中老年女性,体检发现肺结节1年余。初看像炎症,就是不吸收---结果公布~
华夏览雄 达人已点赞病例信息
性别:女
年龄:50岁
主诉:体检发现肺结节1年余
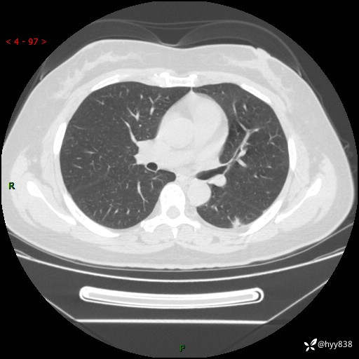
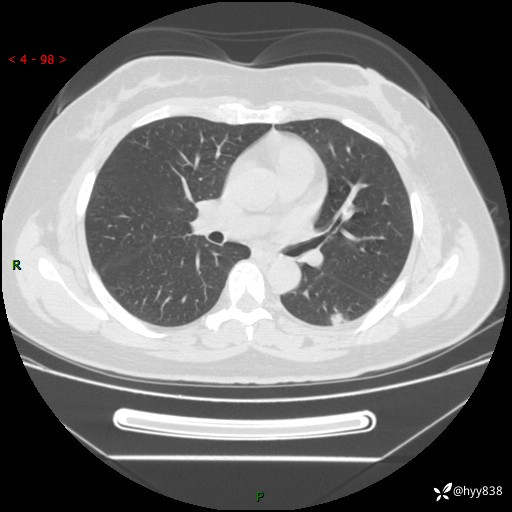
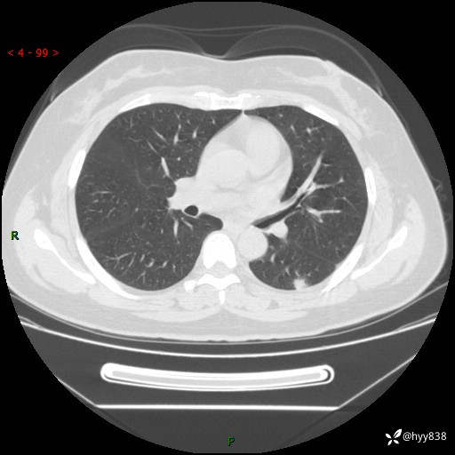
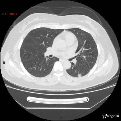
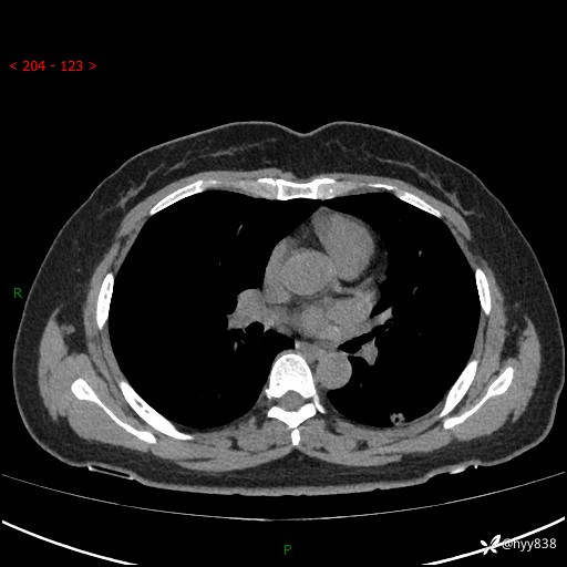
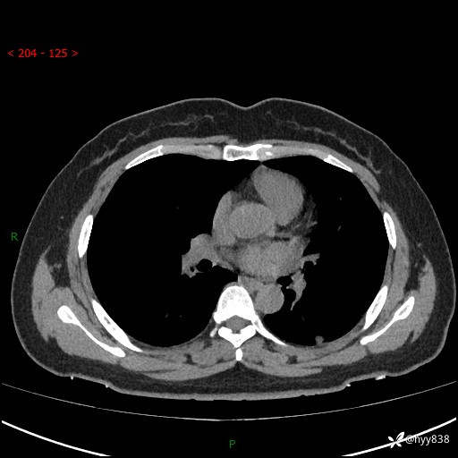
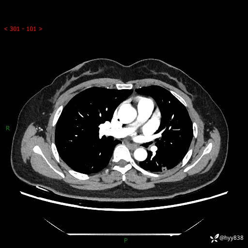
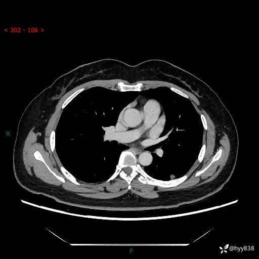
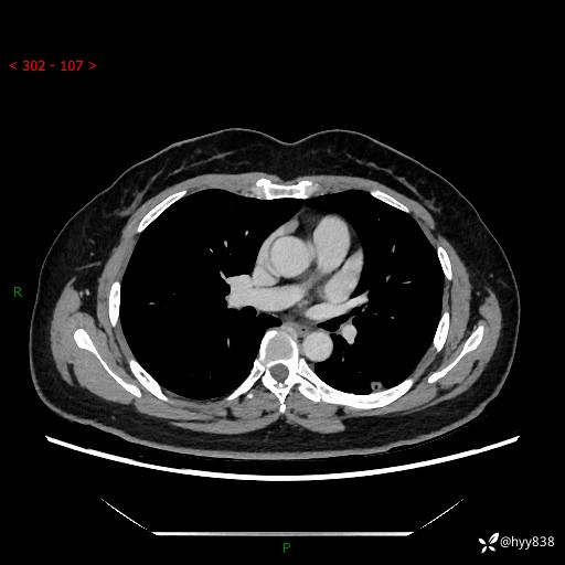
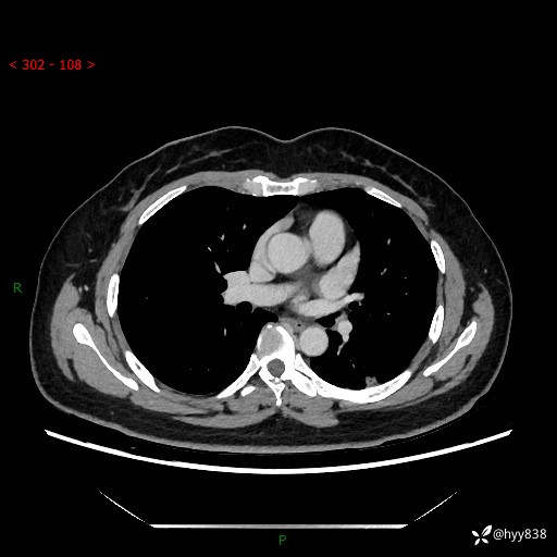
现病史:患者1年前因“咳嗽”就诊于我院门诊,查胸部CT提示:左肺结节,建议患者3月后复查,患者遂于2023-07-28再次于我院门诊查胸部CT,提示同前,建议患者1年后复查,现患者为求复查,再次来院,查胸部CT示:左下肺部分实性结节,较前(2023.7.28)体积稍大,现患者偶有咳嗽、咳痰,多为白痰,3天前患者出现痰中带血,为鲜血,2天前停止咯血,现患者为求进一步诊治,就诊于我院门诊,现以“孤立性肺结节”收住我科。 起病来,患者精神、食欲、睡眠尚可,体力、体重无明显变化。
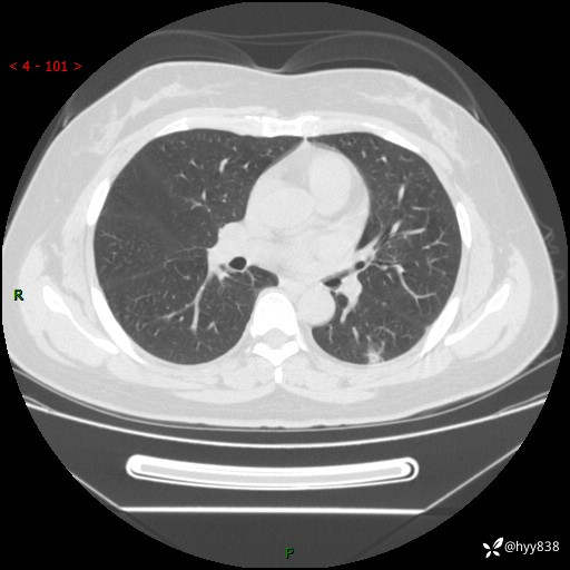
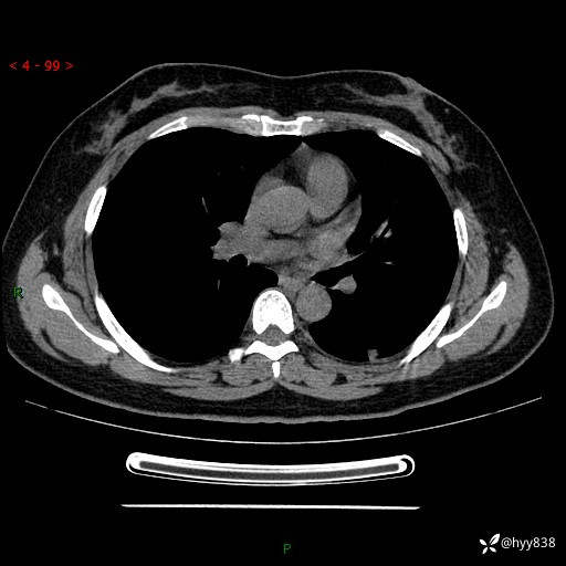
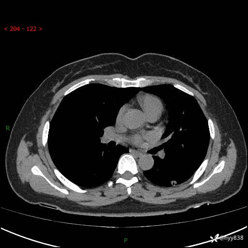
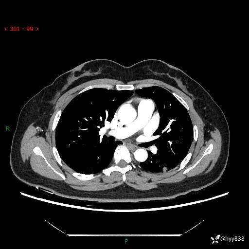
胸部CT平扫(2023.3)






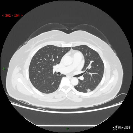
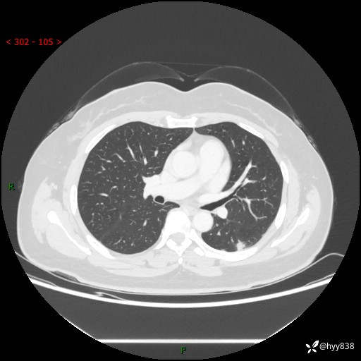
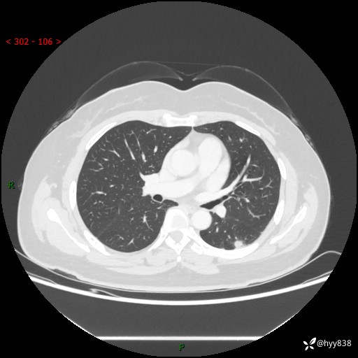
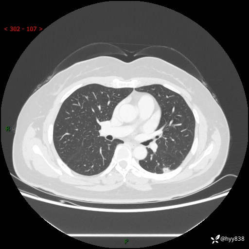
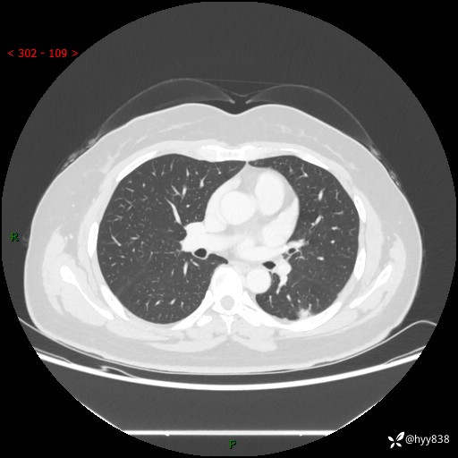
胸部CT复查+增强(2024.6)































































