红五月特别精彩病例|胸部不适CT检查发现肝门区占位【病理已公布】
患者性别:男
患者年龄:82岁
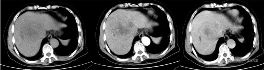
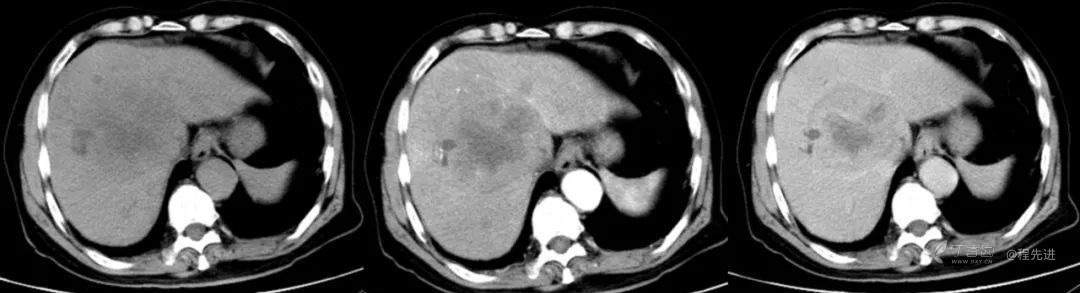
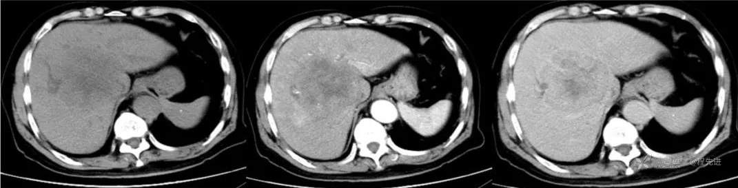
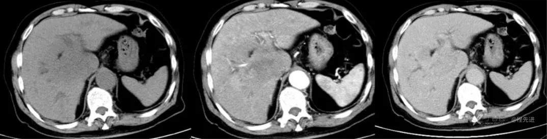
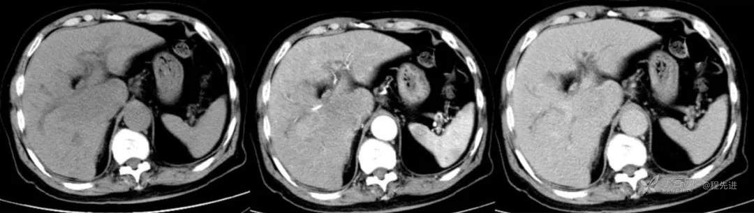
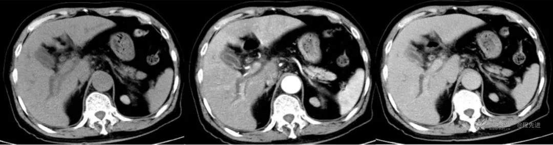
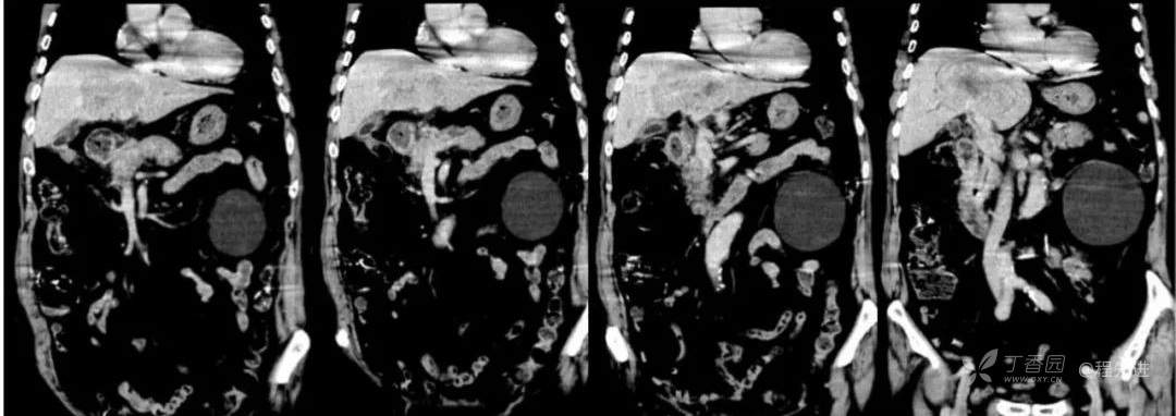
简要病史:因胸部不适入院,胸部CT示:肺部感染性病变;腹部CT示:肝门区占位性病变
既往史:有乙型肝炎病毒感染病史,未接受系统治疗
辅助检查:白细胞12.33×10^9/L 谷丙转氨酶 70u/L 谷草转氨酶90u/L







患者性别:男
患者年龄:82岁
简要病史:因胸部不适入院,胸部CT示:肺部感染性病变;腹部CT示:肝门区占位性病变
既往史:有乙型肝炎病毒感染病史,未接受系统治疗
辅助检查:白细胞12.33×10^9/L 谷丙转氨酶 70u/L 谷草转氨酶90u/L







