外伤多处骨折伴意识障碍。转ICU后出现胃瘫和持续发烧,结果公布(没有正确答案)---
患者性别:男
患者年龄:61岁
主诉:车祸致全身多处损伤伴意识障碍1天余
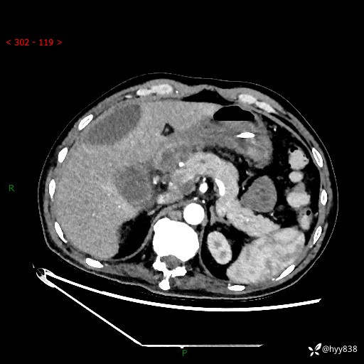
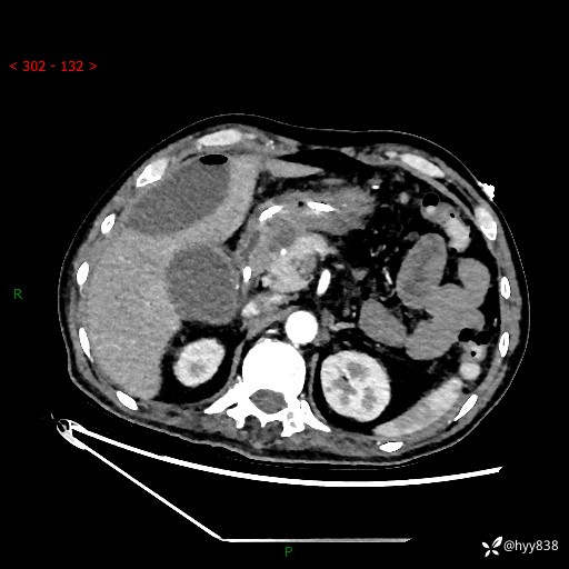
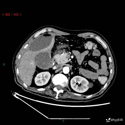
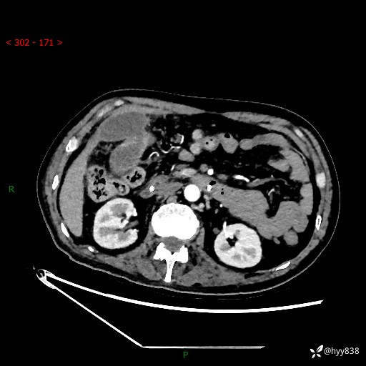
简要病史:患者于1天余前驾摩托车时发生车祸,出现意识障碍,具体情况不详,行人呼120急送至松滋市人民医院ICU住院治疗,GCS评分7分,肌力检查不配合,查头胸腹CT示:1、右侧基底节区及左侧额叶散在出血灶;2、左侧额部头皮血肿;3、左侧第1肋骨骨折,4、左侧耻骨联合及上下支骨折:5、左侧腓骨头及胫腓骨中断骨折;予以气管插管、跟骨牵引等对症支持治疗。现患者家属为求进一步治疗,要求转上级医院,遂来我院,急诊以“多处损伤”收住院。 起病以来,持续昏迷状,未进食,大小便不详,体力下降,体重无明显变化。
体格检查:(-)
辅助检查:CT
临床诊断:多发外伤,转ICU后持续发烧
治疗经过:---
讨论:患者病情稳定后,转ICU,但出现胃瘫、持续发烧,找不到原因
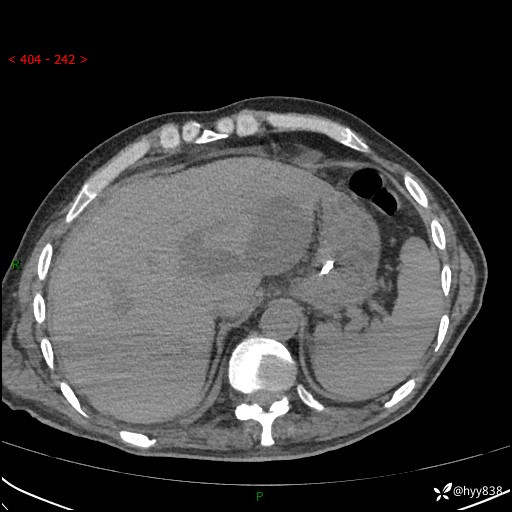
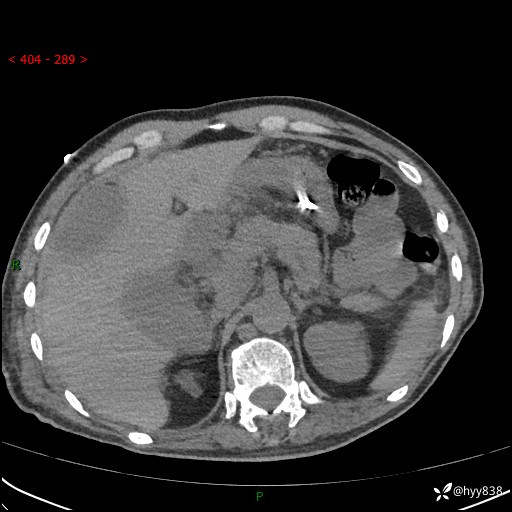
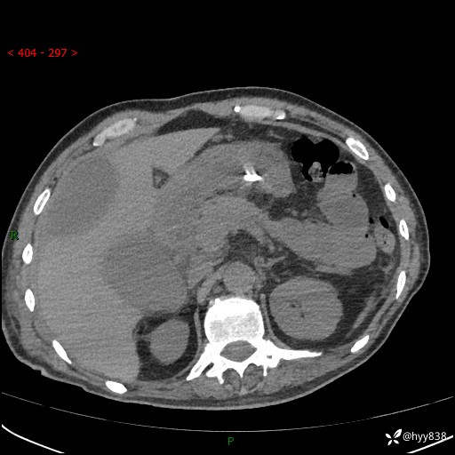
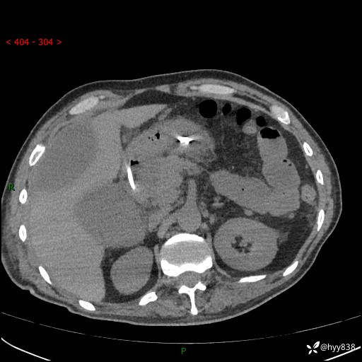
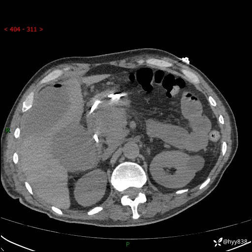
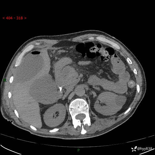
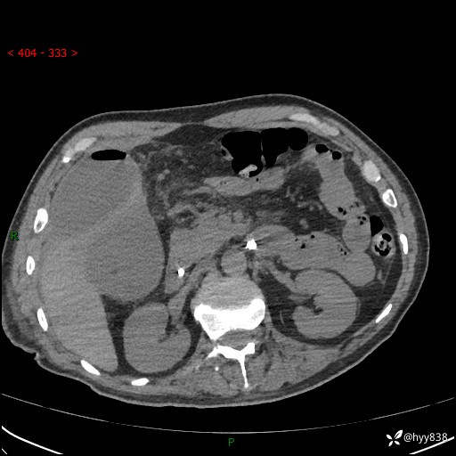
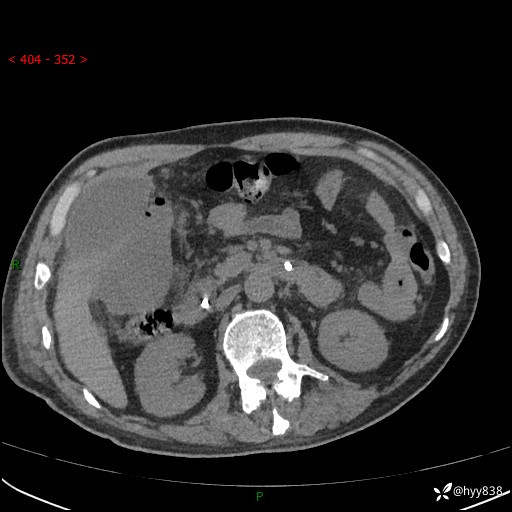
腹部CT平扫












增强























































