【骨肌】特别精彩病例|双下肢水肿、麻木伴腹胀腹泻3月余
呱呱叫了 等 2 位达人已点赞病例信息
患者性别:男
患者年龄:64岁
主 诉:双下肢水肿、麻木伴腹胀腹泻3月余
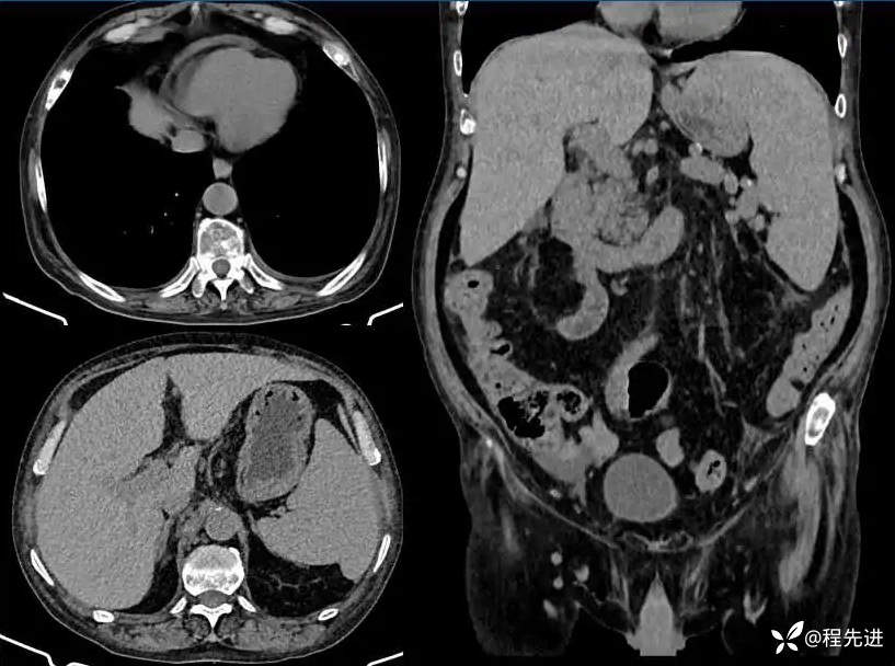
现病史:患者3月余前无明显诱因下出现双下肢水肿、麻木伴腹胀腹泻伴纳差,无恶心呕吐,无畏寒发热,无呕血黑便,无胸闷气喘。至外院内分泌科就诊:肿瘤标志物未见明显异常,便潜血(+/-)-(-)。胸腹盆腔CT平扫示:“多浆膜腔积液(心包积液、肾周渗液、盆腹腔积液)肝脾肿大;伴随多发性骨质改变。血常规提示两系减少。病程中患者自觉腹部增大,皮肤发黑,纳差,睡眠一般无寒战发热,近期体重下降5-6斤。
实验室检查
血常规:白细胞 3.29*10^9/L↓, 淋巴细胞 1.03*10^9/L↓
肿瘤标志物:(-)
MM免疫标记组套:未见异常浆细胞
血清免疫固定电泳组套:IgA-L↑
骨髓穿刺常规检查:粒系、红系、巨核系增生活跃,血小板小族可见;病理检查:未见明显异常
血管内皮生长因子(VEGF):220.65pg/ml↑
超声示:右侧腹股沟肿大淋巴结穿刺符合Castleman淋巴结病,玻变血管型
颈椎:

胸椎:

腰椎:

骨盆:

胸腹部:

期待您的点赞支持!
期待您的精彩解读!















































