7月特别精彩病例|反复咳嗽、气促4年余,加重1年余【结果已公布】
呱呱叫了 等 2 位达人已点赞评论前,辛苦大家帮高少投个票,让我上榜,谢谢!2月特别精彩病例|典型病例分享【结果已公布】
患者性别:男
患者年龄:44岁
主诉:反复咳嗽、气促4年余,加重1年余
现病史:患者自诉4年前开始无明显诱因出现反复咳嗽、气促,当时痰白,量不多,当时上六层楼感气促,静息下可缓解,患者当时未予重视,未治疗。2年前,患者感咳嗽、气促加重,予细辛脑、复方甲氧那明、乙酰半胱氨酸泡腾片止咳化痰等对症住院治疗,因拒绝活检出院。此后未规范治疗,后自觉症状加重,今年3月予泼尼松口服用半月后仍自觉疗效不佳,自行停药,之后未予未行特殊处理。患者现咳嗽、气促加重,咳嗽为阵发性连声咳,干咳为主,偶有咳嗽,痰量少,白色粘痰或泡沫样痰。呈劳力性气促,日常生活、慢走可,快走或爬两层楼即感气促,不能平卧,平卧即咳嗽剧烈,夜间俯卧尚能入睡。外院行头孢哌酮舒巴坦钠抗感染、甲基强的松抗炎,氨茶碱解痉平喘等治疗,咳嗽有好转,但活动后气促无明显缓解,为求进一步诊治,遂来我院门诊。起病以来无胸痛、咯血,无发热、盗汗。食纳可,大小便正常。
既往史:肠镜确诊溃疡性结肠炎(乙状结肠、直肠),现长期服用柳氮磺吡啶片。否认“肝炎、结核、伤寒”等传染史,否认高血压、糖尿病史,否认药物及职务过敏史,无外伤手术史。
个人史:吸烟史20年,每日1包,已戒烟2年余。饮酒,每周饮酒1-2次,每次约3两左右。余无特殊。
家族史:母亲鼻咽癌去世,父亲体健。
体格检查:神清合作,口唇无发绀,双肺呼吸音清,未闻及明显干湿啰音。杵状指(趾),余无特殊。
实验室检查:
1)心脏彩超:左室假腱索、左室顺应性减退、肺动脉轻度返流+二尖瓣少量返流
2)心电图:IIIaVF出现q或Q波
3)血常规:嗜碱粒细胞计数0.1x10^9mmol/L,
4)肝肾功能+心肌酶+血脂+E4A+血清离子+超敏C反应蛋白:胆固醇(TC)7.39mmol/L,低密度脂蛋白(LDL)4.81mmol/L,超敏C反应蛋白14.89mg/L,肌酸激酶39.3U/L
5)尿常规:尿胆红素1+(17)umol/L
6)结核感染T细胞、ANA谱测定抗CCP抗体测定+狼疮全套+抗中性粒细胞胞浆抗体+自免肝、EB病毒三项、凝血常规及相关项目、呼吸道九联检、降钙素原全定量法、血沉、BNP、大便常规、结核抗体均阴性
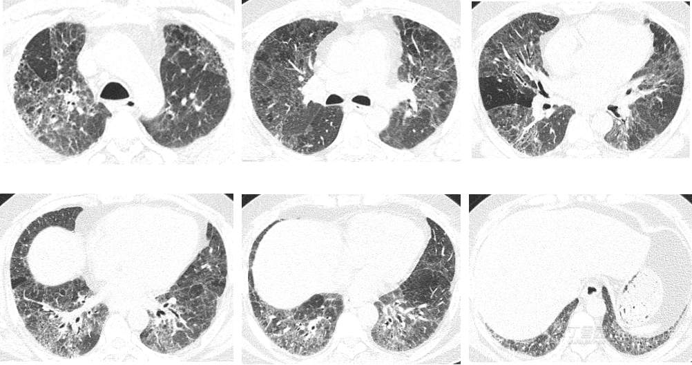
CT---肺窗

CT---纵隔窗

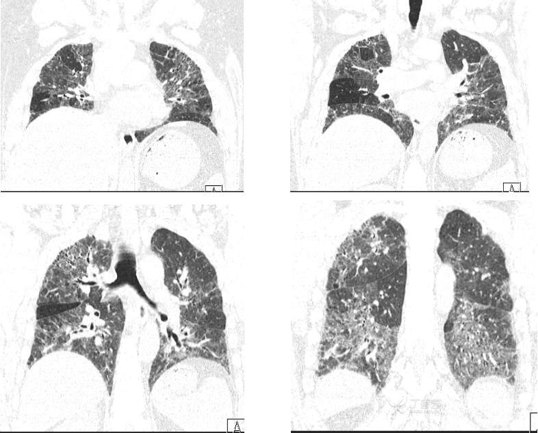
CT---肺窗---冠状位

您的诊断与鉴别诊断?
您的分析思路?















































