【骨肌】特别精彩病例|发现头部肿物1月余
呱呱叫了 等 2 位达人已点赞病例信息
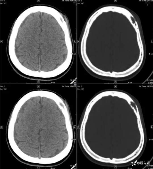
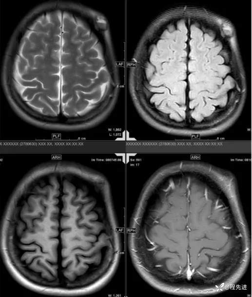
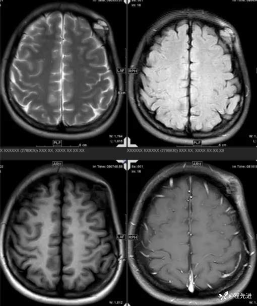
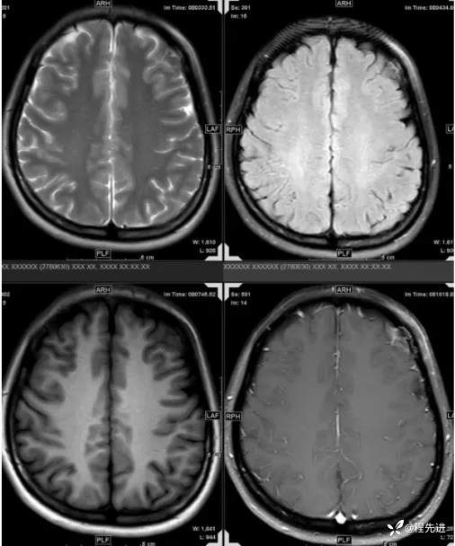
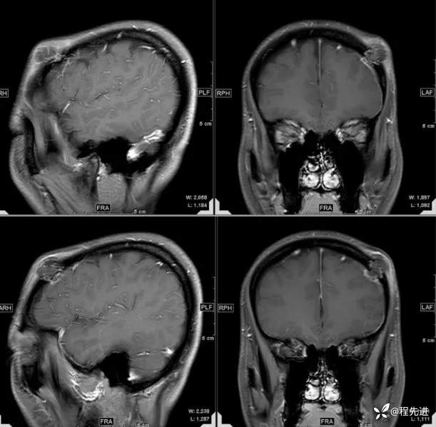
【患者信息】:女,31岁
【主诉】:发现头部肿物1月余
【现病史及既往史】:患者自诉于1月前无明显诱因出现左额颞部肿块,大小约3*3cm,伴疼痛红肿发热,遂至我院外科门诊就诊考虑“局部感染”,予以对症治疗后,肿块疼痛红肿好转,但肿块无明显缩小。
【检查】:常规检验项目均(-)






呱呱叫了 等 2 位达人已点赞病例信息
【患者信息】:女,31岁
【主诉】:发现头部肿物1月余
【现病史及既往史】:患者自诉于1月前无明显诱因出现左额颞部肿块,大小约3*3cm,伴疼痛红肿发热,遂至我院外科门诊就诊考虑“局部感染”,予以对症治疗后,肿块疼痛红肿好转,但肿块无明显缩小。
【检查】:常规检验项目均(-)






