78岁/男,发热12小时,意识障碍1小时。疑难病例,挑战病原体---结果公布~
华夏览雄 等 2 位达人已点赞病例信息
性别:男
年龄:78岁
主诉:发热12小时,意识障碍1小时
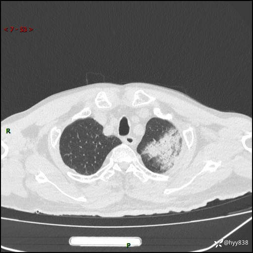
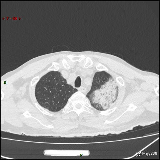
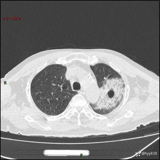
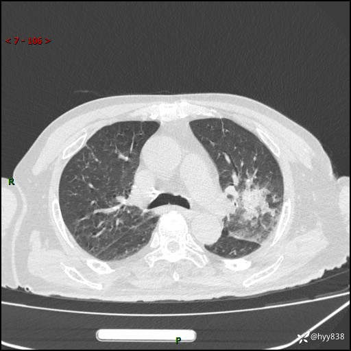
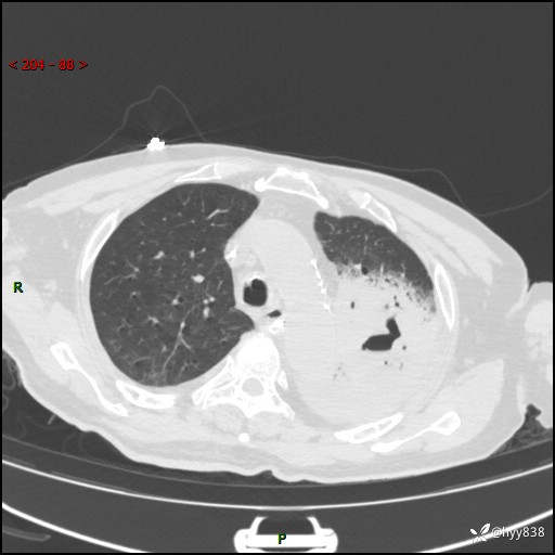
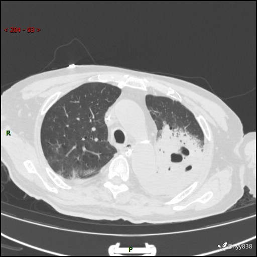
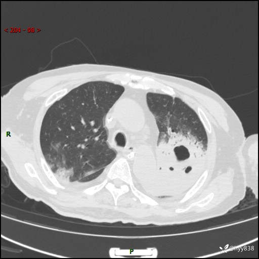
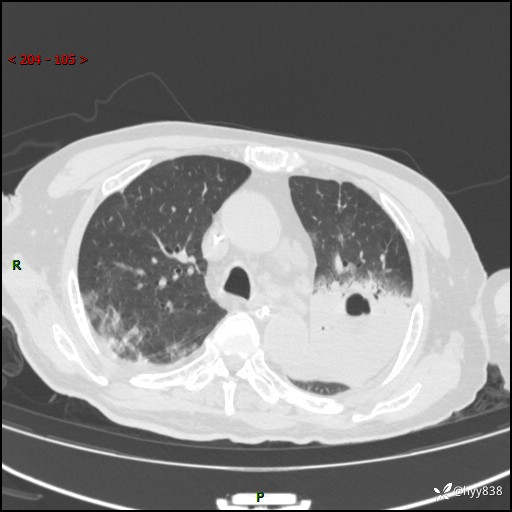
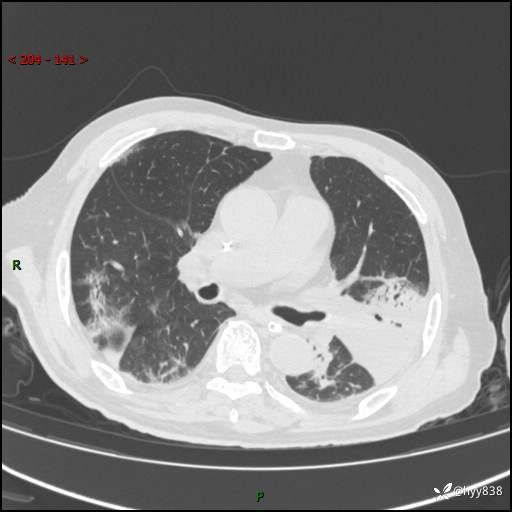
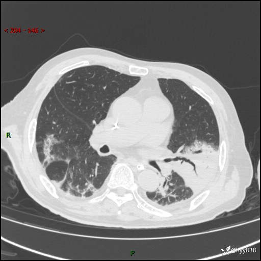
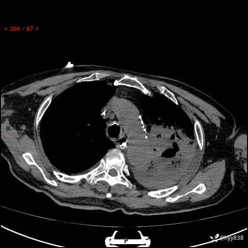
现病史:家属代诉患者12小时前出现发热,体温39.4℃,予双氯芬酸钠退烧处理后体温降至37℃-38℃之间,1小时前患者出现神志改变,无法认出家人,同时伴四肢无力、大便失禁、嗜睡,呈糊状褐便,大便量较多。无心慌、胸闷、胸痛等不适,家属送往我院急诊科就诊,急诊科行头颅CTA+胸部CT检查,未见明显脑梗死及脑出血,胸部CT提示肺部感染,遂拟“感染性休克”收入我科。 起病以来,患者精神、食欲欠佳,大便失禁,小便已解,近期体力、体重无明显改变。
实验室:


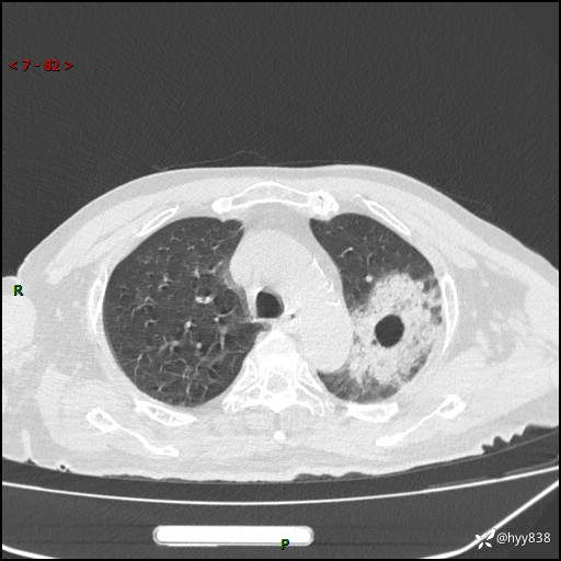
胸部CT平扫(2024.7.24)









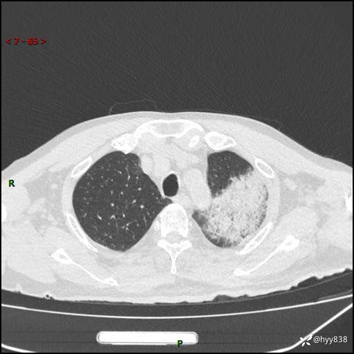
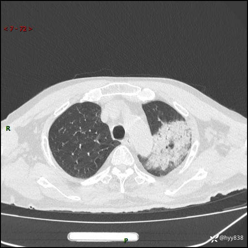
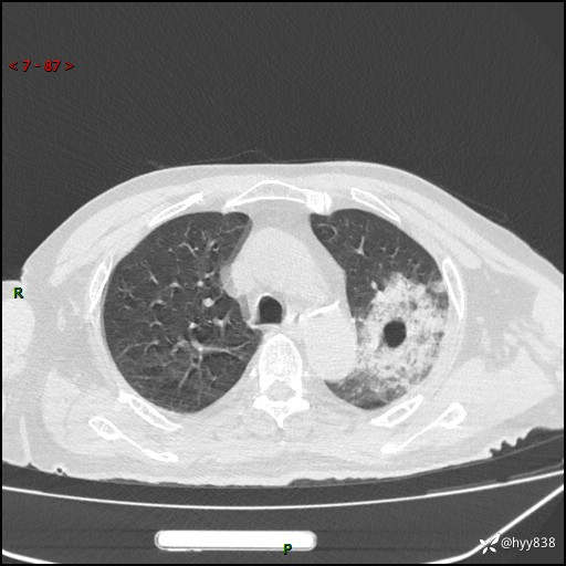
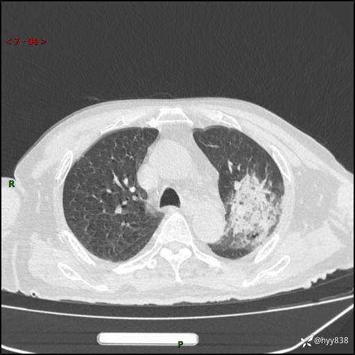
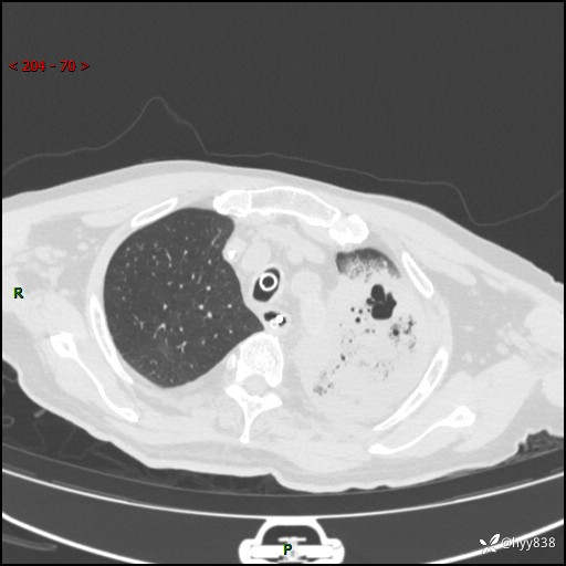
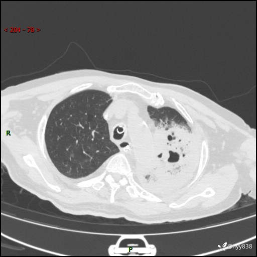
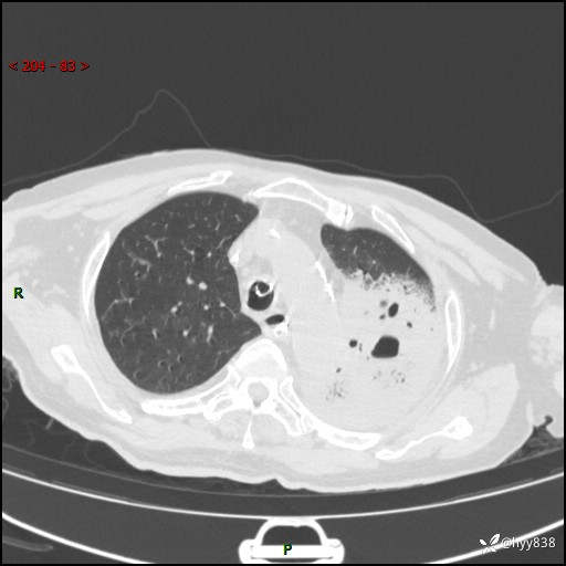
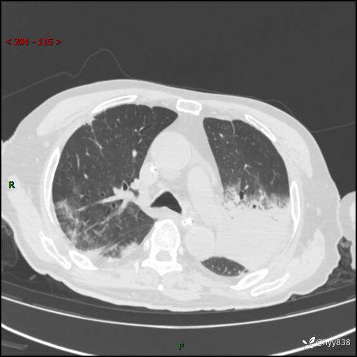
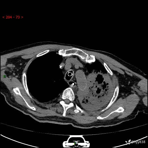
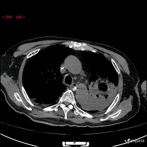
胸部CT复查(2024.8.5)
































































