12月特别精彩病例|因体检发现腹部肿块2月入院,有病理【病理已公布】
李梦杰huxi 等 2 位达人已点赞患者性别:女
患者年龄:45岁
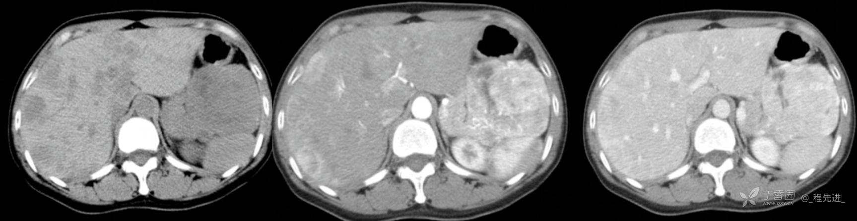
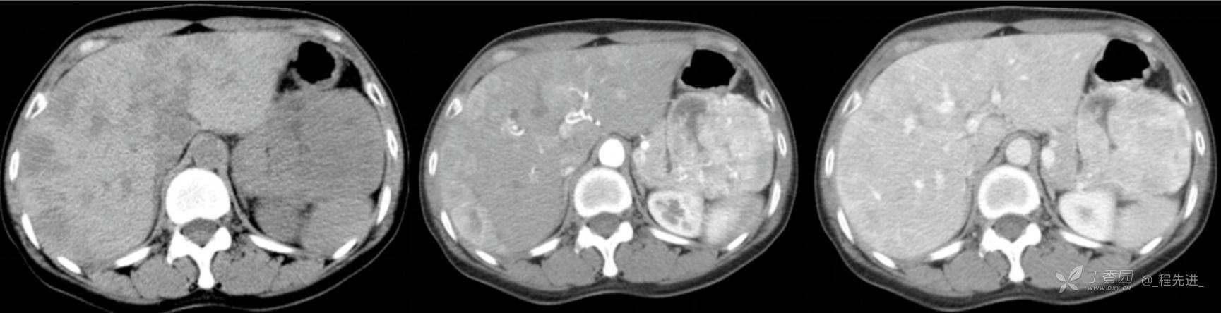
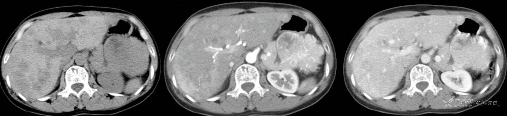
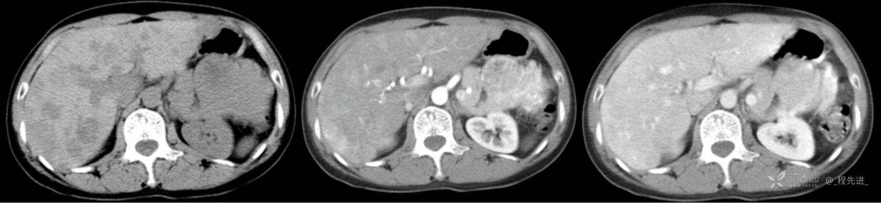
简要病史:因体检发现腹部肿块2月入院
辅助检查:
CA199
甲胎蛋白、癌胚抗原、CA125、肝肾功能、血常规均正常
胃镜:胃体: 花斑样充血,上段前壁见一约20mm大小粘膜隆起,表面光滑。上段后壁与胃底交界处见一约50mm大小粘膜降起,表面光滑。胃角:弧形,光滑,胃窦:蠕动好,粘膜花斑样充血,未见溃疡肿物,诊断结论:1.胃体多发性粘膜隆起待查(粘膜下病变?腔外病变压迹?其它?)。2 慢性浅表性胃炎
全身骨显像未见明显异常征象
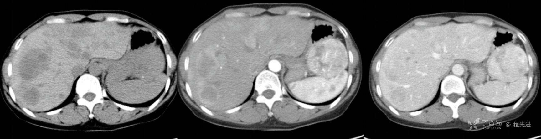
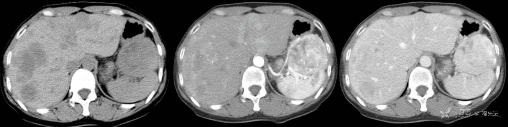
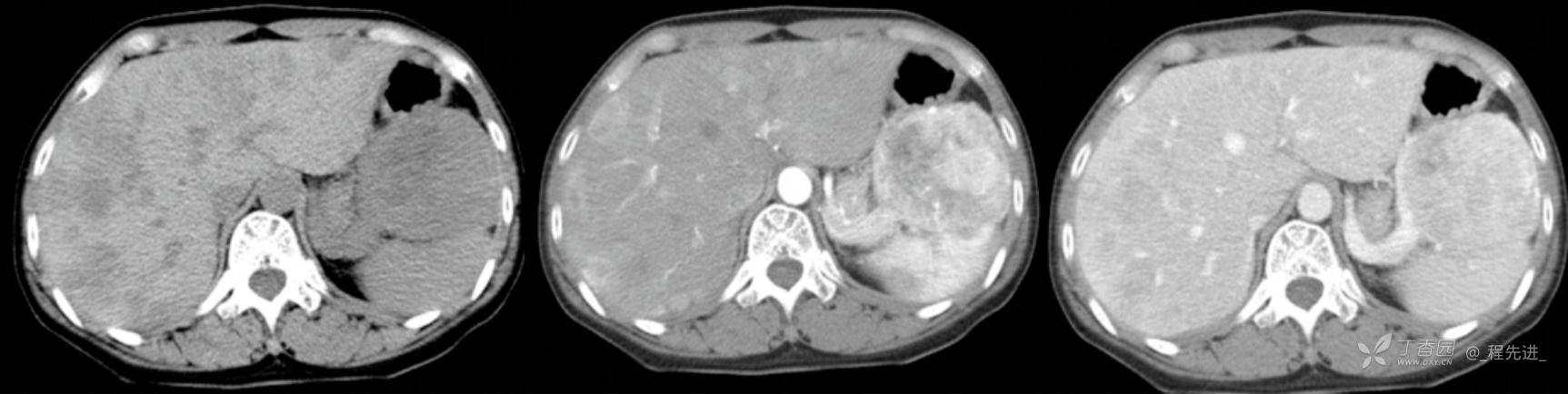
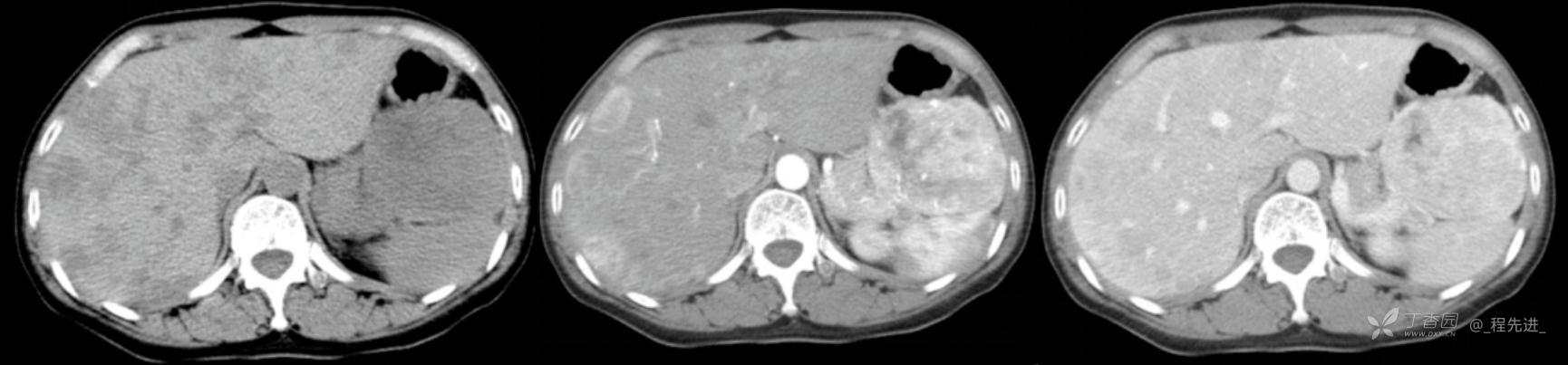
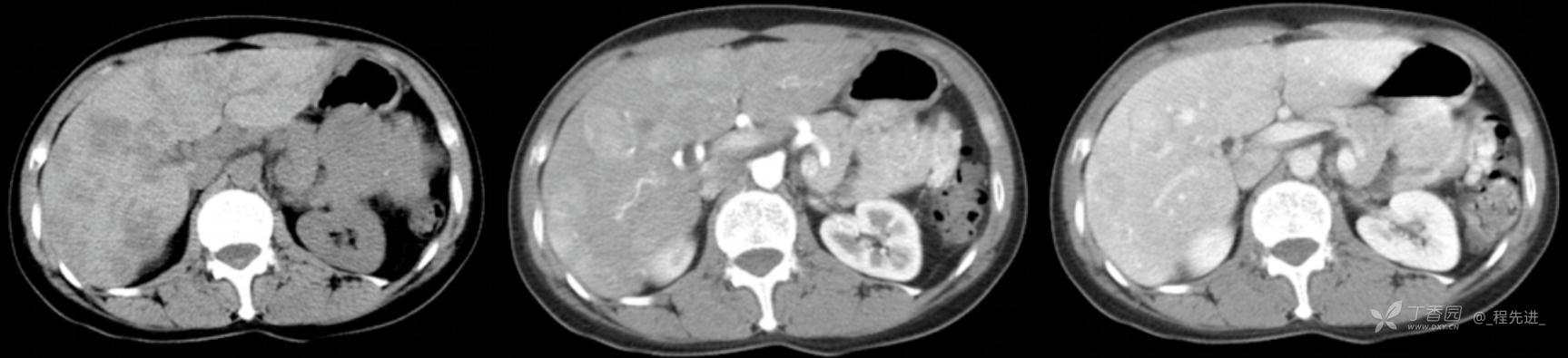
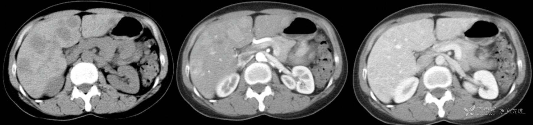
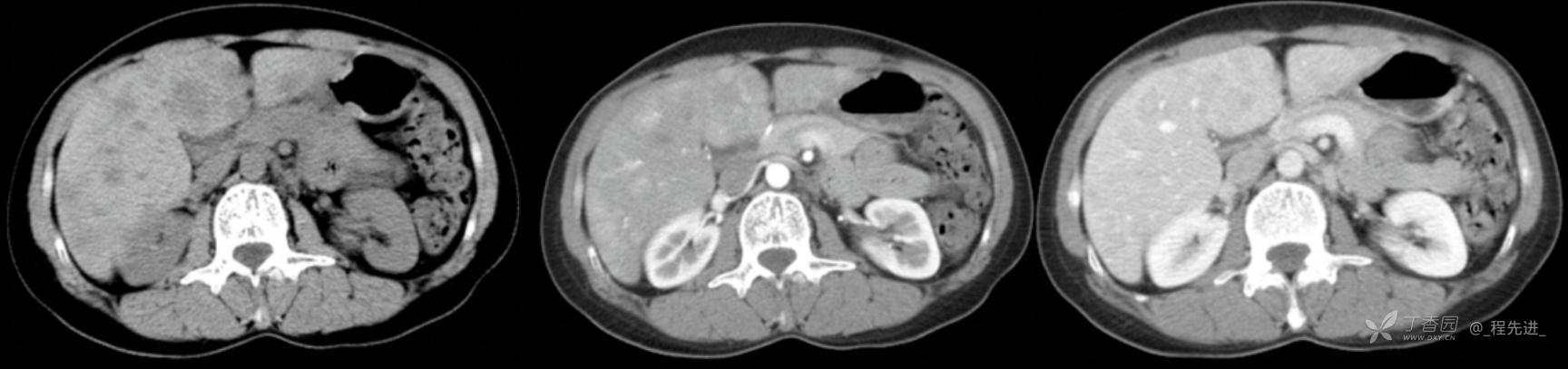
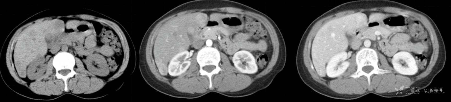
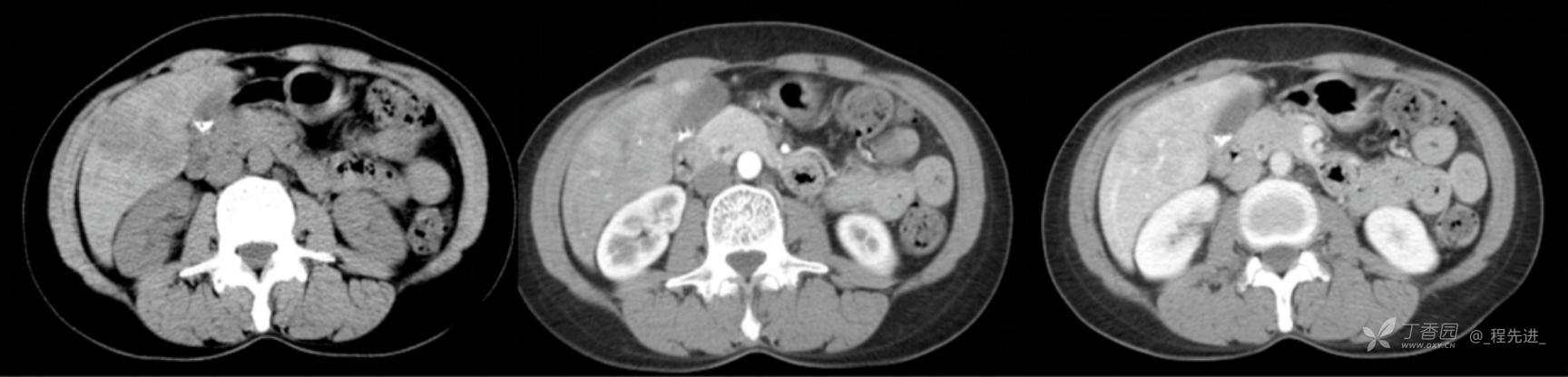
图像左边为平扫,中间的是动脉期,右边的是静脉期




























































