dxy logo
首页丁香园病例库全部版块
搜索
登录

病例【腹盆】特别精彩病例|下腹部不适2月,B超发现盆腔囊性包块

影像核医学版版主 · 发布于 2024-11-02 · IP 江西江西
8078 浏览
推荐、达人点赞 2 项荣誉
这个帖子发布于 1 年零 22 天前,其中的信息可能已发生改变或有所发展。

病例信息

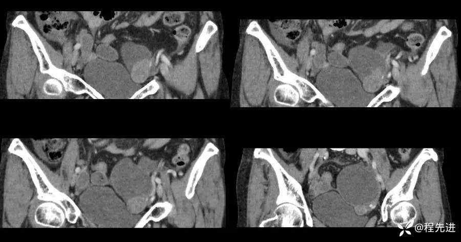
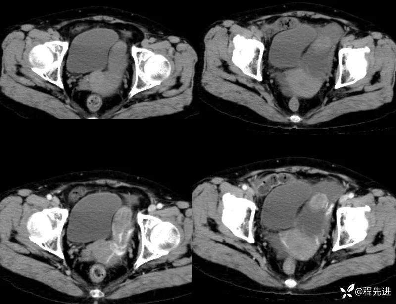
【患者信息】:女,59岁

【主诉】:下腹部不适2月,B超发现盆腔囊性包块。

【检查】

实验室检查:CA125:239.1u/ml,CA72-4:99.64u/ml

影像检查:

img
img
img
盆腔囊肿 (6)
纠错
23 3 23
同行评议(0)
已评议
不开通精选
开通精选
精选已授权,待上线
评议结果暂未公布
参与评议
去邀请
NaN
病例完整NaN
临床实用NaN
诊疗科学NaN
学术价值NaN

全部讨论(0)

默认最新
avatar
23
分享帖子
share-weibo分享到微博
share-weibo分享到微信
认证
返回顶部