、乳酸脱氢酶(LDH) 611U/L;非小细胞肺癌相关抗原 (CF211)10.8ng/ml,神经元特异性烯醇化酶38.26ng/ml;癌胚抗原、鳞状细胞癌抗原、阴性
3、胸部B超:双侧胸腔积液、胸膜增厚
4、全身骨显像未见明显异常
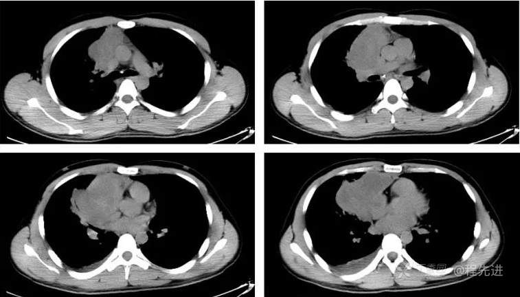
CT平扫

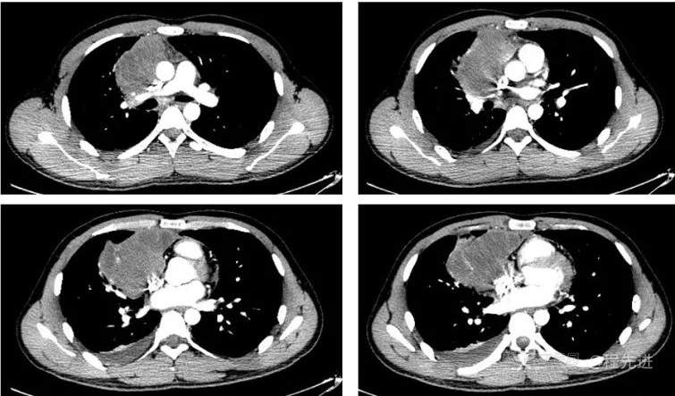
CT增强

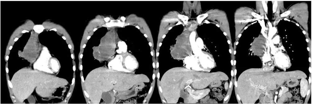
CT增强冠状位
















































