【神经】特别精彩病例|呕吐、发热、头痛3天,加重伴意识障碍1天
病例信息
患者性别:女
患者年龄:25岁
主诉:呕吐、发热、头痛3天,加重伴意识障碍1天
现病史:患者3天前无明显诱因下出现恶心、呕吐,呕吐胃内容物,无喷射性时患者自觉有发热(体温未测),偶伴头痛,当天至外院就诊,查头颅CT未见明显异常,予“泮托拉唑、头孢地尼”口服,症状无明显好转。1天前患者出现流涎、四肢抽搐,呼之不应,无大小便失禁,持续2min左右缓解,今晨患者头痛症状较前明显加重,反应迟钝,神志淡漠,仅可简单对答,行走困难,流涎增多,上午至外院急诊抢救室,监测生命体征,时测体温38.2℃,查动脉血气示:pH 7.273、pCO,59.9mmHg.pO,220mmHg,请神经内科会诊后考虑中枢神经系统疾病可能性大。
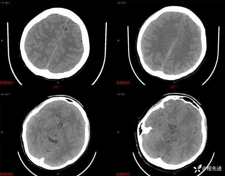
CT平扫:

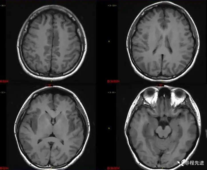
T1:

T2:

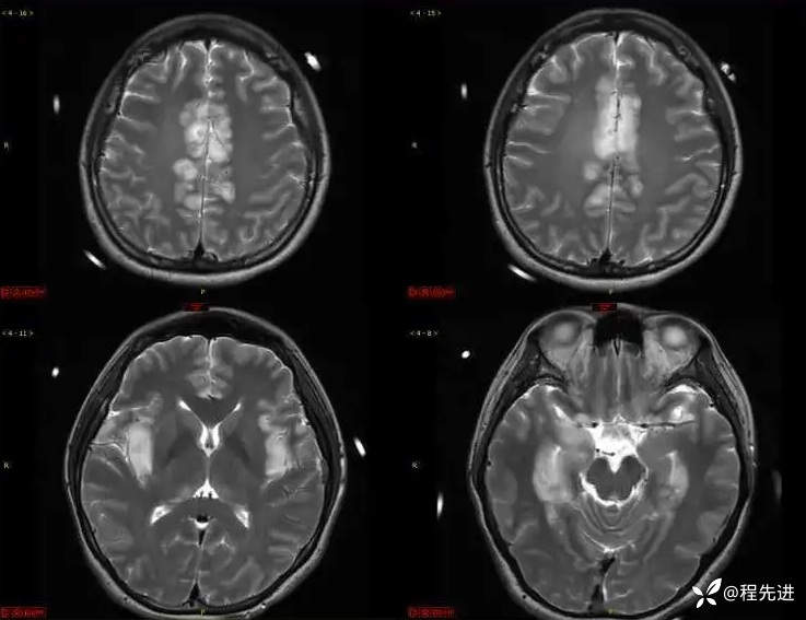
FLAIR:

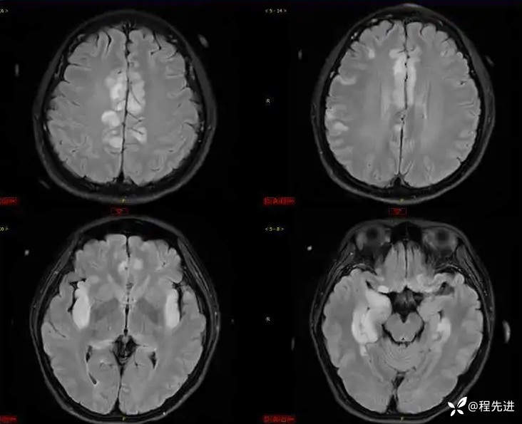
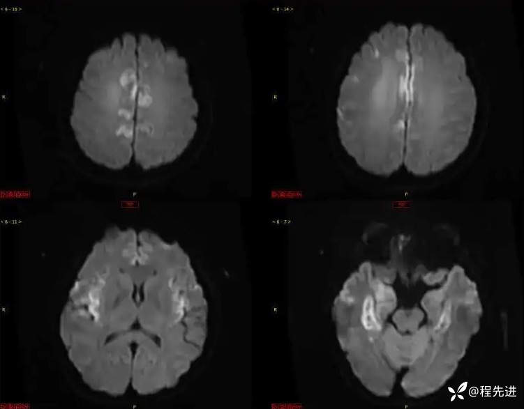
DWI、ADC:


T1增强:

期待您的点赞支持!
期待您的精彩解读!















































