老年女性,肺部病变4年,随诊增大10余天。等你慧眼来诊---结果公布~
患者性别:女
患者年龄:71岁
主诉:发现肺部病变4年,随诊增大10余天
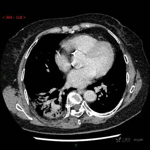
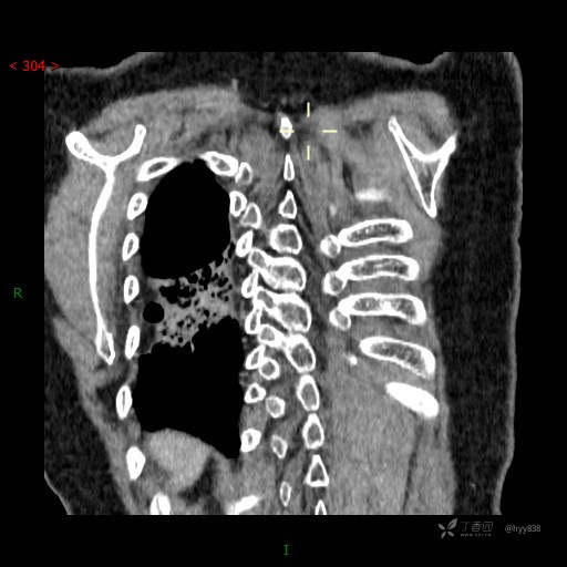
简要病史:患者4年前因“胸闷、气短”于当地人民医院住院,行胸部CT检查提示右下肺感染性病变可能,进一步行气管镜及抗感染治疗未见明显改变,后未定期复诊。10余天前因“腰痛”再次住院治疗,复查胸部CT提示肺部病变较前明显增大,并伴活动后胸闷、气短,无明显咳嗽、咳痰,无心慌、胸痛,无痰中带血及咯血,无畏寒发热,进一步查全身PET-CT提示肺部慢性感染性病变,但进一步查肺癌标提示CEA明显升高,为求进一步诊治于我院就诊,门诊以“肺部占位性病变”收住入院。 患者自起病来精神、饮食、睡眠尚可,体力下降,体重无明显变化。
体格检查:(-)
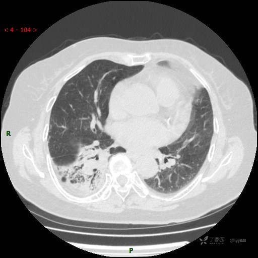
辅助检查:CT
临床诊断:可疑肺部占位
治疗经过:biopsy
讨论:病变性质?
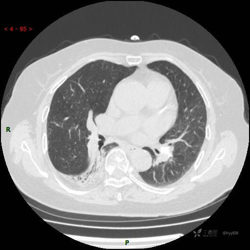
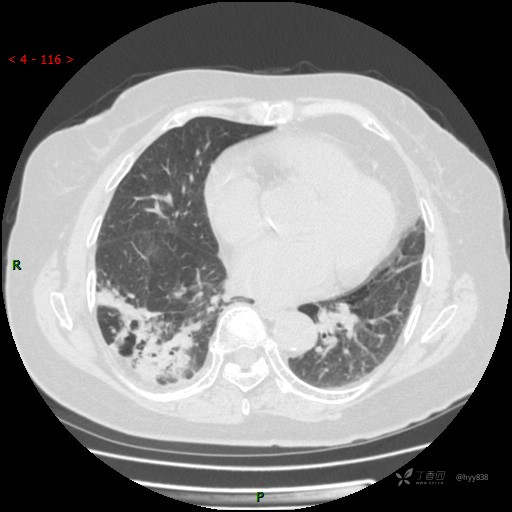
胸部CT平扫












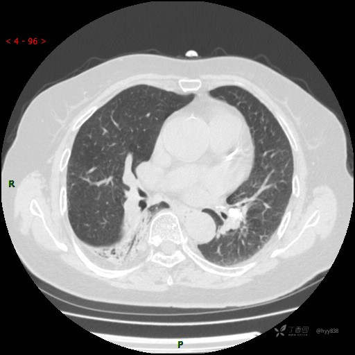
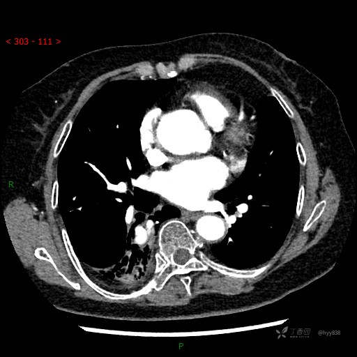
增强动脉期



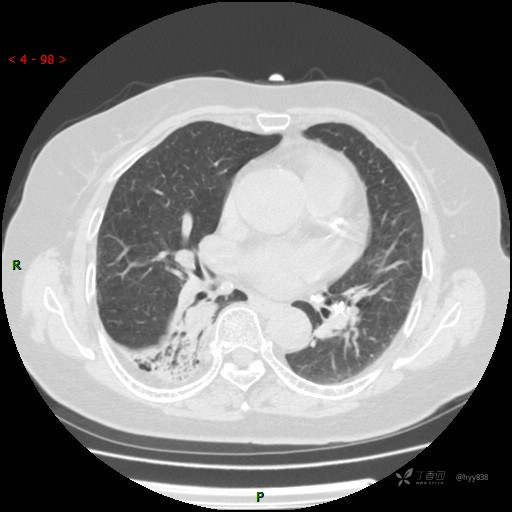
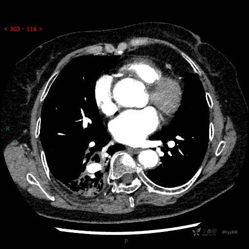
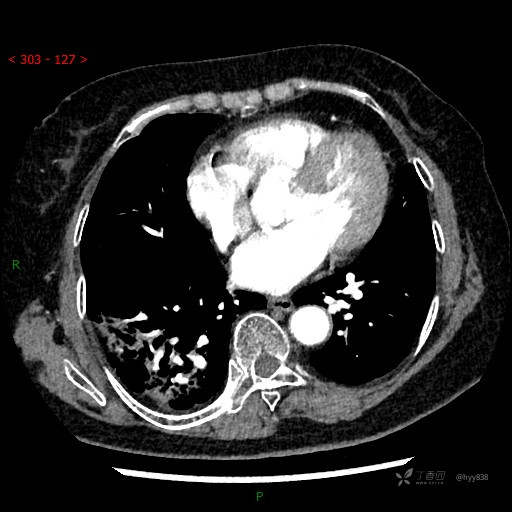
静脉期




















































