6月特别精彩病例|意识障碍20余天,发热10余天【结果已公布】
呱呱叫了 等 2 位达人已点赞患者性别:女
患者年龄:45岁
主诉:意识障碍20余天,发热10余天
现病史:患者家属诉20余天前因***时出现意识障碍,当时无抽搐,在当地医院诊治,经治疗后神志好转,但反复;10余天前开始出现间断发热,体温最高达39.0℃,无畏寒,无咳嗽咳痰,无恶心呕吐,无呼吸困难,今为进一步治疗来我院。
体格检查:体温:36.3℃脉搏:85次/分呼吸:20次/分血压:156/84mmHg,血氧饱和度:98%。神志模糊,有自行睁眼,无言语交流,双侧瞳孔等大等圆,直径约4mm,对光反射迟钝,双肺呼吸音粗,未闻及啰音,心律齐,腹部无压痛,双下肢不肿,四肢肌力查体不合作,肌张力稍高,病理征阴性。
辅助检查:
脑脊液常规+革兰氏染色+墨汁染色:颜色无色;透明度清亮;潘迪氏试验弱阳性(±);细胞总数0.002x10^9/L;白细胞总数0.002x10^9/L;
脑脊液生化:腺苷脱氨酶1.0U/L;氯129mmol/L;葡萄糖3.77mmol/L;脑脊液蛋白0.16g/L。
血常规:白细胞10.69x10^9/L;中性细胞比率78.10%;快速血糖5.6mmol/L;
血型鉴定:ABO血型正定型B;RH血型(D抗原)阳性;降钙素原<0.05ng/ml;血清淀粉样蛋白
A9.10mg/L;
肝功能常规检查:谷草转氨酶53U/L偏高,余正常;电解质、凝血常规、输血前四项正常范围;甲型流感病毒抗原 阴性;乙型流感病毒抗原阴性
尿常规:蛋白质+2;尿潜血+3;镜检红细胞+/HP。
心电图:窦性心律伴不齐。
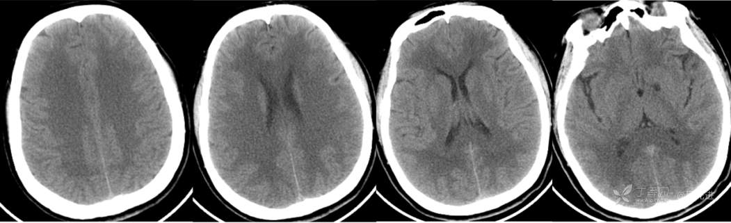
CT平扫

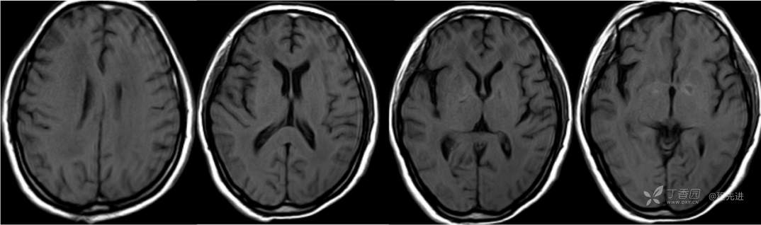
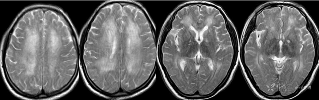
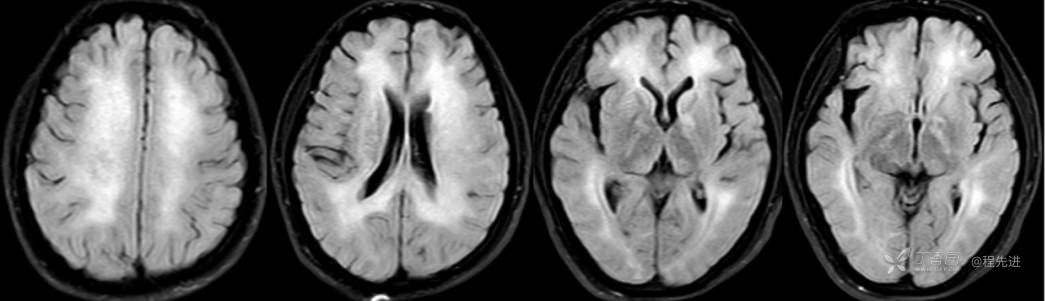
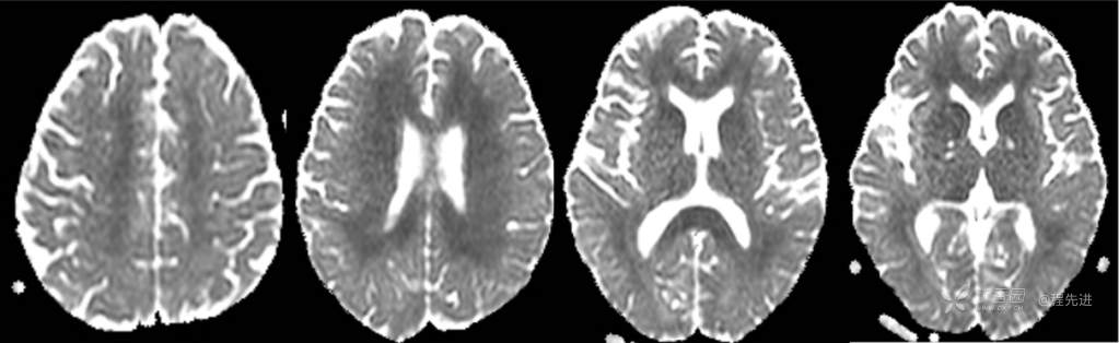
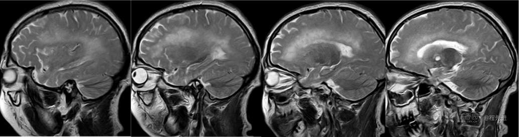
MR
T1

T2

FLAIR

DWI

ADC

T2矢状位
















































