红五月特别精彩病例|持续性右中下腹部疼痛3天【病理已公布】
呱呱叫了 等 3 位达人已点赞患者性别:男
患者年龄:58岁
简要病史:3天前无明显诱因出现持续性右中下腹部疼痛,呈阵发性加剧,疼痛难忍,无明显发热、呕吐、腹胀、腹泻等不适
体格检查:体温 38.7°C,右下腹局部腹肌紧张,右下腹部压痛,反跳痛,余体查无异常
辅助检查:
血常规:白细胞 11.55X109/L;中性粒细胞绝对值9.56X10^9/L(82%),余无异常
尿常规:蛋白质+1
肝功能常规检查:总胆红素25.20umol/L;间接胆红20.70umol/L。>血糖、血脂、肾功能、心肌酶谱常规、血淀粉酶、电解质、血清脂肪酶阴性。
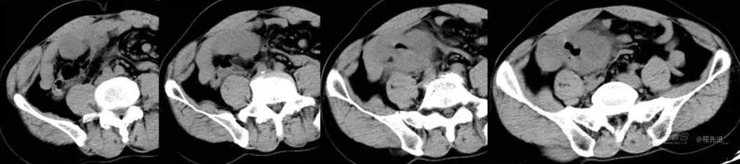
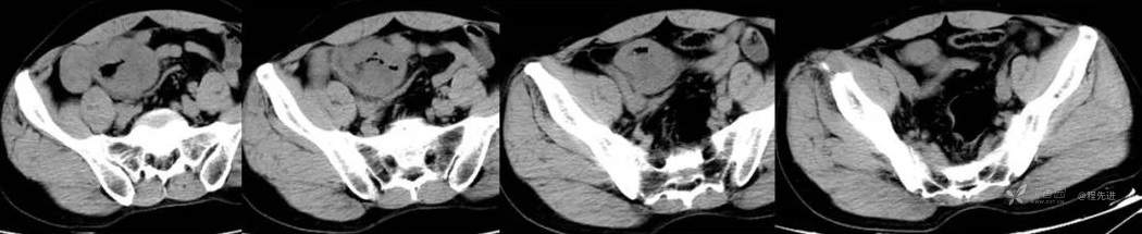
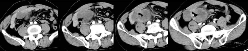
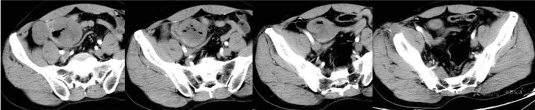
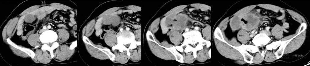
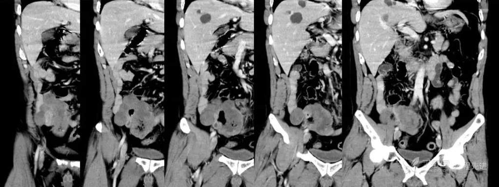
CT平扫


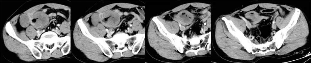
动脉期


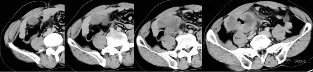
门静脉期


延迟期


冠状位
















































