66岁/男,确诊髓系白血病5月,乏力伴气促半月。孤立结节,“晕”的厉害---结果公布~
华夏览雄 等 2 位达人已点赞病例信息
【患者信息】:66岁/男
【主诉】:确诊髓系白血病5月余,乏力纳差伴气促半月
【现病史及既往史】:患者5月前无明显诱因出现牙龈出血,未重视,2024.5.10社区体检查血常规发现全血细胞减少,后自觉活动后心慌气促,无发热、头痛、咳嗽咳痰、胸痛等,为进一步诊治来我院,门诊以“全血细胞减少”收入,入院后完善相关辅检入院后确诊急性髓系白血病。于2024.06.11给予阿扎胞苷+维奈克拉化疗,给予输血、升白细胞、抗过敏、止血治疗,化疗后粒细胞缺乏,转入层流病房,出现发热,予以抗感染(头孢唑肟、莫西沙星、美罗培南)、抗真菌(卡泊芬净、氟康唑)、利尿、调脂、利胆、护心、护胃、调节免疫(羟氯喹、白芍总苷)、通便、调节胃肠道菌群、营养支持等对症治疗,出院时患者牙龈出血、咳嗽咳痰、腹胀、便秘等不适较前好转,复查血常规提示白细胞计数升高,要求出院,建议继续住院观察,但患者仍要求出院,予以办理。2024-08-06到我院规律化疗,2024-08-08给予阿扎胞苷+维奈克拉化疗,给予输血、升白细胞、抗过敏、止血治疗,化疗后粒细胞缺乏,转入层流病房,出现发热,予以护心、护胃 、营养支持等对症治疗,好转后出院。院外自行停用维纳克拉。半月前患者无明显诱因出现乏力、纳差、活动后气促,无心慌、胸闷,无咳嗽、咳痰,无畏寒、发热等不适,现患者为求进一步诊治来我院,门诊以“急性髓系白血病”收入院。 发病以来,患者精神、饮食欠佳,睡眠一般,大小便如常,体力明显下降,体重无明显减轻。
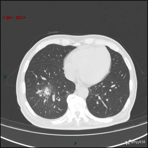
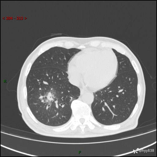
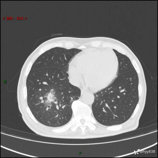
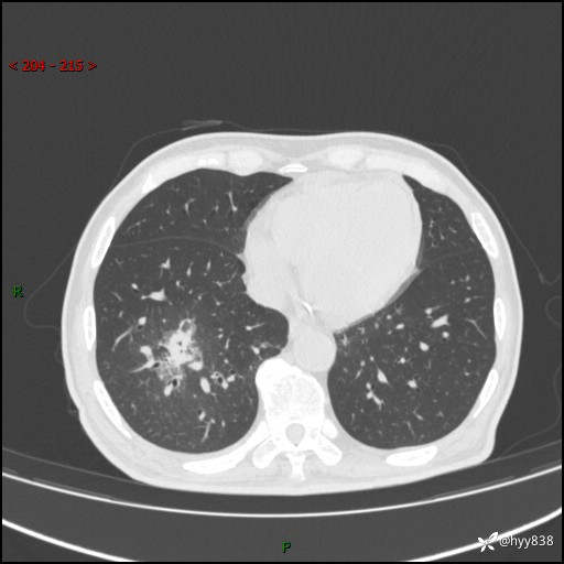
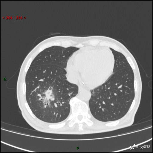
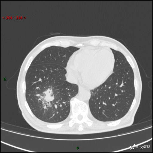
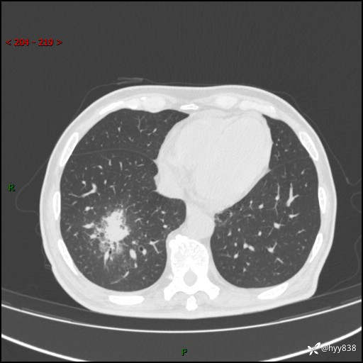
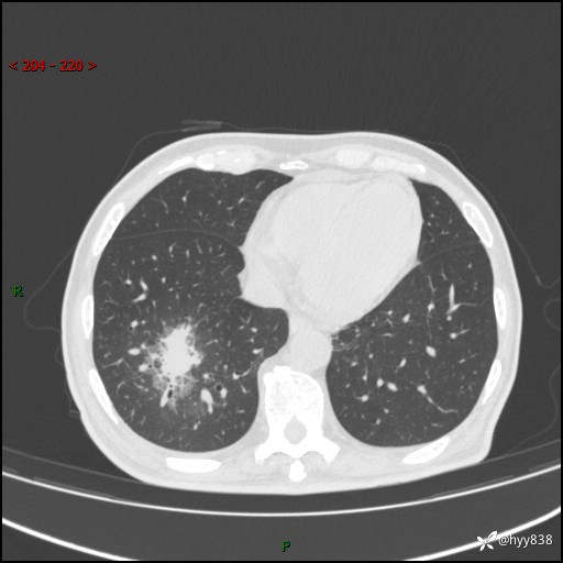
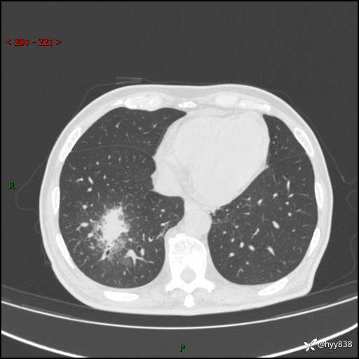
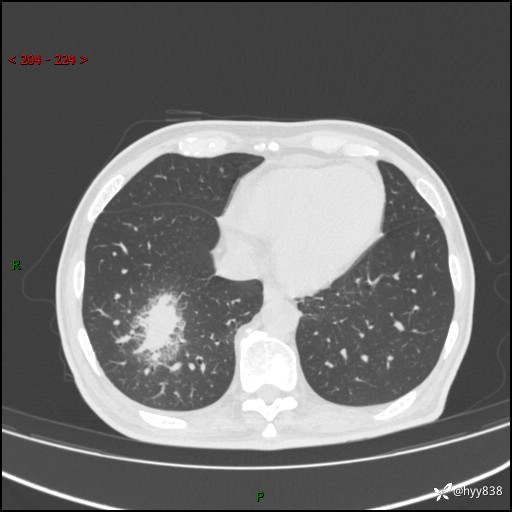
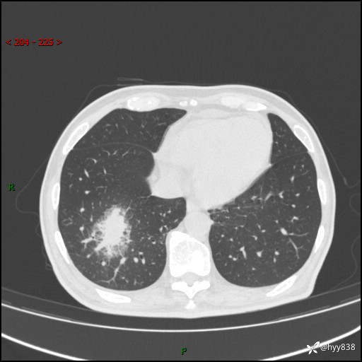
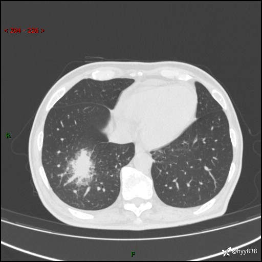
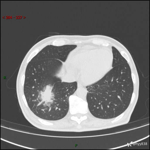
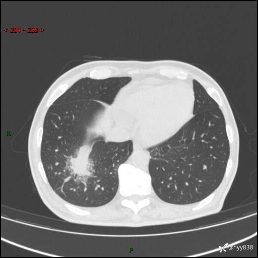
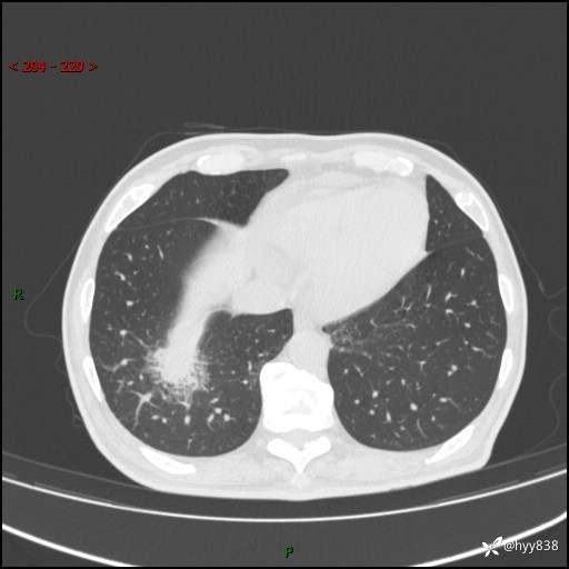
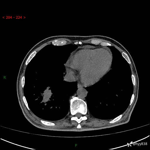
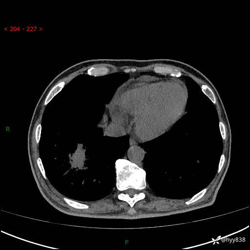
【检查】:胸部CT平扫




















【临床诊断】:
【治疗经过及结果】:















































