dxy logo
首页丁香园病例库全部版块
搜索
登录

9月特别精彩病例|间断呕吐2天,伴腹泻1天,惊厥1次|结果已公布

影像核医学版版主 · 发布于 2023-09-20 · IP 江西江西
1641 浏览
推荐、达人点赞 2 项荣誉
这个帖子发布于 2 年零 68 天前,其中的信息可能已发生改变或有所发展。

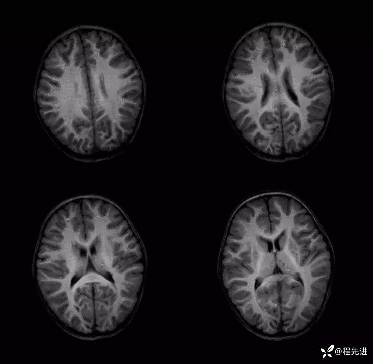
患者性别:女

患者年龄:3岁

主诉:间断呕吐2天,伴腹泻1天,惊厥1次

现病史:2天前进食后呕吐,非喷射状,1天前出现腹泻,每日4-5次。入院2小时前出现抽搐发作

辅助检查:便常规轮状病毒(+)

img
img
img
img
img
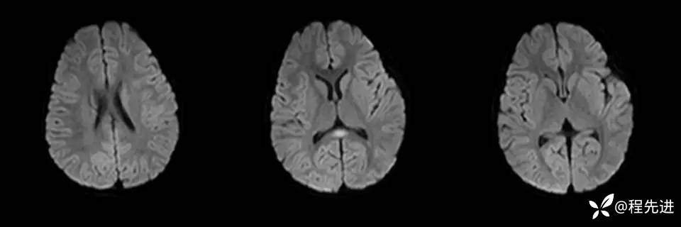
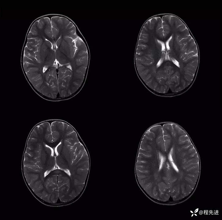
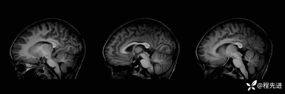
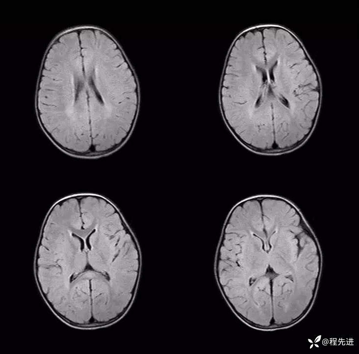
伴可逆性胼胝体压部病变的轻度脑炎 (7)
纠错
39 5 14
同行评议(0)
已评议
不开通精选
开通精选
精选已授权,待上线
评议结果暂未公布
参与评议
去邀请
NaN
病例完整NaN
临床实用NaN
诊疗科学NaN
学术价值NaN

全部讨论(0)

默认最新
avatar
39
分享帖子
share-weibo分享到微博
share-weibo分享到微信
认证
返回顶部