dxy logo
首页丁香园病例库全部版块
搜索
登录

6月特别精彩病例|中老年女性,体检发现左肺下叶肿块,期待你的精彩演绎【病理公布】

影像核医学版版主 · 发布于 2023-06-07 · IP 江西江西
2019 浏览
丁香风云榜、推荐 等 3 项荣誉
这个帖子发布于 2 年零 171 天前,其中的信息可能已发生改变或有所发展。

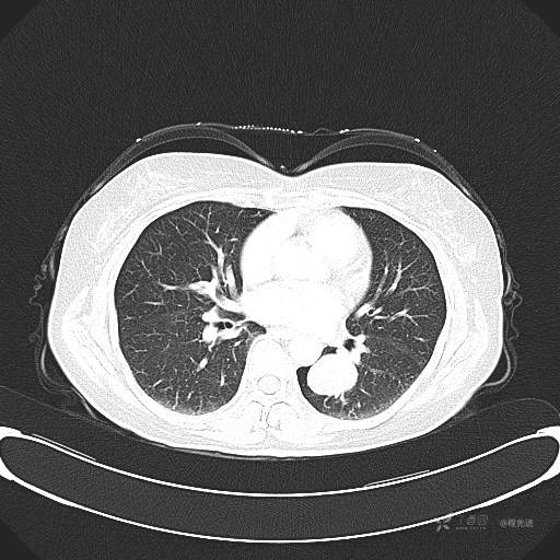
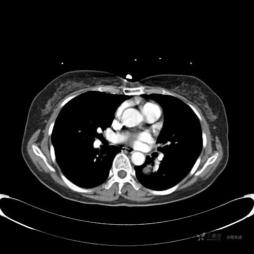
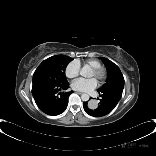
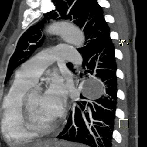
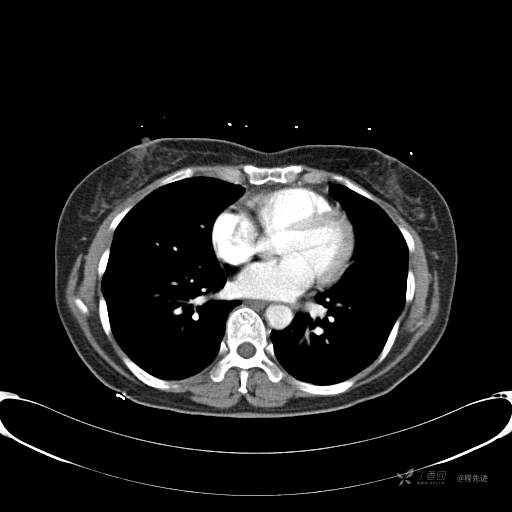
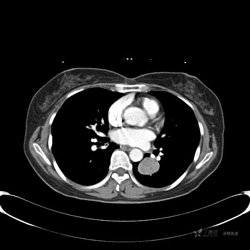
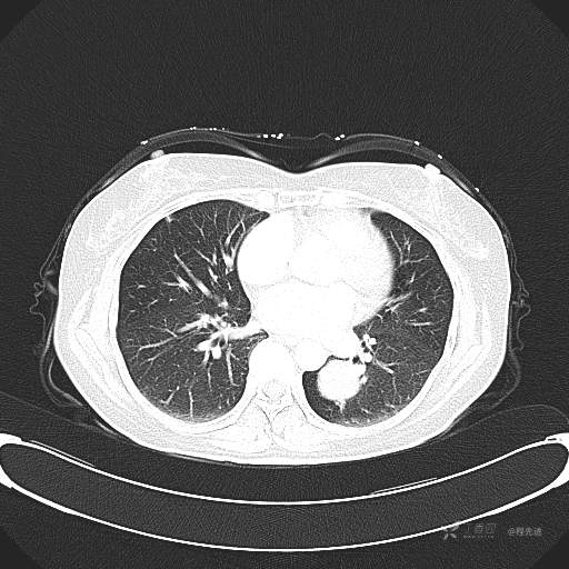
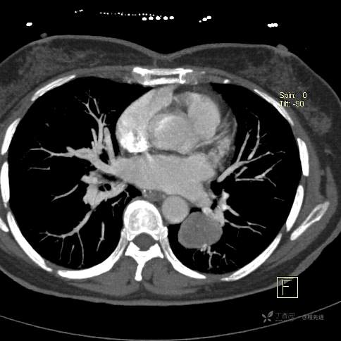
患者性别:女

患者年龄:57岁

简要病史:体检发现

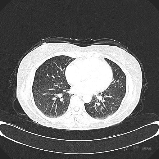
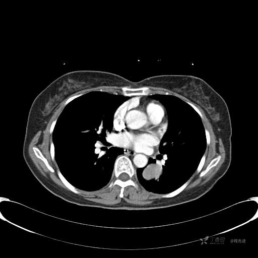
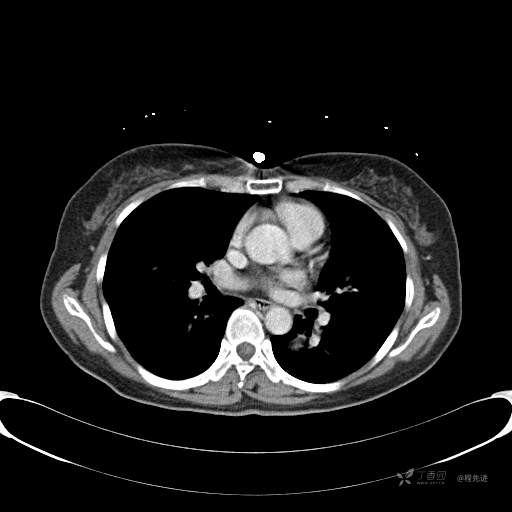
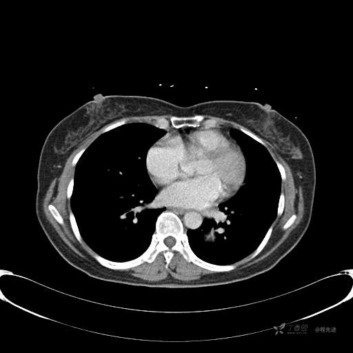
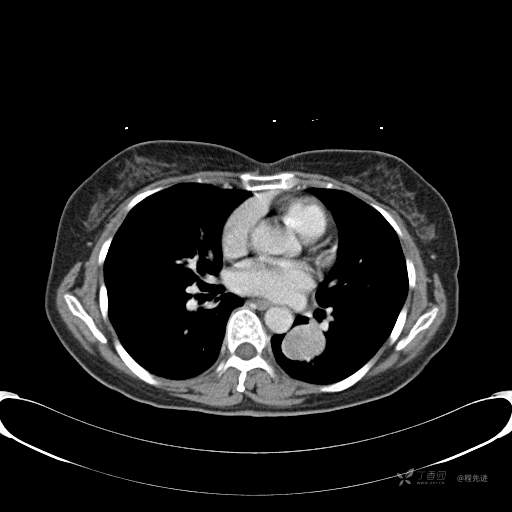
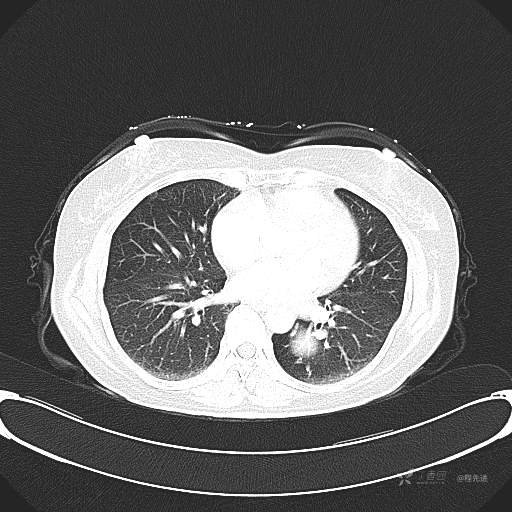
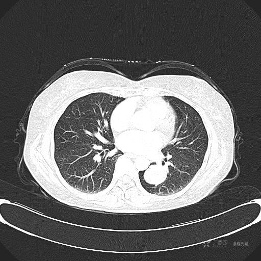
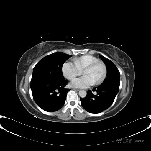
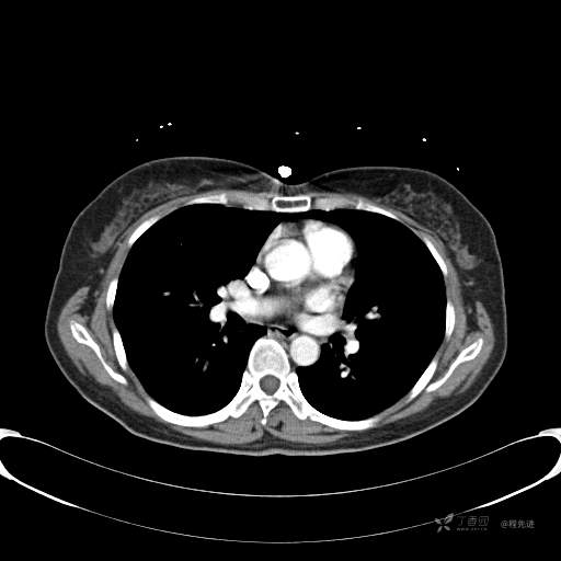
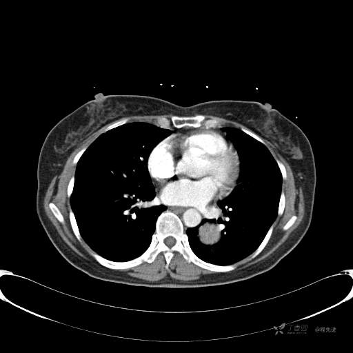
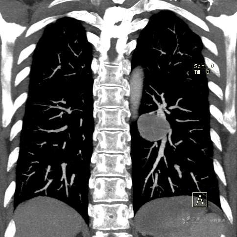
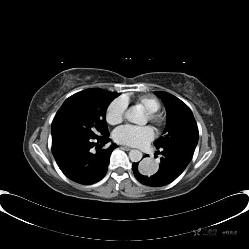
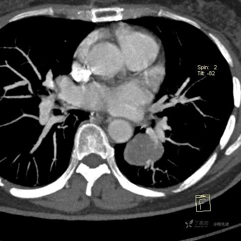
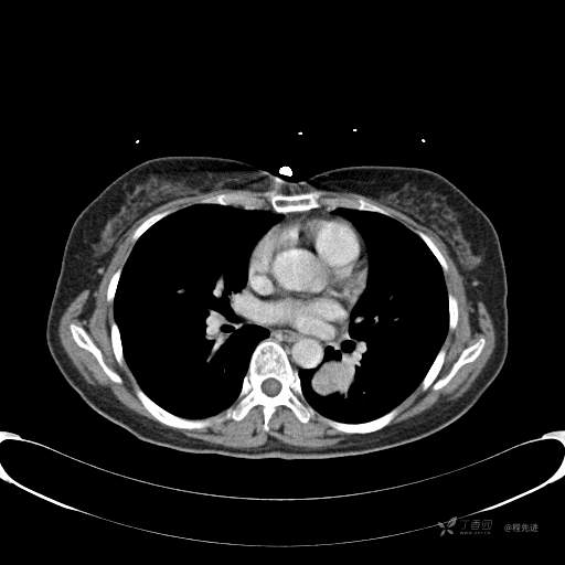
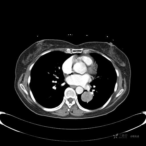
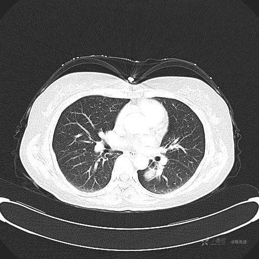
CT增强

平扫CT值约40HU(未上传图像),增强后动脉期CT值约70HU,静脉期CT值约97HU。

img
img
img
img
img
img
img
img
img
img
img
img
img
img
img
img
img
img
img
img
img
img
img
img
img
肺硬化性血管瘤 (20)
纠错
59 12 15
同行评议(0)
已评议
不开通精选
开通精选
精选已授权,待上线
评议结果暂未公布
参与评议
去邀请
NaN
病例完整NaN
临床实用NaN
诊疗科学NaN
学术价值NaN

全部讨论(0)

默认最新
avatar
59
分享帖子
share-weibo分享到微博
share-weibo分享到微信
认证
返回顶部