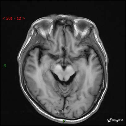
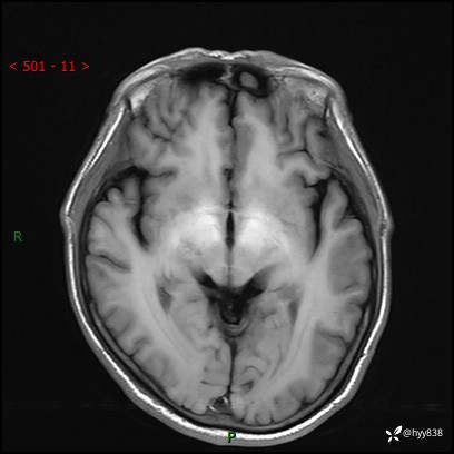
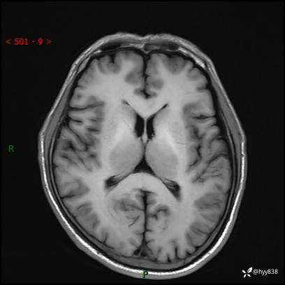
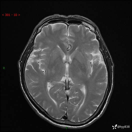
60岁/男,腹泻3天伴意识障碍6小时。基底节对称性短T1信号---(有结果)
病例信息
性别:60岁/男
主诉:腹泻3天伴意识障碍6小时
现病史:患者于3天前无明显诱因出现腹泻,大便10次/天,为水样便,今晨7时突发意识障碍,伴畏寒,小便深黄,无剑突下及右上腹疼痛不适,无明显反酸、嗳气,无头晕、头痛,无尿频、尿急、尿痛等不适,今为求进一步治疗特来我院就诊,门诊以“肝性脑病”收住我科。 患者病程中精神、睡眠、饮食一般,大小便同上述,体力体重无明显变化
既往史:发现乙肝病史2月余,既往血吸虫病史40年余
实验室检查和生化
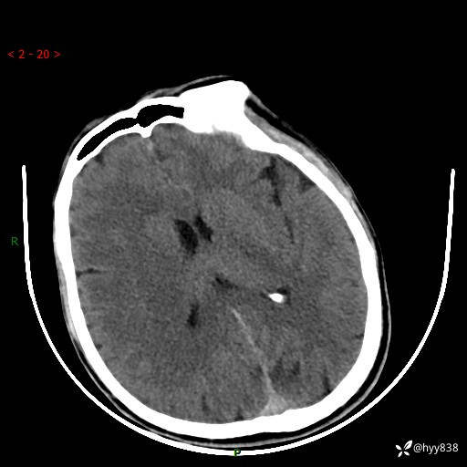
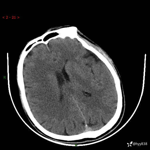
颅脑CT平扫




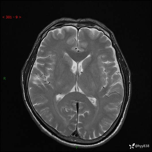
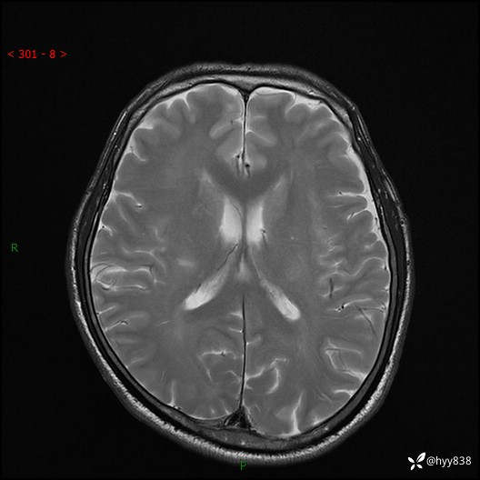
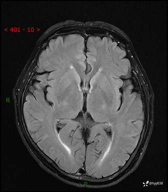
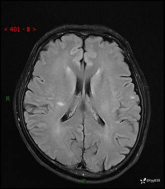
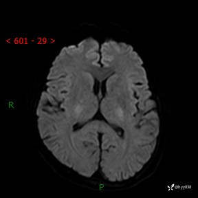
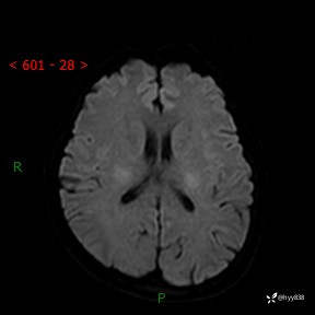
颅脑MRI平扫





























































