经典病例分享,四个10%肿瘤,可秒---结果公布~
胡志勇HZY 等 2 位达人已点赞患者性别:女
患者年龄:25岁
主诉:心悸1年以上,胸闷、气促1月余
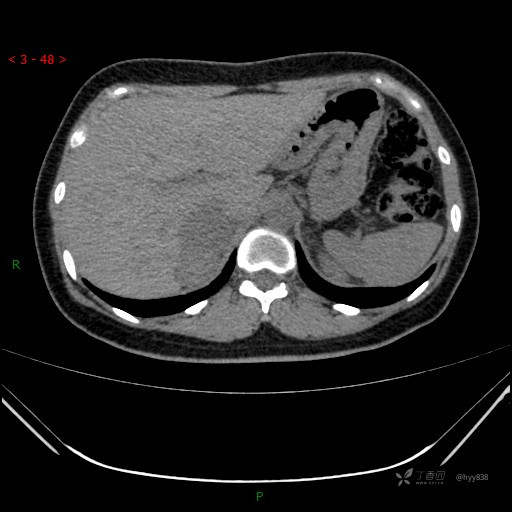
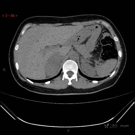
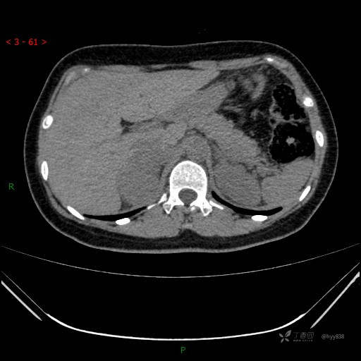
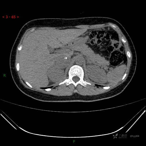
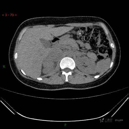
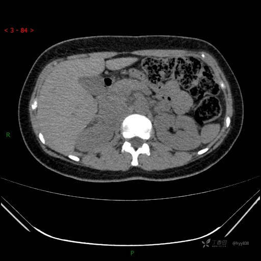
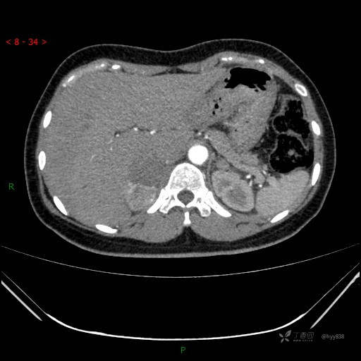
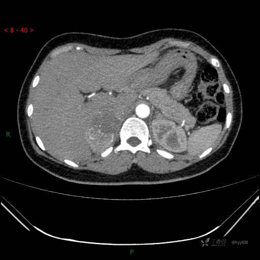
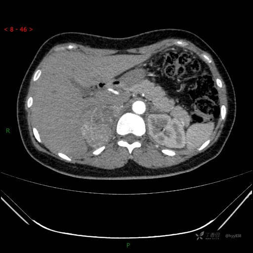
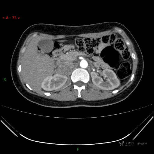
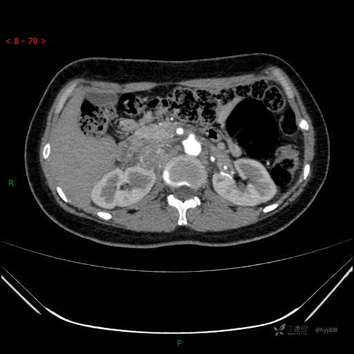
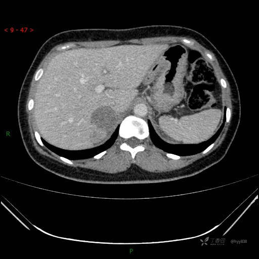
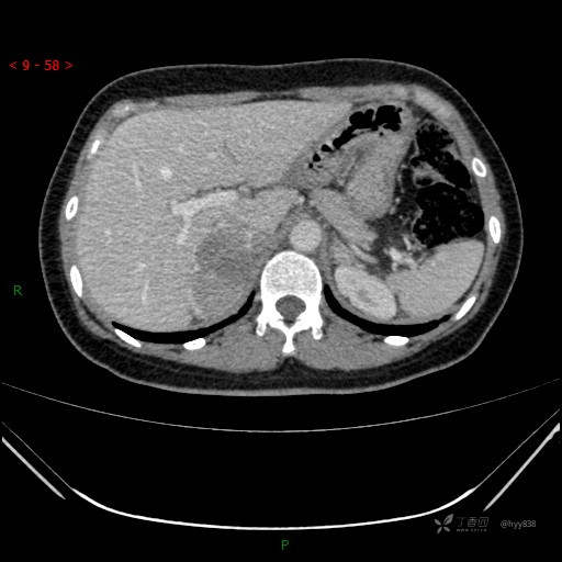
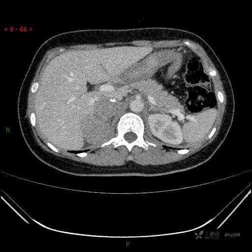
简要病史:者1年余前无明显诱因出现心悸,为偶尔发作,伴有多汗尤以双侧手掌为著,1月前开始出现胸闷、气促、呼吸困难等不适,无头晕不适,无腰腹部疼痛,无排尿异常,1周前于当地人民医院呼吸内科住院诊治,检查肝胆脾MR提示右侧肾上腺区占位,考虑肿瘤性病变,右侧肾上腺区占位,查上腹部CT平扫+增强提示右侧肾上腺区占位大小约7.8cm*3.7cm,肿瘤标记物CA19-9、CA242、AFP、CEA均正常,甲功五项无明显异常,为求进一步诊治,来我院就诊,我科门诊以“右肾上腺区占位”收治入院。 起病以来,患者精神饮食可,大便可,小便如上述。
体格检查:(-)
辅助检查:CT
临床诊断:肾上腺占位
治疗经过:手术
讨论:病变性质?
肾上腺CT平扫









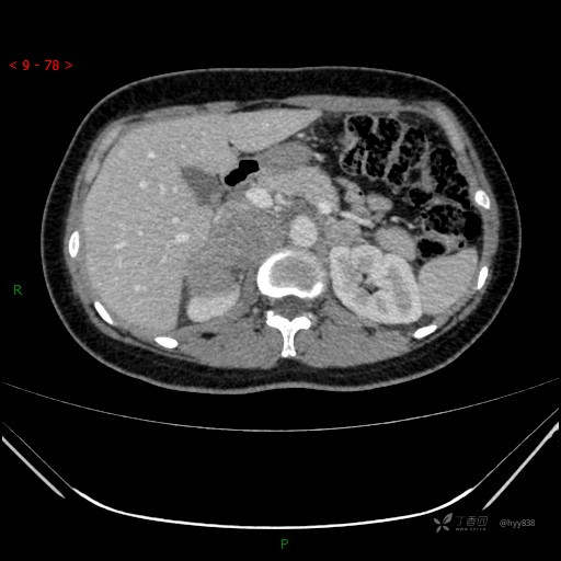
动脉期








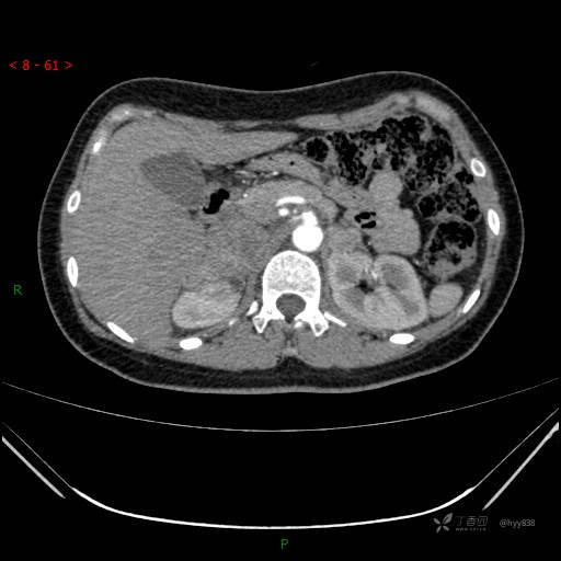
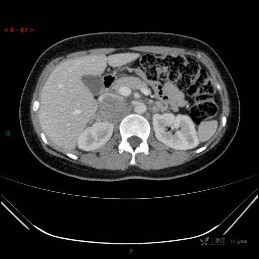
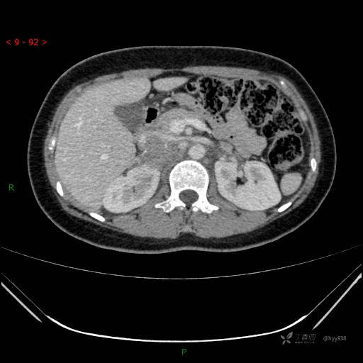
静脉期





















































