老年痴呆非老年怎么办?(答案公布)
青鹊词等 2人推荐患者袁某,女性,44 岁,自由职业者。
主诉:「被家属发现记忆力下降1年余」 于2022年7月24日入院
现病史:患者自2021年4月以来被家属发现记忆力无明显原因下出现减退,以情景记忆和短期记忆减退为主,起初仅为间歇性丢三落四,钥匙手机经常忘记放置位置,家人交代事情容易遗漏,后症状逐渐加重,出现做核酸屡次忘记带身份证,接听家人电话时经常不记得刚说过什么,甚至挂断电话,但远期记忆无明显障碍,对子女生日、早年发生的重大事件记忆准确。听说读写等功能无明显障碍,言语交流尚流利,但理解能力和速度较以往有下降,无不认人或迷路现象,无不知生活用品如何使用、不能辨别图形等问题,无运动迟缓等障碍,性格开朗,无情绪焦虑抑郁等情况,无视幻觉妄想等情况,烧饭、购物、穿衣、乘车等生活技自理。无言语不清、饮水呛咳、肢体不自主抖动抽搐、姿势步态异常等伴随症状。病程中,患者本人对上述症状未予重视,期间未寻医问诊。患者发病以来睡眠饮食正常,无发热盗汗等情况,近期体重无明显变化。
既往史:否认高血压病、糖尿病 、心脏病病史。否认脑血管病、帕金森病、癫痫病史。否认精神病病史。否认营养不良、甲减病史。否认有肝功能不全、结核史,否认CO、化学制剂、毒品等中毒史。否认食物、药物过敏史。否认手术外伤史。
个人史: 生于原籍, 长期居住当地,无烟酒不良嗜好,否认冶游史。
月经史:月经史规律,无痛经史,适龄婚配。配偶健康。
家族史:否认家族遗传病史。
入院查体:
T36.5℃,P88次/分,R16次/分,BP118/68mmHg,神志清楚,精神正常,表情自然,言语尚流利,交流无障碍,应答切题。理解力、定向力、判断力正常。双瞳等大等圆居中,直径2.5mm,光敏,眼球各向活动自如,眼震(-)。双侧额纹及鼻唇沟对称,双耳听力正常。伸舌居中。颈软无抵抗,脑膜刺激征阴性。四肢肌力5级,肌张力正常。双侧浅深感觉对称,指鼻及跟膝胫试验稳准,双侧病理征未引出。双肺呼吸音清,未闻及明显干湿啰音。心律齐,未及病理性杂音。
专业神经心理测试:
1、总体认知功能:MMSE 15分,MoCA(北京版) 12分,其中

2、临床痴呆评定量表(CDR):0.5分,(记忆力1分,定向、判断、社会 事务、个人照料0分,家庭生活0.5分)
3、日常生活能力:ADL=10分,IADL=21分
4、神经精神症状:神经精神科问卷 NPI 均无,汉密尔顿焦虑量表 HAMA 3分,汉密尔顿抑郁量表 HAMD 9分;
认知各领域分项 :记忆(听觉词语学习测试(华山版) 三次即刻回忆总数 5分,短延迟回忆 0分,长延迟回忆 0分,再认 0分),注意力(数字广度测验 顺背 4分,倒背 2分),执行功能(Stroop色词测试,完成时间 错误数,点 46.26 3,字 29 2,色 67.12 20,语言功能,流畅性测试 6分,视空间功能,CDT 2分)
辅助检查
2022-07-25,血常规:粪常规、糖化血红蛋白、甲功全套、贫血组套、 风湿基本组套、肿瘤全套:未见明显异常;
2022-07-25,尿常规:尿隐血(+),白细胞 16个/ul,鳞状上皮细 胞 106个/ul;
2022-07-25,生化全套+血脂7项分析:总蛋白 60.2g/L,白蛋白 39g/L,肌酸激酶 25.8U/L;
血凝七项:抗凝血酶原III活性测定 80%






脑脊液,非特异抗体:TRUST法 阴性

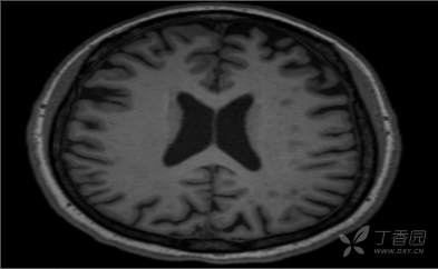
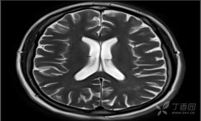
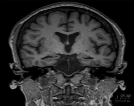
颈部、脑部动脉均未见明显异常,MRI+MRA+T2Flair+SWI+冠状位: 双侧额顶叶皮层下散在小缺血灶;双 侧海马萎缩2级,小脑蚓部、右侧额 叶微出血灶,如下图所示:








基因检测:ApoEε2/ApoEε3型(TT/CT)

EEG:

思考:
1、患者目前诊断?如何进行定位、定性分析?
2、后续治疗方案?
欢迎大家积极讨论,分享你的观点和意见!
















































