【神经】特别精彩病例|发作性四肢抽搐伴意识障碍2次
李梦杰huxi 等 3 位达人已点赞病例信息
患者性别:男
患者年龄:20岁
主诉:发作性四肢抽搐伴意识障碍2次
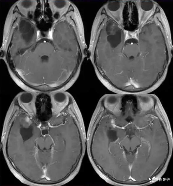
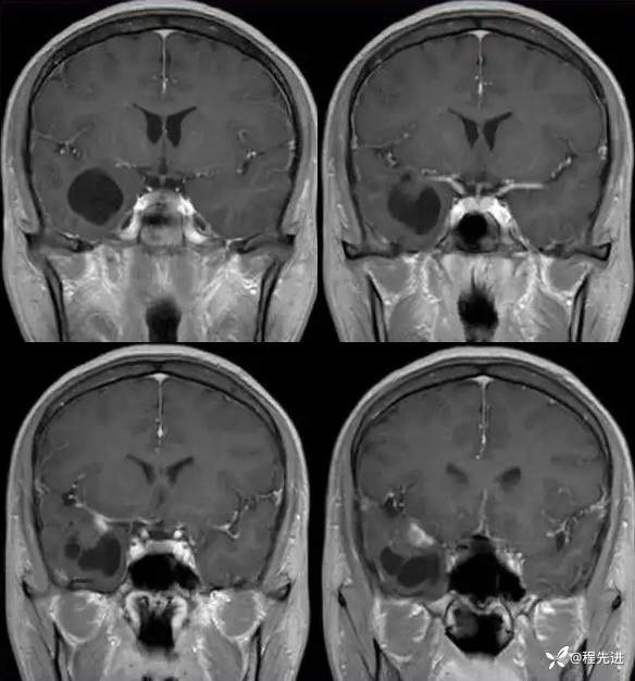
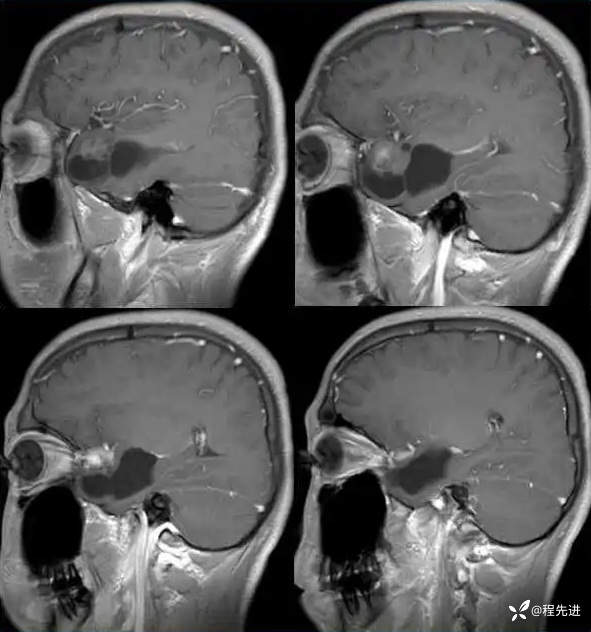
现病史:患者10天前无明显诱因突发四肢抽搐伴意识障碍,发作时口吐白沫,牙关紧闭,大约5分钟后患者清醒,醒后不能回忆发作时情况,查头颅MRI检查提示右侧颞叶占位。门诊拟“继发性癫痫”收住入院。患者病程中无明显头痛头晕,食纳睡眠可,大小便可,体重无明显变化。
既往史:(-)
体格检查/专科检查:(-)
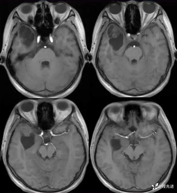
T1:

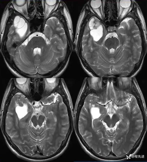
T2:

FLAIR:

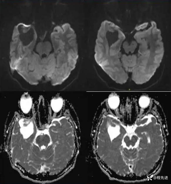
DWI、ADC:

T1增强:



期待您的点赞支持!
期待您的精彩解读!















































