dxy logo
首页丁香园病例库全部版块
搜索
登录

病例女性69岁,仅治疗一次,一个月后肿瘤几乎消失。什么方法这么神奇?

呼吸胸外版版主 · 发布于 2023-02-20 · IP 河北河北
4046 浏览
这个帖子发布于 2 年零 279 天前,其中的信息可能已发生改变或有所发展。

患者性别:女

患者年龄:69

主诉:肺腺癌治疗一次,一月后复查。

简要病史:

体格检查:

辅助检查:

临床诊断:

治疗经过:

讨论:大家猜猜是什么治疗方法?

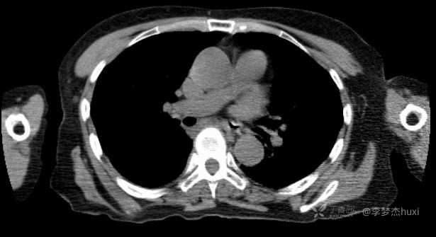
治疗前:

img

治疗后:

img

病理:

img

肺腺癌 (199)
纠错
34 15 12
同行评议(0)
已评议
不开通精选
开通精选
精选已授权,待上线
评议结果暂未公布
参与评议
去邀请
NaN
病例完整NaN
临床实用NaN
诊疗科学NaN
学术价值NaN

全部讨论(0)

默认最新
avatar
34
分享帖子
share-weibo分享到微博
share-weibo分享到微信
认证
返回顶部