中老年女性,发现腹部肿块半月余。上皮来源明确,可否进一步挑战---结果公布~
患者性别:女
患者年龄:51岁
主诉:发现腹部肿块半月余
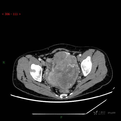
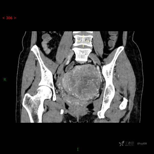
简要病史:患者平素月经规则,7/30天,月经量正常,无痛经史。闭经2年。半月前平躺时可触及腹部肿块,小便擦拭时些许出血。后就诊于当地医院行彩超示:盆腔偏左侧见一大小为153*92*111mm的稍高回声区,边界清,形态欠规则,内回声不均。建议行手术治疗,患者拒绝,现患者无腹痛及阴道出血等不适,为求进一步诊治,以“盆腔包块”收住我科。 起病以来,患者精神,食欲,睡眠正常,大小便正常,体力体重无异常改变。
实验室检查:

体格检查:(-)
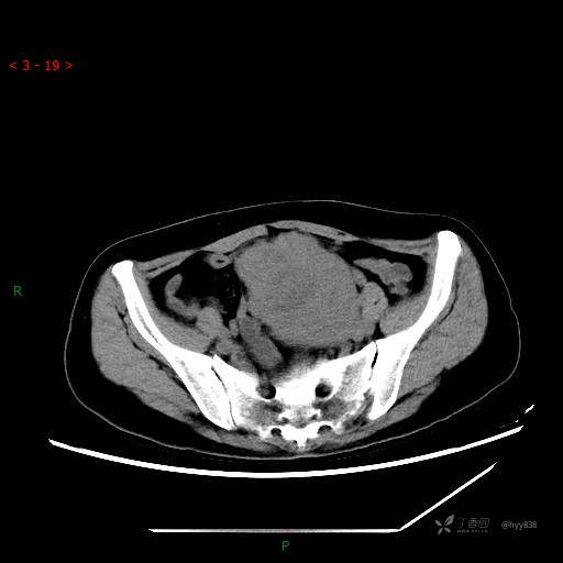
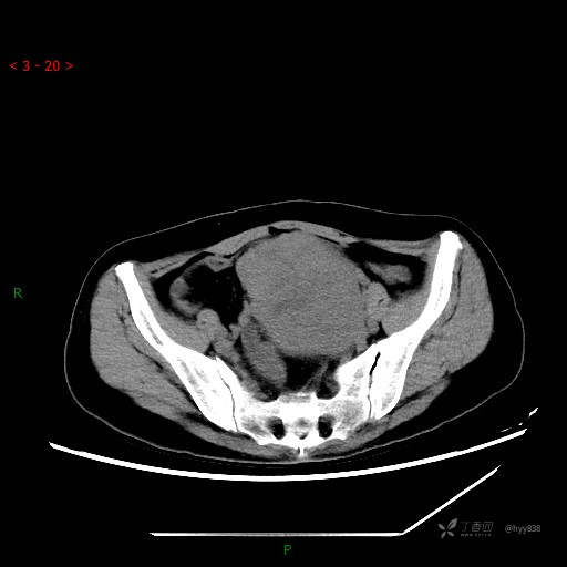
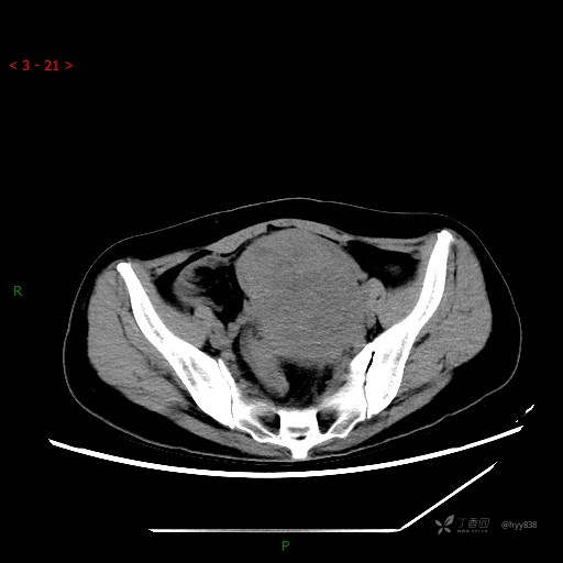
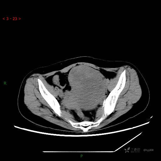
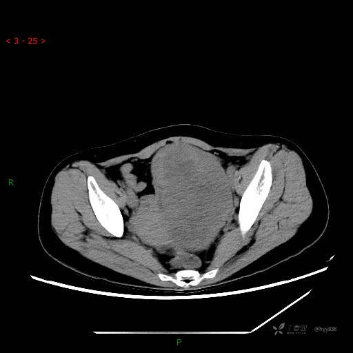
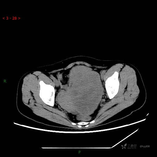
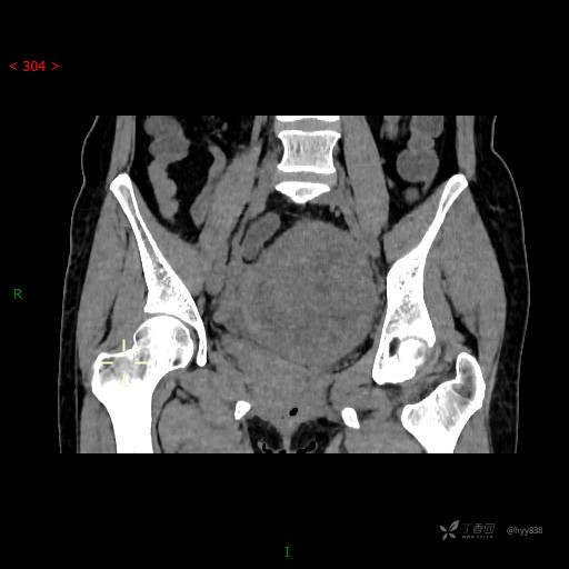
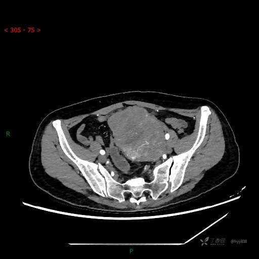
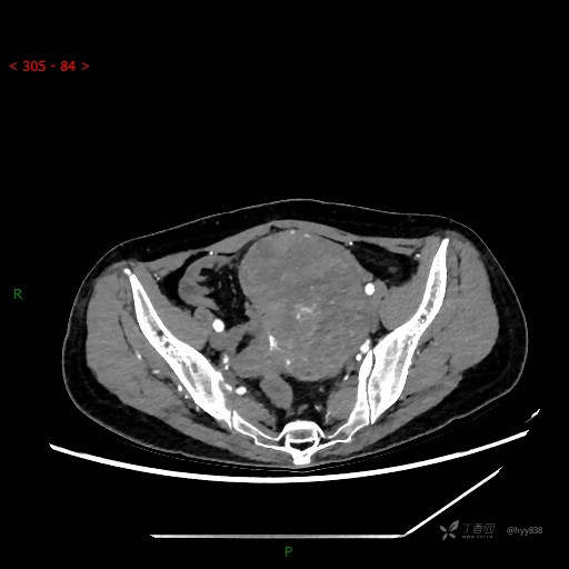
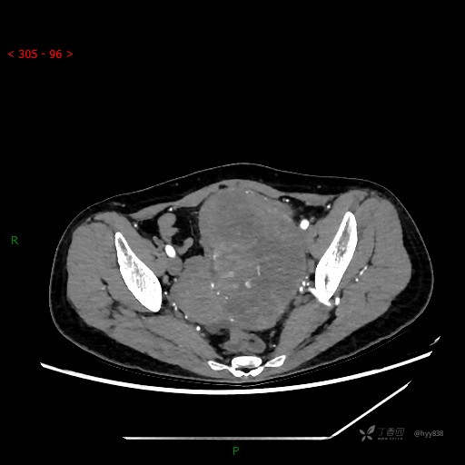
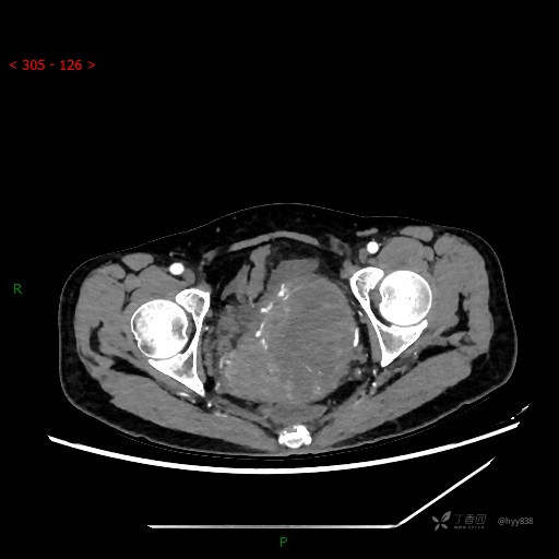
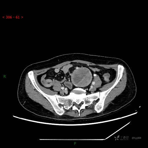
辅助检查:CT
临床诊断:盆腔包块
治疗经过:手术
讨论:病变性质?
盆腔CT平扫












增强动脉期






静脉期























































